电话:
+86 (0512) 65829739
传真:
+86 (010) 6788 5057
电子邮件:
orders@antibodies-online.cn

MHC Class II HLA-DP/DQ/DR 抗体

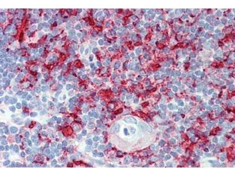
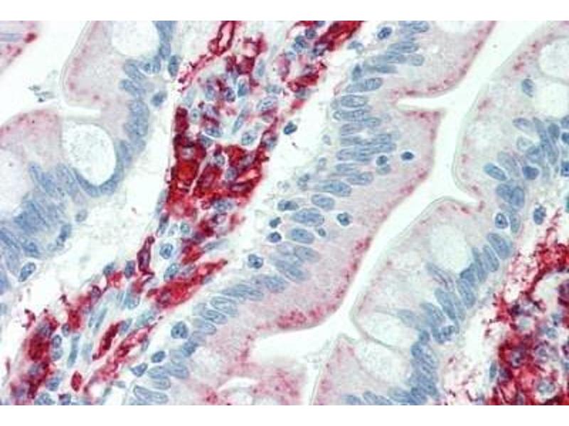
The 小鼠 单克隆 anti-MHC Class II HLA-DP/DQ/DR antibody (Clone WR18) (ABIN1959846) specifically detects MHC Class II HLA-DP/DQ/DR in FACS, IHC 和 IHC (p). The antibody is reactive with 人 samples.
产品编号 ABIN1959846
发货至: 中国
Contact our Customer Service for availability and price in your country. Contact Info

Our Local Distributor

中国
北京 101111
No. 88 KeChuang 6th Street
Beijing Economic Technological Development Area
Room 801-803
4A Biotech Co.,Ltd.
Tel +86 (0512) 65829739 传真 +86 (010) 6788 5057

Quick Overview for MHC Class II HLA-DP/DQ/DR 抗体 (ABIN1959846)

抗原

MHC Class II HLA-DP/DQ/DR (HLA-DP/DQ/DR)

适用

  • 38
  • 1

宿主

  • 27
  • 10
  • 1
小鼠

克隆类型

  • 38
单克隆

标记

  • 16
  • 3
  • 3
  • 2
  • 2
  • 2
  • 2
  • 2
  • 2
  • 2
  • 2
This MHC Class II HLA-DP/DQ/DR antibody is un-conjugated

应用范围

  • 35
  • 26
  • 24
  • 22
  • 18
  • 6
  • 5
  • 3
  • 3
  • 2
  • 2
  • 1
  • 1
  • 1
  • 1
  • 1
Flow Cytometry (FACS), Immunohistochemistry (IHC), Immunohistochemistry (Paraffin-embedded Sections) (IHC (p))

克隆位点

WR18
  • 特异性

    Recognizes HLA Class II beta chains of human major histocompatability antigen, Mw 28 kD. Reacts with a monomorphic determinant common to each beta chain type. The antigen is expressed by human B lymphocytes, monocytes and activated T lymphocytes.

    纯化方法

    Affinity purified

    免疫原

    Human HLA Class II (DP, DQ, DR).

    Type of Immunogen: Purified protein

    亚型

    IgG2a
  • 应用备注

    Approved: Flo (1:50 - 1:200), IHC, IHC-P (10 μg/mL)

    Usage: Flow Cytometry: Use 10 μL of the suggested working dilution to label 10^6 cells in 100 μL. Immunohistochemistry: This product requires antigen retrieval using heat treatment prior to staining of paraffin sections. Sodium citrate buffer  pH 6.0 is recommended for this purpose. Histology Positive Control Tissue: Tonsil.

    说明

    Target Species of Antibody: Human

    限制

    仅限研究用
  • 状态

    Liquid

    浓度

    Lot specific

    缓冲液

    PBS, 0.09 % sodium azide.

    储存液

    Sodium azide

    注意事项

    This product contains Sodium azide: a POISONOUS AND HAZARDOUS SUBSTANCE which should be handled by trained staff only.

    注意事项

    Avoid repeat freeze-thaw cycles.

    储存条件

    4 °C,-20 °C

    储存方法

    Short term: 4°C. Long term: Store at -20°C. Avoid freeze-thaw cycles.
  • 抗原

    MHC Class II HLA-DP/DQ/DR (HLA-DP/DQ/DR)

    别名

    HLA-DP+DQ+DR

    背景

    This antibody detects: HLA-DP+DQ+DR

    途径

    Human Leukocyte Antigen (HLA) in Adaptive Immune Response
You are here: