电话:
+86 (0512) 65829739
传真:
+86 (010) 6788 5057
电子邮件:
orders@antibodies-online.cn

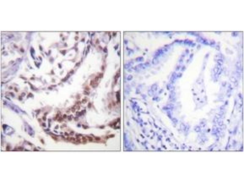
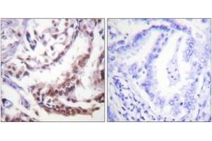
Histone 3 抗体 (H3K9ac)

The 兔 多克隆 anti-Histone 3 antibody is suitable to detect Histone 3 in samples from 人, 小鼠 和 大鼠. It has been validated for WB, IHC, IF 和 ELISA.
产品编号 ABIN1535518
发货至: 中国
Contact our Customer Service for availability and price in your country. Contact Info

Our Local Distributor

中国
北京 101111
No. 88 KeChuang 6th Street
Beijing Economic Technological Development Area
Room 801-803
4A Biotech Co.,Ltd.
Tel +86 (0512) 65829739 传真 +86 (010) 6788 5057

Quick Overview for Histone 3 抗体 (H3K9ac) (ABIN1535518)

抗原

See all Histone 3 (H3) 抗体
Histone 3 (H3) (Histone H3 (H3))

适用

  • 1726
  • 1169
  • 1039
  • 48
  • 40
  • 37
  • 35
  • 32
  • 25
  • 23
  • 21
  • 20
  • 11
  • 7
  • 6
  • 6
  • 5
  • 4
  • 4
  • 4
  • 3
  • 3
  • 2
  • 2
  • 2
  • 2
  • 1
  • 1
  • 1
  • 1
  • 1
  • 1
  • 1
  • 1
  • 1
  • 1
  • 1
  • 1
  • 1
  • 1
  • 1
  • 1
  • 1
  • 1
  • 1
  • 1
  • 1
  • 1
  • 1
  • 1
人, 小鼠, 大鼠

宿主

  • 1504
  • 254
  • 8
  • 5
  • 1

克隆类型

  • 1145
  • 626
  • 1
多克隆

标记

  • 948
  • 103
  • 67
  • 67
  • 67
  • 67
  • 67
  • 67
  • 29
  • 28
  • 24
  • 24
  • 18
  • 18
  • 18
  • 17
  • 17
  • 17
  • 17
  • 17
  • 17
  • 17
  • 17
  • 16
  • 7
  • 1
This Histone 3 antibody is un-conjugated

应用范围

  • 1381
  • 601
  • 503
  • 413
  • 335
  • 308
  • 205
  • 204
  • 202
  • 188
  • 177
  • 125
  • 114
  • 48
  • 48
  • 37
  • 26
  • 25
  • 19
  • 15
  • 14
  • 7
  • 7
  • 7
  • 4
  • 3
  • 2
  • 1
  • 1
  • 1
  • 1
Western Blotting (WB), Immunohistochemistry (IHC), Immunofluorescence (IF), ELISA
  • 抗原表位

    • 71
    • 51
    • 50
    • 49
    • 46
    • 46
    • 46
    • 45
    • 43
    • 39
    • 38
    • 36
    • 33
    • 32
    • 32
    • 29
    • 29
    • 29
    • 28
    • 25
    • 25
    • 25
    • 25
    • 24
    • 24
    • 23
    • 22
    • 22
    • 19
    • 18
    • 18
    • 18
    • 16
    • 15
    • 15
    • 14
    • 14
    • 14
    • 14
    • 12
    • 11
    • 11
    • 11
    • 11
    • 11
    • 11
    • 11
    • 10
    • 10
    • 10
    H3K9ac

    特异性

    Histone H3 (Acetyl-Lys9) Antibody detects endogenous levels of total Histone H3 protein only when acetylated at Lys9.

    AcetylationH:K9 M:K9 R:K9

    纯化方法

    The antibody was purified from rabbit antiserum by affinity-chromatography using acetylated peptide. The antibody against non-acetylated peptide was removed by chromatography using corresponding non-acetylated peptide.

    纯度

    > 95 %

    免疫原

    The antiserum was produced against synthesized peptide derived from human Histone H3 around the acetylated site of Lys9.

    亚型

    IgG
  • 应用备注

    WB: 1:500~1:1000 IHC: 1:50~1:100 IF: 1:100~1:500 ELISA: 1:1000

    说明

    Unigene-Number: Hs.132854, Hs.247813, Hs.247814, Hs.248176, Hs.443021, Hs.484990, Hs.532144, Hs.533292, Hs.546315, Hs.586261, Hs.591778, Hs.647745, Hs.706618, Hs.712062, Hs.180877, Hs.533624, Hs.723160, Hs.724423 (NCBI Gene Symbol: HIST1H3A)8351 (NCBI Gene Symbol: HIST1H3B)8352 (NCBI Gene Symbol: HIST1H3C)

    限制

    仅限研究用
  • 状态

    Liquid

    浓度

    1 mg/mL

    缓冲液

    phosphate buffered saline (without Mg2+ and Ca2+), pH 7.4, 150 mM NaCl, 0.02 % sodium azide and 50 % glycerol.

    储存液

    Sodium azide

    注意事项

    This product contains sodium azide: a POISONOUS AND HAZARDOUS SUBSTANCE which should be handled by trained staff only.

    储存条件

    -20 °C

    储存方法

    Stable at -20°C for at least 1 year.

    有效期

    12 months
  • 抗原

    Histone 3 (H3) (Histone H3 (H3))

    别名

    Histone H3

    背景

    Synonyms: H3/a, H3/c, H3/d, H3/f, H3/h, H3/i, H3/j, H3/k, H3/l, H31, HIST1H3A, histone H3.1

    NCBI Gene Symbol: HIST1H3A/HIST1H3B/HIST1H3C/HIST1H3D/HIST1H3E/HIST1H3F/HIST1H3G/HIST1H3H/HIST1H3I/HIST1H3J/HIST2H3A/HIST2H3C/HIST2H3D/H3F3A/H3F3B

    分子量

    15 kDa

    基因ID

    8350, 8351, 8352

    OMIM

    602810

    UniProt

    P68431, Q71DI3, P84243
You are here: