电话:
+86 (0512) 65829739
传真:
+86 (010) 6788 5057
电子邮件:
orders@antibodies-online.cn

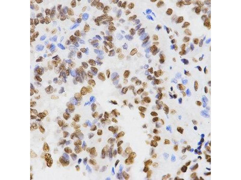
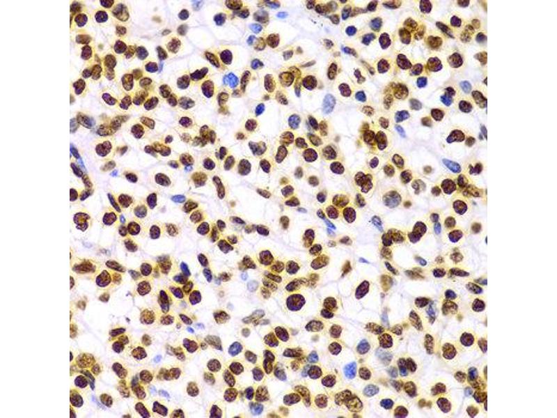
Histone 3 抗体 (H3K9me2)

This 兔 多克隆 antibody specifically detects Histone 3 in WB, IHC, IF, ChIP, IP 和 ChIP-seq. It exhibits reactivity toward 人. It has been mentioned in 4+ publications
产品编号 ABIN3023260
发货至: 中国
Contact our Customer Service for availability and price in your country. Contact Info

Our Local Distributor

中国
北京 101111
No. 88 KeChuang 6th Street
Beijing Economic Technological Development Area
Room 801-803
4A Biotech Co.,Ltd.
Tel +86 (0512) 65829739 传真 +86 (010) 6788 5057

Quick Overview for Histone 3 抗体 (H3K9me2) (ABIN3023260)

抗原

See all Histone 3 (H3) 抗体
Histone 3 (H3) (Histone H3 (H3))

适用

  • 1725
  • 1169
  • 1039
  • 48
  • 40
  • 37
  • 35
  • 32
  • 25
  • 23
  • 21
  • 20
  • 11
  • 7
  • 6
  • 6
  • 5
  • 4
  • 4
  • 4
  • 3
  • 3
  • 2
  • 2
  • 2
  • 2
  • 1
  • 1
  • 1
  • 1
  • 1
  • 1
  • 1
  • 1
  • 1
  • 1
  • 1
  • 1
  • 1
  • 1
  • 1
  • 1
  • 1
  • 1
  • 1
  • 1
  • 1
  • 1
  • 1
  • 1

宿主

  • 1503
  • 254
  • 8
  • 5
  • 1

克隆类型

  • 1144
  • 626
  • 1
多克隆

标记

  • 947
  • 103
  • 67
  • 67
  • 67
  • 67
  • 67
  • 67
  • 29
  • 28
  • 24
  • 24
  • 18
  • 18
  • 18
  • 17
  • 17
  • 17
  • 17
  • 17
  • 17
  • 17
  • 17
  • 16
  • 7
  • 1
This Histone 3 antibody is un-conjugated

应用范围

  • 1380
  • 600
  • 502
  • 413
  • 335
  • 307
  • 205
  • 203
  • 202
  • 188
  • 177
  • 125
  • 113
  • 48
  • 48
  • 37
  • 26
  • 25
  • 19
  • 15
  • 14
  • 7
  • 7
  • 7
  • 4
  • 3
  • 2
  • 1
  • 1
  • 1
  • 1
Western Blotting (WB), Immunohistochemistry (IHC), Immunofluorescence (IF), Chromatin Immunoprecipitation (ChIP), Immunoprecipitation (IP), ChIP DNA-Sequencing (ChIP-seq)
  • 抗原表位

    • 71
    • 51
    • 50
    • 49
    • 46
    • 46
    • 45
    • 45
    • 43
    • 39
    • 38
    • 36
    • 33
    • 32
    • 32
    • 29
    • 29
    • 29
    • 28
    • 25
    • 25
    • 25
    • 25
    • 24
    • 24
    • 23
    • 22
    • 22
    • 19
    • 18
    • 18
    • 18
    • 16
    • 15
    • 15
    • 14
    • 14
    • 14
    • 14
    • 12
    • 11
    • 11
    • 11
    • 11
    • 11
    • 11
    • 11
    • 10
    • 10
    • 10
    H3K9me2

    交叉反应

    人, 小鼠, 大鼠

    产品特性

    Methylated Antibodies

    纯化方法

    Affinity purification

    免疫原

    A synthetic methylated peptide corresponding to residues surrounding K9 of human histone H3

    亚型

    IgG
  • 应用备注

    WB,1:500 - 1:2000,IHC,1:50 - 1:200,IF,1:50 - 1:200,IP,1:50 - 1:200,ChIP,1:50 - 1:200,ChIP-seq,1:50 - 1:200

    限制

    仅限研究用
  • 状态

    Liquid

    缓冲液

    PBS with 0.02 % sodium azide,50 % glycerol, pH 7.3.

    储存液

    Sodium azide

    注意事项

    This product contains Sodium azide: a POISONOUS AND HAZARDOUS SUBSTANCE which should be handled by trained staff only.

    注意事项

    Avoid freeze / thaw cycles

    储存条件

    -20 °C

    储存方法

    Store at -20°C. Avoid freeze / thaw cycles.
  • Zuo, Rong, Li, Lv, Lan, Tong: "The histone methyltransferase SETD2 is required for expression of acrosin-binding protein 1 and protamines and essential for spermiogenesis in mice." in: The Journal of biological chemistry, Vol. 293, Issue 24, pp. 9188-9197, (2019) (PubMed).

    Vaughan, Dickson, Whelihan, Johnstone, Cornett, Cheek, Ausherman, Cowles, Sun, Rothbart: "Chromatin structure and its chemical modifications regulate the ubiquitin ligase substrate selectivity of UHRF1." in: Proceedings of the National Academy of Sciences of the United States of America, Vol. 115, Issue 35, pp. 8775-8780, (2018) (PubMed).

    Cao, Liu, Yue, Liu, Pei, Gu, Wang, Jia: "Iron chelation inhibits cancer cell growth and modulates global histone methylation status in colorectal cancer." in: Biometals : an international journal on the role of metal ions in biology, biochemistry, and medicine, Vol. 31, Issue 5, pp. 797-805, (2018) (PubMed).

    Zhao, Lei, Zhang, Zheng, Wang, Zhao, Li, Ye, Li, Wei, Wu: "Global histone modification profiling reveals the epigenomic dynamics during malignant transformation in a four-stage breast cancer model." in: Clinical epigenetics, Vol. 8, pp. 34, (2016) (PubMed).

  • 抗原

    Histone 3 (H3) (Histone H3 (H3))

    别名

    Histone H3

    背景

    Histones are basic nuclear proteins that are responsible for the nucleosome structure of the chromosomal fiber in eukaryotes. Nucleosomes consist of approximately 146 bp of DNA wrapped around a histone octamer composed of pairs of each of the four core histones (H2A, H2B, H3, and H4). The chromatin fiber is further compacted through the interaction of a linker histone, H1, with the DNA between the nucleosomes to form higher order chromatin structures. This gene is intronless and encodes a replication-dependent histone that is a member of the histone H3 family. Transcripts from this gene lack polyA tails, instead, they contain a palindromic termination element. This gene is located separately from the other H3 genes that are in the histone gene cluster on chromosome 6p22-p21.3.,H3.4,H3/g,H3FT,H3t,HIST3H3,Histone H3,HIST1H3A,Signal Transduction,MAPK-Erk Signaling Pathway,MAPK-P38 Signaling Pathway,Epigenetics & Nuclear Signaling,Epigenetic Modifications,Methylation,Histone H3

    分子量

    15 kDa

    基因ID

    8290

    UniProt

    Q16695
You are here: