电话:
+86 (0512) 65829739
传真:
+86 (010) 6788 5057
电子邮件:
orders@antibodies-online.cn

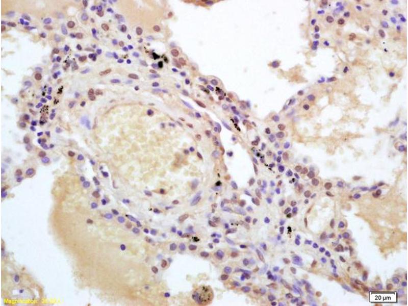
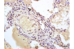
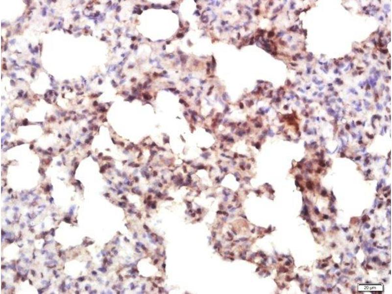
IRF7 抗体 (AA 401-503)

This 兔 多克隆 antibody specifically detects IRF7 in WB, ELISA, IHC (p), IF (cc), IF (p) 和 IHC (fro). It exhibits reactivity toward 人, 小鼠, 大鼠 和 Pig. It has been mentioned in 3+ publications
产品编号 ABIN682603
发货至: 中国
Contact our Customer Service for availability and price in your country. Contact Info

Our Local Distributor

中国
北京 101111
No. 88 KeChuang 6th Street
Beijing Economic Technological Development Area
Room 801-803
4A Biotech Co.,Ltd.
Tel +86 (0512) 65829739 传真 +86 (010) 6788 5057

Quick Overview for IRF7 抗体 (AA 401-503) (ABIN682603)

抗原

See all IRF7 抗体
IRF7 (Interferon Regulatory Factor 7 (IRF7))

适用

  • 91
  • 75
  • 74
  • 16
  • 8
  • 3
  • 2
  • 2
  • 1
人, 小鼠, 大鼠, Pig

宿主

  • 89
  • 3

克隆类型

  • 57
  • 35
多克隆

标记

  • 27
  • 7
  • 4
  • 4
  • 4
  • 4
  • 4
  • 4
  • 4
  • 3
  • 2
  • 2
  • 2
  • 2
  • 2
  • 2
  • 2
  • 2
  • 2
  • 2
  • 2
  • 2
  • 2
  • 1
This IRF7 antibody is un-conjugated

应用范围

  • 71
  • 36
  • 24
  • 23
  • 21
  • 21
  • 20
  • 13
  • 13
  • 12
  • 2
  • 2
Western Blotting (WB), ELISA, Immunohistochemistry (Paraffin-embedded Sections) (IHC (p)), Immunofluorescence (Cultured Cells) (IF (cc)), Immunofluorescence (Paraffin-embedded Sections) (IF (p)), Immunohistochemistry (Frozen Sections) (IHC (fro))
  • 抗原表位

    • 16
    • 16
    • 14
    • 8
    • 5
    • 3
    • 2
    • 2
    • 2
    • 1
    • 1
    • 1
    • 1
    • 1
    • 1
    • 1
    • 1
    • 1
    AA 401-503

    交叉反应

    人, 小鼠, Pig, 大鼠

    预测反应

    Dog,Cow,Rabbit

    纯化方法

    Purified by Protein A.

    免疫原

    KLH conjugated synthetic peptide derived from human IRF7

    亚型

    IgG
  • 应用备注

    WB 1:300-5000
    ELISA 1:500-1000
    IHC-P 1:200-400
    IHC-F 1:100-500
    IF(IHC-P) 1:50-200
    IF(IHC-F) 1:50-200
    IF(ICC) 1:50-200

    限制

    仅限研究用
  • 状态

    Liquid

    浓度

    1 μg/μL

    缓冲液

    0.01M TBS( pH 7.4) with 1 % BSA, 0.02 % Proclin300 and 50 % Glycerol.

    储存液

    ProClin

    注意事项

    This product contains ProClin: a POISONOUS AND HAZARDOUS SUBSTANCE, which should be handled by trained staff only.

    储存条件

    4 °C,-20 °C

    储存方法

    Shipped at 4°C. Store at -20°C for one year. Avoid repeated freeze/thaw cycles.

    有效期

    12 months
  • Lopušná, Benkóczka, Lupták, Matúšková, Lukáčiková, Ovečková, Režuchová: "Murine gammaherpesvirus targets type I IFN receptor but not type III IFN receptor early in infection." in: Cytokine, Vol. 83, pp. 158-70, (2016) (PubMed).

    Cai, Jiang, Pan, Chen, Zhang, Zhu, Cai, Ling, Chen, Xu, Chen: "Transcriptomic analysis of hepatic responses to testosterone deficiency in miniature pigs fed a high-cholesterol diet." in: BMC genomics, Vol. 16, pp. 59, (2015) (PubMed).

    Han, Choi, Uyangaa, Kim, Kim, Kim, Kim, Eo: "Distinct dictation of Japanese encephalitis virus-induced neuroinflammation and lethality via triggering TLR3 and TLR4 signal pathways." in: PLoS pathogens, Vol. 10, Issue 9, pp. e1004319, (2014) (PubMed).

  • 抗原

    IRF7 (Interferon Regulatory Factor 7 (IRF7))

    别名

    IRF7

    背景

    Synonyms: IRF7A, IRF7B, IRF7C, IRF7H, IRF-7H, Interferon regulatory factor 7, IRF-7, IRF7

    Background: Key transcriptional regulator of type I interferon (IFN)-dependent immune responses and plays a critical role in the innate immune response against DNA and RNA viruses. Regulates the transcription of type I IFN genes (IFN-alpha and IFN-beta) and IFN-stimulated genes (ISG) by binding to an interferon-stimulated response element (ISRE) in their promoters. Can efficiently activate both the IFN-beta (IFNB) and the IFN-alpha (IFNA) genes and mediate their induction via both the virus-activated, MyD88-independent pathway and the TLR-activated, MyD88-dependent pathway. Required during both the early and late phases of the IFN gene induction but is more critical for the late than for the early phase. Exists in an inactive form in the cytoplasm of uninfected cells and following viral infection, double-stranded RNA (dsRNA), or toll-like receptor (TLR) signaling, becomes phosphorylated by IKBKE and TBK1 kinases. This induces a conformational change, leading to its dimerization and nuclear localization where along with other coactivators it can activate transcription of the type I IFN and ISG genes. Can also play a role in regulating adaptive immune responses by inducing PSMB9/LMP2 expression, either directly or through induction of IRF1. Binds to the Q promoter (Qp) of EBV nuclear antigen 1 a (EBNA1) and may play a role in the regulation of EBV latency. Can activate distinct gene expression programs in macrophages and regulate the anti-tumor properties of primary macrophages.

    基因ID

    3665

    UniProt

    Q92985

    途径

    TLR signaling, Activation of Innate immune Response, Hepatitis C, Toll-Like Receptors Cascades, Autophagy
You are here: