电话:
+86 (0512) 65829739
传真:
+86 (010) 6788 5057
电子邮件:
orders@antibodies-online.cn

MAP2K4 抗体 (Thr261)

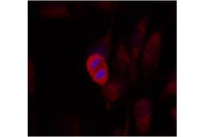
The 兔 多克隆 anti-MAP2K4 antibody (ABIN197322) specifically detects MAP2K4 in IF 和 IHC (p). The antibody is reactive with 人, 小鼠 和 大鼠 samples.
产品编号 ABIN197322
发货至: 中国
Contact our Customer Service for availability and price in your country. Contact Info

Our Local Distributor

中国
北京 101111
No. 88 KeChuang 6th Street
Beijing Economic Technological Development Area
Room 801-803
4A Biotech Co.,Ltd.
Tel +86 (0512) 65829739 传真 +86 (010) 6788 5057

Quick Overview for MAP2K4 抗体 (Thr261) (ABIN197322)

抗原

See all MAP2K4 抗体
MAP2K4 (Mitogen-Activated Protein Kinase Kinase 4 (MAP2K4))

适用

  • 154
  • 71
  • 51
  • 8
  • 7
  • 3
  • 3
  • 2
  • 2
  • 2
  • 1
  • 1
  • 1
人, 小鼠, 大鼠

宿主

  • 148
  • 12

克隆类型

  • 148
  • 13
多克隆

标记

  • 89
  • 13
  • 9
  • 7
  • 4
  • 4
  • 4
  • 4
  • 4
  • 4
  • 4
  • 4
  • 1
  • 1
  • 1
  • 1
  • 1
  • 1
  • 1
  • 1
  • 1
  • 1
  • 1
This MAP2K4 antibody is un-conjugated

应用范围

  • 90
  • 64
  • 61
  • 23
  • 20
  • 15
  • 15
  • 12
  • 6
  • 6
  • 4
  • 4
  • 2
  • 2
Immunofluorescence (IF), Immunohistochemistry (Paraffin-embedded Sections) (IHC (p))
  • 抗原表位

    • 37
    • 23
    • 11
    • 9
    • 9
    • 9
    • 7
    • 6
    • 5
    • 3
    • 3
    • 2
    • 2
    • 2
    • 2
    • 2
    • 2
    • 1
    • 1
    • 1
    • 1
    • 1
    • 1
    • 1
    • 1
    • 1
    • 1
    • 1
    • 1
    • 1
    • 1
    • 1
    • 1
    • 1
    Thr261

    特异性

    This antibody detects endogenous levels of total SEK1/MKK4 protein.

    纯化方法

    Immunoaffinity Chromatography using epitope-specific immunogen.

    免疫原

    The antiserum was produced against synthesized non-phosphopeptide derived from human SEK1/MKK4 around the phosphorylation site of threonine 261 (A-K-Tp-R-D).
  • 应用备注

    Immunofluorescence: 1/100-1/200. Immunohistochemistry on Paraffin-Embedded Sections: 1/50-1/100.
    Other applications not tested.
    Optimal dilutions are dependent on conditions and should be determined by the user.

    限制

    仅限研究用
  • 浓度

    1.0 mg/mL

    缓冲液

    PBS (without Mg2+ and Ca2+), pH 7.4, 150 mM NaCl, 0.02 % Sodium Azide and 50 % Glycerol.

    储存液

    Sodium azide

    注意事项

    This product contains sodium azide: a POISONOUS AND HAZARDOUS SUBSTANCE which should be handled by trained staff only.

    注意事项

    Avoid repeated freezing and thawing.

    储存条件

    -20 °C

    储存方法

    Store the antibody (in aliquots) at -20 °C.
  • 抗原

    MAP2K4 (Mitogen-Activated Protein Kinase Kinase 4 (MAP2K4))

    别名

    MAP2K4

    背景

    MEK4 is a dual specificity protein kinase that belongs to the Ser/Thr protein kinase family. This kinase is a direct activator of MAP kinases in response to various environmental stresses or mitogenic stimuli. It has been shown to activate MAPK8 / JNK1, MAPK9 / JNK2, and MAPK14 / p38, but not MAPK1 / ERK2 or MAPK3 / ERK3. This kinase is phosphorylated, and thus activated by MAP3K1 / MEKK. The knockout studies in mice suggested the roles of this kinase in mediating survival signal in T cell development, as well as in the organogenesis of liver.Synonyms: Dual specificity mitogen-activated protein kinase kinase 4, JNK-activating kinase 1, MAP Kinase Kinase 4, MAPKK4, MEK-4, MKK4, PRKMK4, SAPK/ERK kinase 1, SERK1, c-Jun N-terminal kinase kinase 1

    基因ID

    6416

    NCBI登录号

    NP_003001

    UniProt

    P45985

    途径

    MAPK Pathway, TLR signaling, Fc-epsilon Receptor Signaling Pathway, Activation of Innate immune Response, Toll-Like Receptors Cascades, BCR Signaling
You are here: