电话:
+86 (0512) 65829739
传真:
+86 (010) 6788 5057
电子邮件:
orders@antibodies-online.cn

DDR1 抗体 (C-Term)

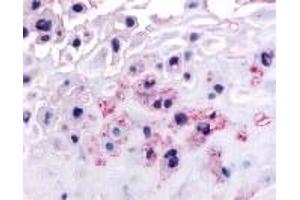
The 兔 多克隆 anti-DDR1 antibody (ABIN2469321) specifically detects DDR1 in IHC. The antibody is reactive with 人, 猴, Pig, Bat, 马, Cow, 犬, Chimpanzee, Gibbon 和 Gorilla samples.
产品编号 ABIN2469321
发货至: 中国
Contact our Customer Service for availability and price in your country. Contact Info

Our Local Distributor

中国
北京 101111
No. 88 KeChuang 6th Street
Beijing Economic Technological Development Area
Room 801-803
4A Biotech Co.,Ltd.
Tel +86 (0512) 65829739 传真 +86 (010) 6788 5057

Quick Overview for DDR1 抗体 (C-Term) (ABIN2469321)

抗原

See all DDR1 抗体
DDR1 (Discoidin Domain Receptor tyrosine Kinase 1 (DDR1))

适用

人, 猴, Pig, Bat, 马, Cow, 犬, Chimpanzee, Gibbon, Gorilla

宿主

  • 90
  • 27
  • 6

克隆类型

  • 88
  • 31
  • 2
多克隆

标记

  • 59
  • 7
  • 6
  • 5
  • 4
  • 3
  • 3
  • 2
  • 2
  • 2
  • 2
  • 2
  • 2
  • 2
  • 2
  • 2
  • 2
  • 2
  • 2
  • 2
  • 2
  • 2
  • 2
  • 2
This DDR1 antibody is un-conjugated

应用范围

  • 79
  • 45
  • 26
  • 26
  • 20
  • 13
  • 13
  • 6
  • 6
  • 5
  • 4
  • 2
  • 1
  • 1
  • 1
  • 1
Immunohistochemistry (IHC)
  • 抗原表位

    • 26
    • 15
    • 7
    • 7
    • 7
    • 2
    • 2
    • 2
    • 2
    • 2
    • 2
    • 2
    • 2
    • 2
    • 1
    • 1
    • 1
    • 1
    • 1
    • 1
    • 1
    • 1
    • 1
    • 1
    • 1
    • 1
    • 1
    C-Term

    特异性

    BLAST analysis of the peptide immunogen showed no homology with other human proteins, except DDR2 (69 % ).

    纯化方法

    Immunoaffinity Chromatography

    免疫原

    DDR1 antibody was raised against a peptide located near the C-Terminal region of DDR1 (Human).
  • 应用备注

    DDR1 antibody can be used in ELISA, Western Blot starting at 1 - 2 μg/mL, immunocytochemistry, immunohistochemistry starting at 10 μg/mL, immunoprecipitation starting at 1 - 2 μg/mL, and flow cytometry.

    限制

    仅限研究用
  • 状态

    Liquid

    缓冲液

    PBS, 0.1 % sodium azide.

    储存液

    Sodium azide

    注意事项

    This product contains Sodium azide: a POISONOUS AND HAZARDOUS SUBSTANCE which should be handled by trained staff only.

    注意事项

    As with all antibodies avoid freeze/thaw cycles.

    储存条件

    4 °C/-80 °C

    储存方法

    DDR1 antibody should be stored long term (months) at -80 °C and short term (days) at 4 °C.
  • 抗原

    DDR1 (Discoidin Domain Receptor tyrosine Kinase 1 (DDR1))

    别名

    DDR1

    背景

    DDR1 is a DDR/TKT type protein kinase. DDR1 is activated by various types of collagen, including types I through IV. Binding of collagen to DDR1 protein results in autophosphorylation and a delayed but sustained tyrosine kinase activation. DDR1 may function in cell-to-cell interaction or recognition. At least three mRNA variants, resulting in different protein isoforms of 875, 913 and 919 amino acids, have been reported. DDR1 protein has been shown to be over expressed in human breast, ovarian, esophageal and pediatric brain tumors.

    基因ID

    780

    UniProt

    Q08345

    途径

    RTK signaling, Smooth Muscle Cell Migration
You are here: