电话:
+86 (0512) 65829739
传真:
+86 (010) 6788 5057
电子邮件:
orders@antibodies-online.cn

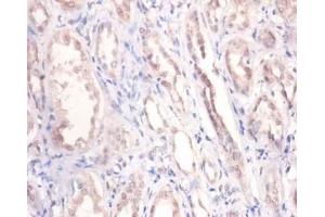
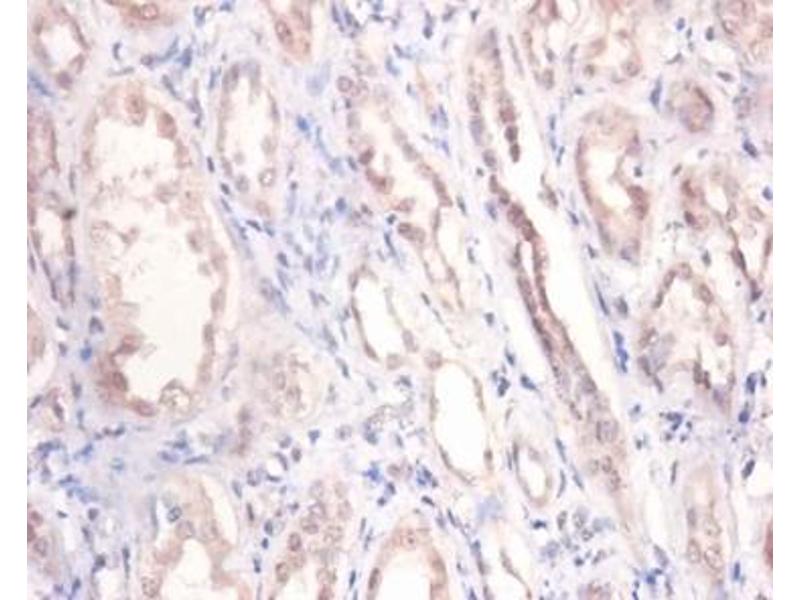
PODXL 抗体 (HRP)

The 兔 多克隆 anti-PODXL antibody is suitable to detect PODXL in samples from 人. It has been validated for WB, IHC, ELISA 和 IHC (p).
产品编号 ABIN2581233
发货至: 中国
Contact our Customer Service for availability and price in your country. Contact Info

Our Local Distributor

中国
北京 101111
No. 88 KeChuang 6th Street
Beijing Economic Technological Development Area
Room 801-803
4A Biotech Co.,Ltd.
Tel +86 (0512) 65829739 传真 +86 (010) 6788 5057

Quick Overview for PODXL 抗体 (HRP) (ABIN2581233)

抗原

See all PODXL 抗体
PODXL (Podocalyxin-Like (PODXL))

适用

  • 121
  • 27
  • 15
  • 11
  • 1
  • 1

宿主

  • 76
  • 57
  • 2
  • 1

克隆类型

  • 89
  • 47
多克隆

标记

  • 63
  • 10
  • 9
  • 6
  • 3
  • 3
  • 3
  • 3
  • 3
  • 3
  • 3
  • 3
  • 3
  • 3
  • 3
  • 3
  • 3
  • 3
  • 2
  • 2
  • 1
  • 1
This PODXL antibody is conjugated to HRP

应用范围

  • 76
  • 61
  • 41
  • 35
  • 34
  • 28
  • 20
  • 19
  • 9
  • 9
  • 5
  • 4
  • 1
  • 1
  • 1
  • 1
  • 1
  • 1
Western Blotting (WB), Immunohistochemistry (IHC), ELISA, Immunohistochemistry (Paraffin-embedded Sections) (IHC (p))
  • 特异性

    Human PODXL / Podocalyxin

    纯化方法

    Caprylic acid and ammonium sulfate precipitation

    免疫原

    Recombinant human Podocalyxin protein.

    Type of Immunogen: Recombinant protein

    亚型

    IgG
  • 应用备注

    Approved: ELISA, IHC, IHC-P, WB

    Usage: The applications listed have been tested for the unconjugated form of this product. Other forms have not been tested.

    说明

    Target Species of Antibody: Human

    限制

    仅限研究用
  • 状态

    Liquid

    浓度

    Lot specific

    缓冲液

    PBS,  pH 7.4, 0.03 % Proclin 300, 50 % glycerol.

    储存液

    ProClin

    注意事项

    This product contains ProClin: a POISONOUS AND HAZARDOUS SUBSTANCE which should be handled by trained staff only.

    注意事项

    Avoid freeze-thaw cycles.

    储存条件

    -20 °C,-80 °C

    储存方法

    Aliquot and store at -20°C or -80°C. Avoid freeze-thaw cycles.
  • 抗原

    PODXL (Podocalyxin-Like (PODXL))

    别名

    PODXL / Podocalyxin

    背景

    Name/Gene ID: PODXL

    Synonyms: PODXL, GCTM-2 antigen, gp200, PCLP, PCLP-1, PCLP1, Podocalyxin-like protein 1, Podocalyxin, Podocalyxin-like, TRA-1-60, TRA-1-81

    基因ID

    5420

    途径

    Tube Formation
You are here: