电话:
+86 (0512) 65829739
传真:
+86 (010) 6788 5057
电子邮件:
orders@antibodies-online.cn

MAP2K4 抗体

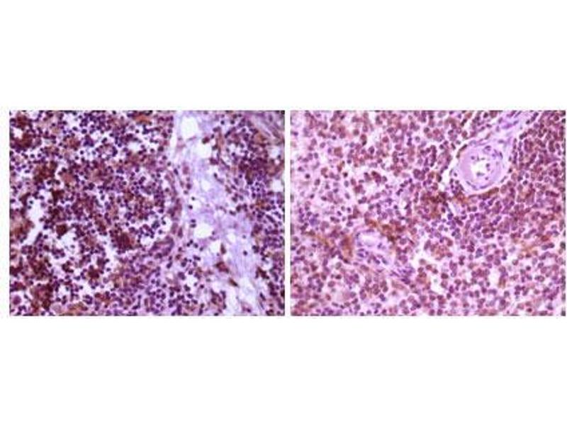
Cited in 2+ publications. The 小鼠 单克隆 anti-MAP2K4 antibody (Clone 2D10D8) (ABIN1724655) specifically detects MAP2K4 in IHC 和 ELISA. The antibody is reactive with 人 samples.
产品编号 ABIN1724655
发货至: 中国
Contact our Customer Service for availability and price in your country. Contact Info

Our Local Distributor

中国
北京 101111
No. 88 KeChuang 6th Street
Beijing Economic Technological Development Area
Room 801-803
4A Biotech Co.,Ltd.
Tel +86 (0512) 65829739 传真 +86 (010) 6788 5057

Quick Overview for MAP2K4 抗体 (ABIN1724655)

抗原

See all MAP2K4 抗体
MAP2K4 (Mitogen-Activated Protein Kinase Kinase 4 (MAP2K4))

适用

  • 153
  • 71
  • 51
  • 8
  • 7
  • 3
  • 3
  • 2
  • 2
  • 2
  • 1
  • 1
  • 1

宿主

  • 148
  • 11
小鼠

克隆类型

  • 148
  • 12
单克隆

标记

  • 88
  • 13
  • 9
  • 7
  • 4
  • 4
  • 4
  • 4
  • 4
  • 4
  • 4
  • 4
  • 1
  • 1
  • 1
  • 1
  • 1
  • 1
  • 1
  • 1
  • 1
  • 1
  • 1
This MAP2K4 antibody is un-conjugated

应用范围

  • 89
  • 63
  • 60
  • 24
  • 21
  • 15
  • 15
  • 12
  • 6
  • 6
  • 4
  • 4
  • 2
  • 2
Immunohistochemistry (IHC), ELISA

克隆位点

2D10D8
  • 原理

    MAP2K4 Antibody

    纯化方法

    Ascitic fluid

    免疫原

    Purified recombinant fragment of MAP2K4 expressed in E. Coli.

    亚型

    IgM
  • 应用备注

    ELISA: 1/10000

    限制

    仅限研究用
  • 状态

    Liquid

    缓冲液

    Ascitic fluid containing 0.03 % sodium azide.

    储存液

    Sodium azide

    注意事项

    This product contains Sodium azide: a POISONOUS AND HAZARDOUS SUBSTANCE which should be handled by trained staff only.

    储存条件

    4 °C,-20 °C

    储存方法

    Store at 4°C short term. Aliquot and store at -20°C long term. Avoid freeze/thaw cycles.
  • Kim, Vander Griend, Yang, Benson, Dubauskas, Yoshida, Chekmareva, Ichikawa, Sokoloff, Zhan, Karrison, Lin, Stadler, Ichikawa, Rubin, Rinker-Schaeffer: "Mitogen-activated protein kinase kinase 4 metastasis suppressor gene expression is inversely related to histological pattern in advancing human prostatic cancers." in: Cancer research, Vol. 61, Issue 7, pp. 2833-7, (2001) (PubMed).

    Cuenda: "Mitogen-activated protein kinase kinase 4 (MKK4)." in: The international journal of biochemistry & cell biology, Vol. 32, Issue 6, pp. 581-7, (2000) (PubMed).

  • 抗原

    MAP2K4 (Mitogen-Activated Protein Kinase Kinase 4 (MAP2K4))

    别名

    MAP2K4

    背景

    MAP2K4(mitogen-activated protein kinase kinase 4), which is located on chromosome 17p11.2, with 399-amino acid protein (about 45 kDa), belongs to the family of protein kinases located upstream of the MAP kinases and responsible for their activation has been identified. MEK-4 (also called MEK4/MKK4) activates both p38 and JNK MAP kinases.
    MKK4 is a central mediator in the stress activated protein kinase signaling pathway that responds to a number of cellular and environmental stressors. By phosphorylating MAP kinases such as JNK,MKK4 can ultimately transmit stress signals to nuclear transcription factors that mediate various processes including proliferation, apoptosis, and differentiation. Its distinct biological functions have been identified for MKK4 including a role in development, hepatogenesis, and metastasis suppression.

    基因ID

    6416

    UniProt

    P45985

    途径

    MAPK Pathway, TLR signaling, Fc-epsilon Receptor Signaling Pathway, Activation of Innate immune Response, Toll-Like Receptors Cascades, BCR Signaling
You are here: