电话:
+86 (0512) 65829739
传真:
+86 (010) 6788 5057
电子邮件:
orders@antibodies-online.cn

BRAF 抗体

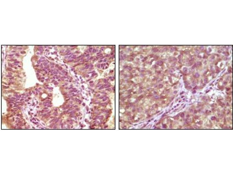
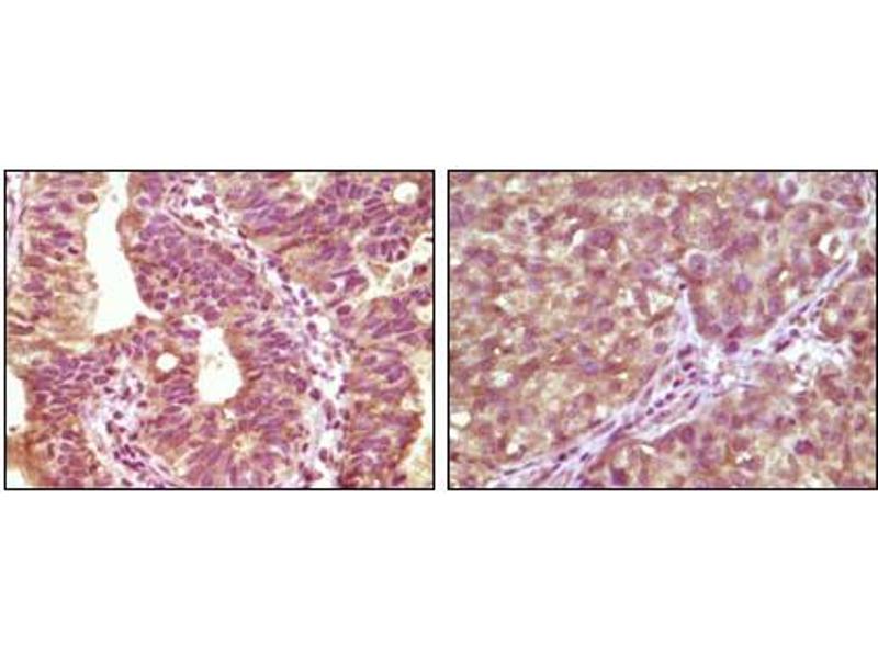
Cited in 4+ publications. The 小鼠 单克隆 anti-BRAF antibody (Clone 1H12F1) (ABIN1724658) specifically detects BRAF in ELISA 和 IHC. The antibody is reactive with 人 samples.
产品编号 ABIN1724658
发货至: 中国
Contact our Customer Service for availability and price in your country. Contact Info

Our Local Distributor

中国
北京 101111
No. 88 KeChuang 6th Street
Beijing Economic Technological Development Area
Room 801-803
4A Biotech Co.,Ltd.
Tel +86 (0512) 65829739 传真 +86 (010) 6788 5057

Quick Overview for BRAF 抗体 (ABIN1724658)

抗原

See all BRAF 抗体
BRAF (B-Raf proto-oncogene, serine/threonine kinase (BRAF))

适用

  • 234
  • 97
  • 76
  • 7
  • 5
  • 3
  • 2
  • 2
  • 1
  • 1
  • 1
  • 1
  • 1

宿主

  • 208
  • 27
  • 2
小鼠

克隆类型

  • 161
  • 76
单克隆

标记

  • 130
  • 17
  • 11
  • 10
  • 8
  • 8
  • 6
  • 6
  • 6
  • 6
  • 6
  • 6
  • 3
  • 3
  • 1
  • 1
  • 1
  • 1
  • 1
  • 1
  • 1
  • 1
  • 1
  • 1
  • 1
This BRAF antibody is un-conjugated

应用范围

  • 149
  • 113
  • 104
  • 38
  • 31
  • 30
  • 27
  • 26
  • 23
  • 13
  • 13
  • 8
  • 3
  • 3
  • 1
  • 1
ELISA, Immunohistochemistry (IHC)

克隆位点

1H12F1
  • 原理

    BRAF Antibody

    纯化方法

    Ascitic fluid

    免疫原

    Purified recombinant fragment of BRAF expressed in E. Coli.

    亚型

    IgG1
  • 应用备注

    ELISA: 1/10000

    限制

    仅限研究用
  • 状态

    Liquid

    缓冲液

    Ascitic fluid containing 0.03 % sodium azide.

    储存液

    Sodium azide

    注意事项

    This product contains Sodium azide: a POISONOUS AND HAZARDOUS SUBSTANCE which should be handled by trained staff only.

    储存条件

    4 °C,-20 °C

    储存方法

    Store at 4°C short term. Aliquot and store at -20°C long term. Avoid freeze/thaw cycles.
  • Kim, Giuliano, Turner, Gaffney, Umetani, Kitago, Elashoff, Hoon: "Lymphatic mapping establishes the role of BRAF gene mutation in papillary thyroid carcinoma." in: Annals of surgery, Vol. 244, Issue 5, pp. 799-804, (2006) (PubMed).

    Terai, Matsuda: "The amino-terminal B-Raf-specific region mediates calcium-dependent homo- and hetero-dimerization of Raf." in: The EMBO journal, Vol. 25, Issue 15, pp. 3556-64, (2006) (PubMed).

    Noda, Kato, Yoshikawa, Arai, Togashi, Nagai, Konishi, Miki: "Frequent involvement of ras-signalling pathways in both polypoid-type and flat-type early-stage colorectal cancers." in: Journal of experimental & clinical cancer research : CR, Vol. 25, Issue 2, pp. 235-42, (2006) (PubMed).

    Fullen, Poynter, Lowe, Su, Elder, Nair, Johnson, Gruber: "BRAF and NRAS mutations in spitzoid melanocytic lesions." in: Modern pathology : an official journal of the United States and Canadian Academy of Pathology, Inc, Vol. 19, Issue 10, pp. 1324-32, (2006) (PubMed).

  • 抗原

    BRAF (B-Raf proto-oncogene, serine/threonine kinase (BRAF))

    别名

    BRAF

    背景

    BRAF(V-raf murine sarcoma viral oncogene homolog B1 ) is the main effectors recruited by GTP-bound Ras to activate the MEK-MAP kinase pathway. B-Raf contains three consensus Akt phosphorylationsites (Ser364, Ser428, and Thr439).B-Raf is a key regulatory molecule of the mitogen-activated protein kinase kinase (MEK),it has a long amino-terminal region,the region is essential for homo-dimerization of B-Raf and hetero-dimerization of B-Raf and c-Raf at the plasma membrane, followed by phosphorylation of Thr118 in the amino-terminal B-Raf-specific region. Notably, in calcium ionophore-stimulated HeLa cells, B-Raf could propagate signals to MEK under the basal level of GTP-Ras. Expression of Raf-B is highly restricted with highestlevels in the cerebrum and testes and defects in braf are involved in a wide range of cancers.The BRAF gene mutation is frequently detected in papillary thyroid carcinoma,melanocytic nevi,primary cutaneous melanomas and colorectal cancers.

    基因ID

    673

    UniProt

    P15056

    途径

    MAPK Pathway, RTK signaling, Neurotrophin Signaling Pathway, Ribonucleoprotein Complex Subunit Organization, Hepatitis C, Autophagy
You are here: