电话:
+86 (0512) 65829739
传真:
+86 (010) 6788 5057
电子邮件:
orders@antibodies-online.cn

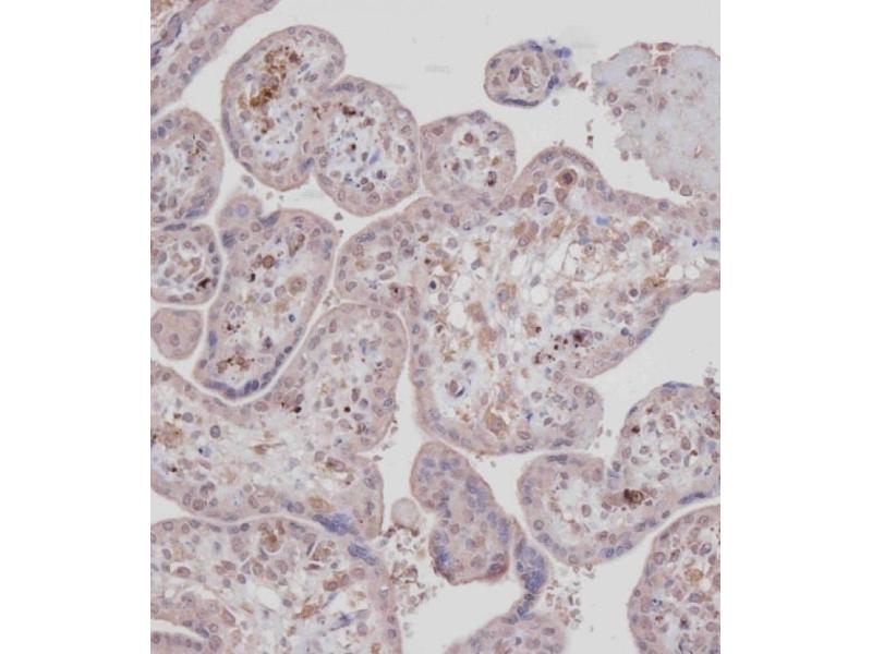
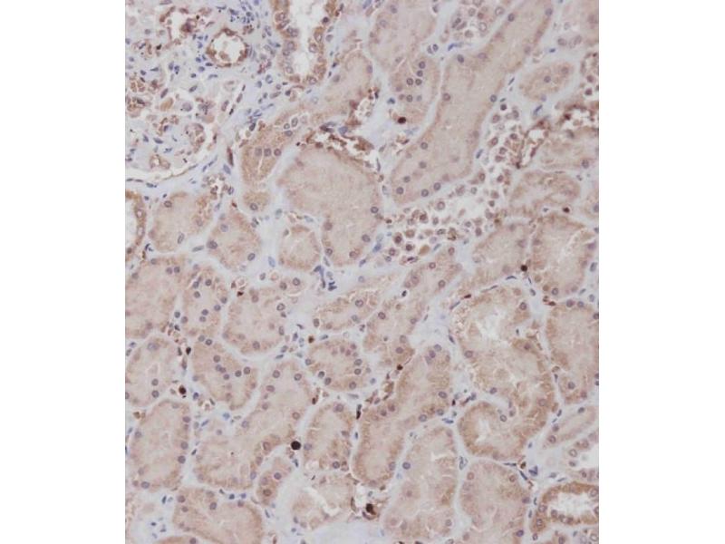
DDR1 抗体 (AA 299-330)

The 兔 多克隆 anti-DDR1 antibody (Clone RB14442) (ABIN391458) specifically detects DDR1 in WB, IHC (p), FACS 和 IF. The antibody is reactive with 人 samples.
产品编号 ABIN391458
发货至: 中国
Contact our Customer Service for availability and price in your country. Contact Info

Our Local Distributor

中国
北京 101111
No. 88 KeChuang 6th Street
Beijing Economic Technological Development Area
Room 801-803
4A Biotech Co.,Ltd.
Tel +86 (0512) 65829739 传真 +86 (010) 6788 5057

Quick Overview for DDR1 抗体 (AA 299-330) (ABIN391458)

抗原

See all DDR1 抗体
DDR1 (Discoidin Domain Receptor tyrosine Kinase 1 (DDR1))

适用

  • 106
  • 41
  • 41
  • 4
  • 2
  • 2
  • 2
  • 2
  • 2
  • 1
  • 1
  • 1

宿主

  • 90
  • 27
  • 6

克隆类型

  • 88
  • 31
  • 2
多克隆

标记

  • 59
  • 7
  • 6
  • 5
  • 4
  • 3
  • 3
  • 2
  • 2
  • 2
  • 2
  • 2
  • 2
  • 2
  • 2
  • 2
  • 2
  • 2
  • 2
  • 2
  • 2
  • 2
  • 2
  • 2
This DDR1 antibody is un-conjugated

应用范围

  • 78
  • 45
  • 26
  • 26
  • 22
  • 12
  • 11
  • 6
  • 6
  • 5
  • 4
  • 2
  • 1
  • 1
  • 1
  • 1
Western Blotting (WB), Immunohistochemistry (Paraffin-embedded Sections) (IHC (p)), Flow Cytometry (FACS), Immunofluorescence (IF)

克隆位点

RB14442
  • 抗原表位

    • 26
    • 15
    • 7
    • 7
    • 7
    • 3
    • 2
    • 2
    • 2
    • 2
    • 2
    • 2
    • 2
    • 1
    • 1
    • 1
    • 1
    • 1
    • 1
    • 1
    • 1
    • 1
    • 1
    • 1
    • 1
    • 1
    • 1
    AA 299-330

    纯化方法

    This antibody is purified through a protein A column, followed by peptide affinity purification.

    免疫原

    This DDR1 antibody is generated from rabbits immunized with a KLH conjugated synthetic peptide between 299-330 amino acids from the Central region of human DDR1.

    亚型

    Ig Fraction
  • 应用备注

    IF: 1:10~50. WB: 1:500. IHC-P: 1:100. IHC-P: 1:100. FC: 1:10~50

    限制

    仅限研究用
  • 状态

    Liquid

    缓冲液

    Purified polyclonal antibody supplied in PBS with 0.09 % (W/V) sodium azide.

    储存液

    Sodium azide

    注意事项

    This product contains Sodium azide: a POISONOUS AND HAZARDOUS SUBSTANCE which should be handled by trained staff only.

    储存条件

    4 °C,-20 °C

    储存方法

    Maintain refrigerated at 2-8 °C for up to 6 months. For long term storage store at -20 °C in small aliquots to prevent freeze-thaw cycles.

    有效期

    6 months
  • 抗原

    DDR1 (Discoidin Domain Receptor tyrosine Kinase 1 (DDR1))

    别名

    DDR1

    背景

    Receptor tyrosine kinases (RTKs) play a key role in the communication of cells with their microenvironment. These molecules are involved in the regulation of cell growth, differentiation and metabolism. DDR1 is an RTK that is widely expressed in normal and transformed epithelial cells and is activated by various types of collagen. It belongs to a subfamily of tyrosine kinase receptors with a homology region to the Dictyostelium discoideum protein discoidin I in their extracellular domain. Its autophosphorylation is achieved by all collagens so far tested (type I to type VI). In situ studies and Northern-blot analysis show that expression of DDR1 is restricted to epithelial cells, particularly in the kidney, lung, gastrointestinal tract, and brain. In addition, it is significantly over-expressed in several human tumors from breast, ovarian, esophageal, and pediatric brain.

    分子量

    101128

    基因ID

    780

    NCBI登录号

    NP_001189450, NP_001189451, NP_001189452, NP_001945, NP_054699, NP_054700

    UniProt

    Q08345

    途径

    RTK signaling, Smooth Muscle Cell Migration
You are here: