电话:
+86 (0512) 65829739
传真:
+86 (010) 6788 5057
电子邮件:
orders@antibodies-online.cn

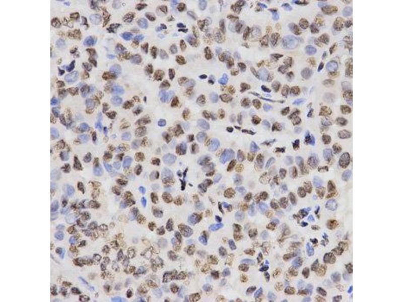
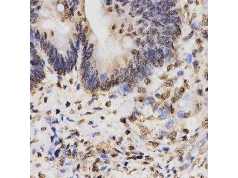
Histone 3 抗体 (H3K27me)

Cited in 14+ publications. The 兔 多克隆 anti-Histone 3 antibody (ABIN3023269) specifically detects Histone 3 in WB, IHC, IF, ChIP, IP 和 ChIP-seq. The antibody is reactive with 人 samples.
产品编号 ABIN3023269
发货至: 中国
Contact our Customer Service for availability and price in your country. Contact Info

Our Local Distributor

中国
北京 101111
No. 88 KeChuang 6th Street
Beijing Economic Technological Development Area
Room 801-803
4A Biotech Co.,Ltd.
Tel +86 (0512) 65829739 传真 +86 (010) 6788 5057

Quick Overview for Histone 3 抗体 (H3K27me) (ABIN3023269)

抗原

See all Histone 3 (H3) 抗体
Histone 3 (H3) (Histone H3 (H3))

适用

  • 1725
  • 1169
  • 1039
  • 48
  • 40
  • 37
  • 35
  • 32
  • 25
  • 23
  • 21
  • 20
  • 11
  • 7
  • 6
  • 6
  • 5
  • 4
  • 4
  • 4
  • 3
  • 3
  • 2
  • 2
  • 2
  • 2
  • 1
  • 1
  • 1
  • 1
  • 1
  • 1
  • 1
  • 1
  • 1
  • 1
  • 1
  • 1
  • 1
  • 1
  • 1
  • 1
  • 1
  • 1
  • 1
  • 1
  • 1
  • 1
  • 1
  • 1

宿主

  • 1503
  • 254
  • 8
  • 5
  • 1

克隆类型

  • 1144
  • 626
  • 1
多克隆

标记

  • 947
  • 103
  • 67
  • 67
  • 67
  • 67
  • 67
  • 67
  • 29
  • 28
  • 24
  • 24
  • 18
  • 18
  • 18
  • 17
  • 17
  • 17
  • 17
  • 17
  • 17
  • 17
  • 17
  • 16
  • 7
  • 1
This Histone 3 antibody is un-conjugated

应用范围

  • 1380
  • 600
  • 502
  • 413
  • 335
  • 307
  • 205
  • 203
  • 202
  • 188
  • 177
  • 125
  • 113
  • 48
  • 48
  • 37
  • 26
  • 25
  • 19
  • 15
  • 14
  • 7
  • 7
  • 7
  • 4
  • 3
  • 2
  • 1
  • 1
  • 1
  • 1
Western Blotting (WB), Immunohistochemistry (IHC), Immunofluorescence (IF), Chromatin Immunoprecipitation (ChIP), Immunoprecipitation (IP), ChIP DNA-Sequencing (ChIP-seq)
  • 抗原表位

    • 71
    • 51
    • 50
    • 49
    • 46
    • 46
    • 46
    • 45
    • 43
    • 39
    • 38
    • 36
    • 33
    • 32
    • 32
    • 29
    • 29
    • 29
    • 28
    • 25
    • 25
    • 25
    • 25
    • 24
    • 24
    • 23
    • 22
    • 22
    • 18
    • 18
    • 18
    • 18
    • 16
    • 15
    • 15
    • 14
    • 14
    • 14
    • 14
    • 12
    • 11
    • 11
    • 11
    • 11
    • 11
    • 11
    • 11
    • 10
    • 10
    • 10
    H3K27me

    交叉反应

    人, 小鼠, 大鼠

    产品特性

    Methylated Antibodies

    纯化方法

    Affinity purification

    免疫原

    A synthetic methylated peptide corresponding to residues surrounding K27 of human histone H3

    亚型

    IgG
  • 应用备注

    WB,1:500 - 1:2000,IHC,1:50 - 1:200,IF,1:50 - 1:200,IP,1:50 - 1:200,ChIP,1:20 - 1:100,ChIP-seq,1:20 - 1:100

    限制

    仅限研究用
  • 状态

    Liquid

    缓冲液

    PBS with 0.02 % sodium azide,50 % glycerol, pH 7.3.

    储存液

    Sodium azide

    注意事项

    This product contains Sodium azide: a POISONOUS AND HAZARDOUS SUBSTANCE which should be handled by trained staff only.

    注意事项

    Avoid freeze / thaw cycles

    储存条件

    -20 °C

    储存方法

    Store at -20°C. Avoid freeze / thaw cycles.
  • Wang, Wang, Lin, Ye, Li, Tu, Shen, Li, Yang, Zhang: "Evolutionary dynamics of 3D genome architecture following polyploidization in cotton." in: Nature plants, Vol. 4, Issue 2, pp. 90-97, (2018) (PubMed).

    Cheng, Tan, Lu, Liu, Li, Yuan, Zhao, Zhou: "WOX11 recruits a histone H3K27me3 demethylase to promote gene expression during shoot development in rice." in: Nucleic acids research, Vol. 46, Issue 5, pp. 2356-2369, (2018) (PubMed).

    Wu, Tian, Zhang, Tong, Huang, Li, Zhao, Tang, Yuan, Wang, Fang, Gao, Hu, Li, Qin, Yao, Chen, Chen, Zhang, Liu, Sun, Chen, Wong, Ge, Chen, Ji: "In vivo CRISPR screening unveils histone demethylase UTX as an important epigenetic regulator in lung tumorigenesis." in: Proceedings of the National Academy of Sciences of the United States of America, Vol. 115, Issue 17, pp. E3978-E3986, (2018) (PubMed).

    Dumasia, Kumar, Deshpande, Balasinor: "Estrogen, through estrogen receptor 1, regulates histone modifications and chromatin remodeling during spermatogenesis in adult rats." in: Epigenetics, Vol. 12, Issue 11, pp. 953-963, (2018) (PubMed).

    Yu, Liu, Liu, Wang, Liu, Miao, Du, Yang: "Ascorbic acid induces global epigenetic reprogramming to promote meiotic maturation and developmental competence of porcine oocytes." in: Scientific reports, Vol. 8, Issue 1, pp. 6132, (2018) (PubMed).

    Song, Li, Wang, Du, Yang: "DMBA acts on cumulus cells to desynchronize nuclear and cytoplasmic maturation of pig oocytes." in: Scientific reports, Vol. 7, Issue 1, pp. 1687, (2018) (PubMed).

    Tang, Guo, Zhu, Huang, Liu, Cai, Yu, Wang: "Metformin inhibits ovarian cancer via decreasing H3K27 trimethylation." in: International journal of oncology, Vol. 52, Issue 6, pp. 1899-1911, (2018) (PubMed).

    Cao, Liu, Yue, Liu, Pei, Gu, Wang, Jia: "Iron chelation inhibits cancer cell growth and modulates global histone methylation status in colorectal cancer." in: Biometals : an international journal on the role of metal ions in biology, biochemistry, and medicine, Vol. 31, Issue 5, pp. 797-805, (2018) (PubMed).

    Wang, Tu, Lin, Lin, Wang, Yang, Ye, Shen, Li, Zhang, Zhou, Nie, Li, Guo, Ma, Huang, Jin, Zhu, Yang, Min, Yuan, Zhang, Lindsey, Zhang: "Asymmetric subgenome selection and cis-regulatory divergence during cotton domestication." in: Nature genetics, Vol. 49, Issue 4, pp. 579-587, (2017) (PubMed).

    Zhou, Liu, Zhou, Zhou, Zhao, Li, Zhou: "Cooperation between the H3K27me3 Chromatin Mark and Non-CG Methylation in Epigenetic Regulation." in: Plant physiology, Vol. 172, Issue 2, pp. 1131-1141, (2017) (PubMed).

    Kumar, Dumasia, Deshpande, Balasinor: "Direct regulation of genes involved in sperm release by estrogen and androgen through their receptors and coregulators." in: The Journal of steroid biochemistry and molecular biology, Vol. 171, pp. 66-74, (2017) (PubMed).

    Su, Li, Lei, Wang, Zhao, Cai, Wang, Li, Wu: "The EZH1-SUZ12 complex positively regulates the transcription of NF-κB target genes through interaction with UXT." in: Journal of cell science, Vol. 129, Issue 12, pp. 2343-53, (2017) (PubMed).

    Yi, Guo, Guo, Sun, Yang, Wang, Li, Xie, Cai, Wang: "EZH2-mediated epigenetic silencing of TIMP2 promotes ovarian cancer migration and invasion." in: Scientific reports, Vol. 7, Issue 1, pp. 3568, (2017) (PubMed).

    Liu, Zhou, Wang, Ye, Zhao, Xu, Zhou, Tan, Cheng, Zhou: "Regulation of histone methylation and reprogramming of gene expression in the rice inflorescence meristem." in: The Plant cell, Vol. 27, Issue 5, pp. 1428-44, (2016) (PubMed).

  • 抗原

    Histone 3 (H3) (Histone H3 (H3))

    别名

    Histone H3

    背景

    Actin is a key regulator of RNA polymerase (Pol) II-dependent transcription. Positive transcription elongation factor b (P-TEFb), a Cdk9/cyclin T1 heterodimer, has been reported to play a critical role in transcription elongation. However, the relationship between actin and P-TEFb is still not clear. In this study, actin was found to interact with Cdk9, a catalytic subunit of P-TEFb, in elongation complexes. Using immunofluorescence and immunoprecipitation assays, Cdk9 was found to bind to G-actin through the conserved Thr-186 in the T-loop. Overexpression and in vitro kinase assays showed that G-actin promotes P-TEFb-dependent phosphorylation of the Pol II C-terminal domain. An in vitro transcription experiment revealed that the interaction between G-actin and Cdk9 stimulated Pol II transcription elongation. ChIP and immobilized template assays indicated that actin recruited Cdk9 to a transcriptional template in vivo and in vitro. Using cytokine IL-6-inducible p21 gene expression system, we revealed that actin recruited Cdk9 to endogenous gene. Moreover, overexpression of actin and Cdk9 increased histone H3 acetylation and acetylized histone H3 binding to a transcriptional template through the interaction with histone acetyltransferase, p300. Taken together, our results suggested that actin participates in transcription elongation by recruiting Cdk9 for phosphorylation of the Pol II C-terminal domain, and the actin-Cdk9 interaction promotes chromatin remodeling.,H3.4,H3/g,H3FT,H3t,HIST3H3,Histone H3,HIST1H3A,Signal Transduction,MAPK-Erk Signaling Pathway,MAPK-P38 Signaling Pathway,Epigenetics & Nuclear Signaling,Epigenetic Modifications,Methylation,Histone H3

    分子量

    15 kDa

    基因ID

    8290

    UniProt

    Q16695
You are here: