电话:
+86 (0512) 65829739
传真:
+86 (010) 6788 5057
电子邮件:
orders@antibodies-online.cn

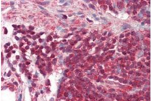
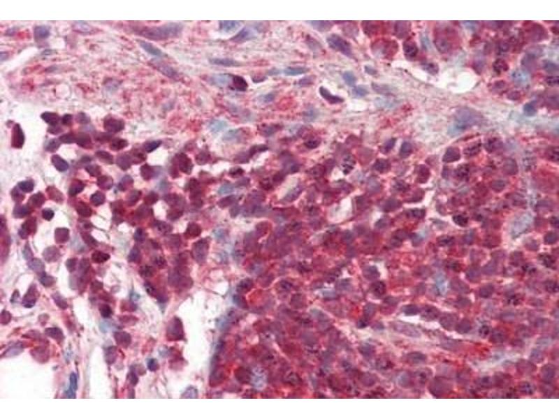
c-Rel 抗体 (AA 1-209)

The 兔 多克隆 anti-c-Rel antibody (ABIN1804275) specifically detects c-Rel in WB, IHC 和 IHC (p). The antibody is reactive with 人 samples.
产品编号 ABIN1804275
发货至: 中国
Contact our Customer Service for availability and price in your country. Contact Info

Our Local Distributor

中国
北京 101111
No. 88 KeChuang 6th Street
Beijing Economic Technological Development Area
Room 801-803
4A Biotech Co.,Ltd.
Tel +86 (0512) 65829739 传真 +86 (010) 6788 5057

Quick Overview for c-Rel 抗体 (AA 1-209) (ABIN1804275)

抗原

See all c-Rel 抗体
c-Rel (REL proto-oncogene (c-Rel))

适用

  • 94
  • 23
  • 6
  • 5
  • 5
  • 4
  • 4
  • 4
  • 3
  • 2
  • 2
  • 1
  • 1

宿主

  • 88
  • 9
  • 1

克隆类型

  • 68
  • 30
多克隆

标记

  • 43
  • 8
  • 4
  • 4
  • 4
  • 4
  • 4
  • 4
  • 3
  • 3
  • 2
  • 2
  • 1
  • 1
  • 1
  • 1
  • 1
  • 1
  • 1
  • 1
  • 1
  • 1
  • 1
  • 1
  • 1
This c-Rel antibody is un-conjugated

应用范围

  • 71
  • 34
  • 17
  • 13
  • 13
  • 12
  • 8
  • 6
  • 6
  • 4
  • 3
  • 1
Western Blotting (WB), Immunohistochemistry (IHC), Immunohistochemistry (Paraffin-embedded Sections) (IHC (p))
  • 抗原表位

    • 24
    • 9
    • 8
    • 4
    • 2
    • 2
    • 2
    • 1
    • 1
    • 1
    • 1
    • 1
    • 1
    • 1
    • 1
    • 1
    • 1
    AA 1-209

    特异性

    Human c-Rel. Predicted cross-reactivity based on amino acid sequence homology: mouse (93 % ).

    纯化方法

    Immunoaffinity purified

    免疫原

    Recombinant fragment corresponding to a region within amino acids 1 and 209 of c-Rel (Uniprot ID#Q04864)

    Type of Immunogen: Recombinant protein
  • 应用备注

    Approved: IHC, IHC-P (10 μg/mL), WB (1:500 - 1:3000)

    说明

    Target Species of Antibody: Human

    限制

    仅限研究用
  • 状态

    Liquid

    浓度

    Lot specific

    缓冲液

    0.1 M Tris-glycine,  pH 7, 10 % Glycerol, 0.01 % Thimerosal

    储存液

    Thimerosal (Merthiolate)

    注意事项

    This product contains Thimerosal (Merthiolate): a POISONOUS AND HAZARDOUS SUBSTANCE which should be handled by trained staff only.

    注意事项

    Avoid repeated freezing and thawing.

    储存条件

    -20 °C

    储存方法

    Aliquot and store at -20°C. Avoid freeze-thaw cycles.
  • 抗原

    c-Rel (REL proto-oncogene (c-Rel))

    别名

    REL / C-Rel

    背景

    Name/Gene ID: REL

    Synonyms: REL, C-Rel, C-Rel proto-oncogene protein, I-Rel, Proto-oncogene c-Rel

    基因ID

    5966

    UniProt

    Q04864
You are here: