电话:
+86 (0512) 65829739
传真:
+86 (010) 6788 5057
电子邮件:
orders@antibodies-online.cn

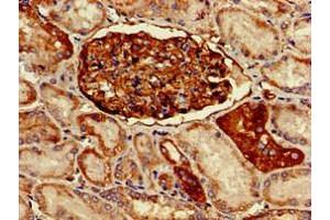
PODXL 抗体 (AA 32-458)

The 兔 多克隆 anti-PODXL antibody is suitable to detect PODXL in samples from 人. It has been validated for WB, IHC, ELISA 和 IF.
产品编号 ABIN7163724
发货至: 中国
Contact our Customer Service for availability and price in your country. Contact Info

Our Local Distributor

中国
北京 101111
No. 88 KeChuang 6th Street
Beijing Economic Technological Development Area
Room 801-803
4A Biotech Co.,Ltd.
Tel +86 (0512) 65829739 传真 +86 (010) 6788 5057

Quick Overview for PODXL 抗体 (AA 32-458) (ABIN7163724)

抗原

See all PODXL 抗体
PODXL (Podocalyxin-Like (PODXL))

适用

  • 121
  • 27
  • 15
  • 11
  • 1
  • 1

宿主

  • 76
  • 57
  • 2
  • 1

克隆类型

  • 89
  • 47
多克隆

标记

  • 62
  • 10
  • 9
  • 6
  • 3
  • 3
  • 3
  • 3
  • 3
  • 3
  • 3
  • 3
  • 3
  • 3
  • 3
  • 3
  • 3
  • 3
  • 3
  • 2
  • 1
  • 1
This PODXL antibody is un-conjugated

应用范围

  • 76
  • 61
  • 41
  • 35
  • 33
  • 28
  • 20
  • 19
  • 10
  • 9
  • 5
  • 4
  • 1
  • 1
  • 1
  • 1
  • 1
  • 1
Western Blotting (WB), Immunohistochemistry (IHC), ELISA, Immunofluorescence (IF)
  • 抗原表位

    • 21
    • 19
    • 9
    • 9
    • 4
    • 4
    • 3
    • 2
    • 2
    • 2
    • 2
    • 2
    • 1
    • 1
    • 1
    • 1
    • 1
    • 1
    • 1
    • 1
    • 1
    • 1
    • 1
    AA 32-458

    原理

    PODXL Antibody

    纯化方法

    Protein G purified

    纯度

    >95 %

    免疫原

    Recombinant Human Podocalyxin protein (32-458AA)

    亚型

    IgG
  • 应用备注

    Optimal working dilution should be determined by the investigator.

    限制

    仅限研究用
  • 状态

    Liquid

    缓冲液

    Preservative: 0.03 % Proclin 300
    Constituents: 50 % Glycerol, 0.01M PBS, PH 7.4

    储存液

    ProClin

    注意事项

    This product contains ProClin: a POISONOUS AND HAZARDOUS SUBSTANCE which should be handled by trained staff only.

    储存条件

    -20 °C,-80 °C

    储存方法

    Upon receipt, store at -20°C or -80°C. Avoid repeated freeze.
  • 抗原

    PODXL (Podocalyxin-Like (PODXL))

    别名

    PODXL

    背景

    Background: Involved in the regulation of both adhesion and cell morphology and cancer progression. Function as an anti-adhesive molecule that maintains an open filtration pathway between neighboring foot processes in the podocyte by charge repulsion. Acts as a pro-adhesive molecule, enhancing the adherence of cells to immobilized ligands, increasing the rate of migration and cell-cell contacts in an integrin-dependent manner. Induces the formation of apical actin-dependent microvilli. Involved in the formation of a preapical plasma membrane subdomain to set up inital epithelial polarization and the apical lumen formation during renal tubulogenesis. Plays a role in cancer development and aggressiveness by inducing cell migration and invasion through its interaction with the actin-binding protein EZR. Affects EZR-dependent signaling events, leading to increased activities of the MAPK and PI3K pathways in cancer cells.

    Aliases: GCTM-2 antigen antibody, Gp2 antibody, Gp200 antibody, MGC138240 antibody, PC antibody, PCLP antibody, PCLP-1 antibody, PCLP1 antibody, Pcx antibody, Podocalyxin antibody, Podocalyxin like antibody, Podocalyxin like protein antibody, Podocalyxin-like protein 1 antibody, Podxl antibody, PODXL_HUMAN antibody

    UniProt

    O00592

    途径

    Tube Formation
You are here: