电话:
+86 (0512) 65829739
传真:
+86 (010) 6788 5057
电子邮件:
orders@antibodies-online.cn

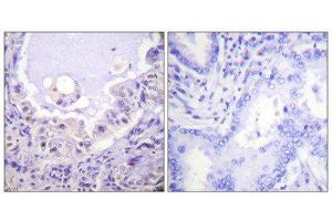
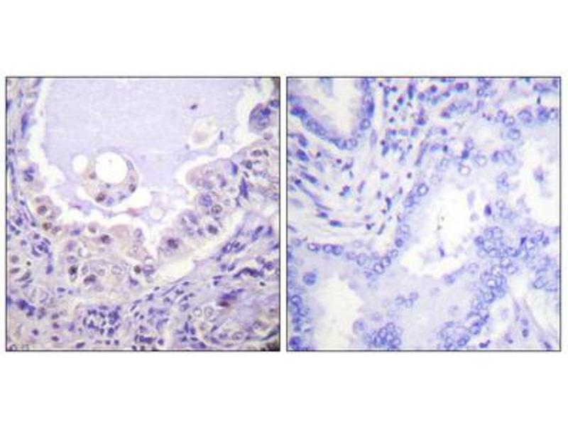
RAF1 抗体 (Ser621)

The 兔 多克隆 anti-RAF1 antibody (ABIN1847970) specifically detects RAF1 in WB, ELISA, IHC 和 IF/ICC. The antibody is reactive with 人, 小鼠 和 大鼠 samples.
产品编号 ABIN1847970
发货至: 中国
Contact our Customer Service for availability and price in your country. Contact Info

Our Local Distributor

中国
北京 101111
No. 88 KeChuang 6th Street
Beijing Economic Technological Development Area
Room 801-803
4A Biotech Co.,Ltd.
Tel +86 (0512) 65829739 传真 +86 (010) 6788 5057

Quick Overview for RAF1 抗体 (Ser621) (ABIN1847970)

抗原

See all RAF1 抗体
RAF1 (V-Raf-1 Murine Leukemia Viral Oncogene Homolog 1 (RAF1))

适用

  • 485
  • 245
  • 174
  • 17
  • 14
  • 12
  • 11
  • 9
  • 5
  • 4
  • 4
  • 2
  • 2
  • 2
  • 2
  • 1
人, 小鼠, 大鼠

宿主

  • 518
  • 15
  • 2
  • 2

克隆类型

  • 436
  • 101
多克隆

标记

  • 209
  • 38
  • 27
  • 26
  • 16
  • 15
  • 14
  • 14
  • 14
  • 14
  • 14
  • 14
  • 10
  • 10
  • 10
  • 10
  • 10
  • 10
  • 10
  • 10
  • 10
  • 10
  • 10
  • 6
  • 6
This RAF1 antibody is un-conjugated

应用范围

  • 354
  • 204
  • 121
  • 104
  • 104
  • 73
  • 64
  • 45
  • 39
  • 34
  • 24
  • 16
  • 12
  • 2
  • 2
  • 1
Western Blotting (WB), ELISA, Immunohistochemistry (IHC), Immunofluorescence (fixed cells) (IF/ICC)
You are here: