电话:
+86 (0512) 65829739
传真:
+86 (010) 6788 5057
电子邮件:
orders@antibodies-online.cn

Histone 3 抗体 (H3K4me)

Cited in 6+ publications. The 兔 多克隆 anti-Histone 3 antibody (ABIN3023251) specifically detects Histone 3 in WB, IF, ChIP, IP, ChIP-seq 和 CUT&RUN. The antibody is reactive with 人 samples. Independently validated for use in Cleavage Under Targets and Release Using Nuclease.
产品编号 ABIN3023251
发货至: 中国
Contact our Customer Service for availability and price in your country. Contact Info

Our Local Distributor

中国
北京 101111
No. 88 KeChuang 6th Street
Beijing Economic Technological Development Area
Room 801-803
4A Biotech Co.,Ltd.
Tel +86 (0512) 65829739 传真 +86 (010) 6788 5057

Quick Overview for Histone 3 抗体 (H3K4me) (ABIN3023251)

抗原

See all Histone 3 (H3) 抗体
Histone 3 (H3) (Histone H3 (H3))

适用

  • 1725
  • 1169
  • 1039
  • 48
  • 40
  • 37
  • 35
  • 32
  • 25
  • 23
  • 21
  • 20
  • 11
  • 7
  • 6
  • 6
  • 5
  • 4
  • 4
  • 4
  • 3
  • 3
  • 2
  • 2
  • 2
  • 2
  • 1
  • 1
  • 1
  • 1
  • 1
  • 1
  • 1
  • 1
  • 1
  • 1
  • 1
  • 1
  • 1
  • 1
  • 1
  • 1
  • 1
  • 1
  • 1
  • 1
  • 1
  • 1
  • 1
  • 1

宿主

  • 1503
  • 254
  • 8
  • 5
  • 1

克隆类型

  • 1144
  • 626
  • 1
多克隆

标记

  • 947
  • 103
  • 67
  • 67
  • 67
  • 67
  • 67
  • 67
  • 29
  • 28
  • 24
  • 24
  • 18
  • 18
  • 18
  • 17
  • 17
  • 17
  • 17
  • 17
  • 17
  • 17
  • 17
  • 16
  • 7
  • 1
This Histone 3 antibody is un-conjugated

应用范围

  • 1380
  • 600
  • 503
  • 413
  • 335
  • 307
  • 205
  • 203
  • 202
  • 188
  • 177
  • 125
  • 113
  • 48
  • 48
  • 37
  • 26
  • 25
  • 19
  • 14
  • 14
  • 7
  • 7
  • 7
  • 4
  • 3
  • 2
  • 1
  • 1
  • 1
  • 1
Western Blotting (WB), Immunofluorescence (IF), Chromatin Immunoprecipitation (ChIP), Immunoprecipitation (IP), ChIP DNA-Sequencing (ChIP-seq), Cleavage Under Targets and Release Using Nuclease (CUT&RUN)
  • 抗原表位

    • 71
    • 51
    • 50
    • 49
    • 46
    • 46
    • 46
    • 45
    • 43
    • 39
    • 38
    • 36
    • 33
    • 32
    • 32
    • 29
    • 29
    • 28
    • 28
    • 25
    • 25
    • 25
    • 25
    • 24
    • 24
    • 23
    • 22
    • 22
    • 19
    • 18
    • 18
    • 18
    • 16
    • 15
    • 15
    • 14
    • 14
    • 14
    • 14
    • 12
    • 11
    • 11
    • 11
    • 11
    • 11
    • 11
    • 11
    • 10
    • 10
    • 10
    H3K4me

    交叉反应

    人, 小鼠, 大鼠

    产品特性

    Methylated Antibodies

    纯化方法

    Affinity purification

    免疫原

    A synthetic methylated peptide corresponding to residues surrounding K4 of human histone H3

    亚型

    IgG
  • 应用备注

    WB 1:500 - 1:2000, IF 1:50 - 1:200, IP 1:50 - 1:200, ChIP 1:50 - 1:200, ChIP-seq 1:50 - 1:200, CUT&RUN 1:100

    限制

    仅限研究用
  • 生效 #104228 (Cleavage Under Targets and Release Using Nuclease)
    '独立验证'标志
    by
    Mattias Pernebrink, Anna Nordin and Claudio Cantù; Cantù Lab, Gene Regulation during Development and Disease, Linköping University
    No.
    #104228
    日期
    2021.11.12
    抗原
    H3K4me
    Lot Number
    3560036504
    Method validated
    Cleavage Under Targets and Release Using Nuclease
    Positive Control
    Recombinant anti-H3K27me3 CUT&RUN Positive Control antibody (antibodies-online, ABIN6923144)
    Negative Control
    Guinea Pig anti-rabbit IgG (antibodies-online, ABIN101961)
    Notes

    Passed. ABIN3023251 allows for H3K4me targeted digestion using CUT&RUN.

    '独立验证'标志
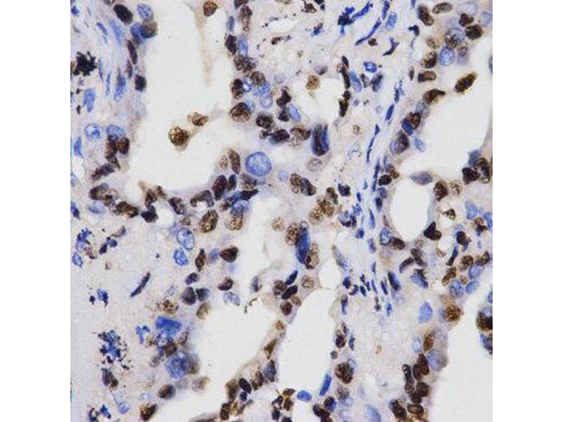
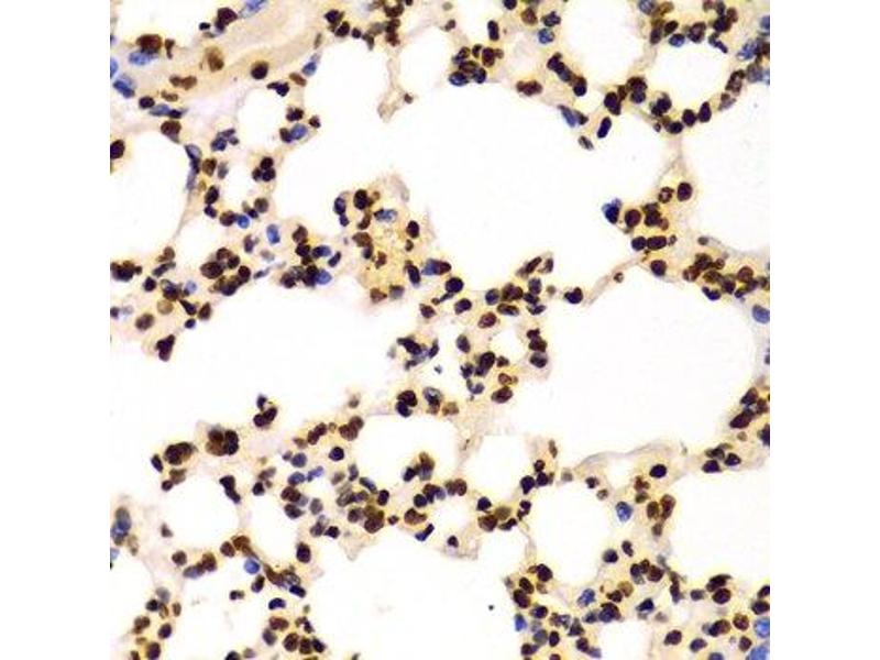
    Validation Images
    Full Methods
    Primary Antibody
    ABIN3023251
    Secondary Antibody
    Full Protocol
    • Cell harvest
      • Harvest 250,000 HEK293T cells per antibody to be used at RT.
      • Centrifuge cell solution 3 min at 600 x g at RT.
      • Remove the liquid carefully.
      • Gently resuspend cells in 1 mL Wash Buffer (20 mM HEPES pH 7.5, 150 mM NaCl, 0.5 mM Spermidine, Roche Complete Protease Inhibitor EDTA-free) by pipetting and transfer cell solution to a 2 mL microcentrifuge tube.
      • Centrifuge cell solution 3 min at 600 x g at RT and discard the supernatant.
      • Repeat twice for a total of three washes.
      • Resuspend cell pellet in 1 mL Wash Buffer by gently pipetting.
    • Concanavalin A beads preparation
      • Prepare one 1.5 mL microcentrifuge tube.
      • Gently resuspend the magnetic Concanavalin A Beads (antibodies-online, ABIN6923139).
      • Pipette 10 µL Con A Beads slurry for each sample into the 1.5 mL microcentrifuge tube.
      • Place the tube on a magnet stand until the fluid is clear. Remove the liquid carefully.
      • Remove the microcentrifuge tube from the magnetic stand.
      • Pipette 1 mL Binding Buffer (20 mM HEPES pH 7.5, 10 mM KCl, 1 mM CaCl2, 1 mM MnCl2) into each tube and resuspend ConA beads by gentle pipetting.
      • Spin down the liquid from the lid with a quick pulse in a table-top centrifuge.
      • Place the tubes on a magnet stand until the fluid is clear. Remove the liquid carefully.
      • Remove the microcentrifuge tube from the magnetic stand.
      • Repeat twice for a total of three washes.
      • Gently resuspend the ConA Beads in a volume of Binding Buffer corresponding to the original volume of bead slurry, i.e. 10 µL per sample.
    • Cell immobilization – binding to Concanavalin A beads
      • Carefully vortex the cell suspension and add 10 µL of the Con A beads in Binding Buffer to the cell suspension for each sample.
      • Close tube tightly and rotate for 10 min at RT.
    • Cell permeabilization and primary antibody binding
      • Divide cell suspension into separate 2 mL microcentrifuge tubes, one for each antibody (250,000 cells per sample).
      • Place the microcentrifuge tubes on a magnetic stand until the fluid is clear. Remove the liquid carefully.
      • Remove the microcentrifuge tubes from the magnetic stand.
      • Place each tube at a low angle on the vortex mixer set to a low speed and add 150 µL Digitonin Wash buffer (wash buffer with 0.025% (wt/vol) Digitonin) supplemented with 2 mM EDTA.
      • Gently vortex the microcentrifuge tubes until the beads are resuspended.
      • o Add 1.5 µL antibody (anti-H3K4me ABIN3023251, anti-H3K27me3 positive control antibody ABIN6923144, or guinea pig anti-rabbit IgG negative control antibody ABIN101961) to the respective tube, corresponding to a 1:100 dilution.
      • Rotate the microcentrifuge tubes ON at 4 °C.
      • Spin down the liquid and place the tubes on a magnet stand until the fluid is clear. Remove the liquid carefully.
      • Remove the microcentrifuge tubes from the magnetic stand.
      • Resuspend with 1 mL Digitonin Wash Buffer and mix by inversion. If clumping occurs, gently remove the clumps with a 1 ml pipette tip.
      • Repeat once for a total of two washes.
    • pA-MNase Binding
      • Place the tubes on a magnet stand until the fluid is clear. Remove the liquid carefully.
      • Remove the microcentrifuge tubes from the magnetic stand.
      • Vortex the sample at low speed and add 150 μL CUTANA pAG-MNase 0.5X (antibodies-online ABIN6950951, 1:40 dilution of a 20X stock in Digitonin Wash Buffer) per sample, gently resuspending the beads by pipetting.
      • Rotate the microcentrifuge tubes for 1 h at 4 °C.
      • Spin down the liquid and place the tubes on a magnet stand until the fluid is clear. Remove the liquid carefully.
      • Remove the microcentrifuge tubes from the magnetic stand.
      • Resuspend with 1 mL Digitonin Wash Buffer and mix by inversion. If clumping occurs, gently remove the clumps with a 1 mL pipette tip.
      • Repeat once for a total of two washes.
    • MNase digestion and release of pA-MNase-antibody-chromatin complexes
      • Spin down the liquid from the lid with a quick pulse in a table-top centrifuge.
      • Place the tubes on a magnet stand until the fluid is clear. Remove the liquid carefully.
      • Place each tube at a low angle on the vortex mixer set to a low speed and add 100 μL Digitonin Wash buffer per sample along the side of the tube.
      • Place tubes in a heat block, kept on ice, and allow to chill.
      • Add 2 μL 0.1 M CaCl2 to each sample.
      • Incubate tubes at 0 °C for 15 min.
      • Add 100 μL 2X STOP buffer (340 mM NaCl, 20 mM EDTA, 4 mM EGTA, 0.05% (wt/vol) Digitonin, 100 μg/mL RNAse A, 50 μg/mL Glycogen).
      • Incubate tubes at 37 °C for 30 min.
      • Place the tubes on a magnet stand until the fluid is clear.
      • Transfer the supernatant containing the pAG-MNase-bound digested chromatin fragments to fresh 1.5 mL microcentrifuge tubes.
    • DNA extraction
      • Add 2 µL 10% SDS to a final concentration of 0.1% and 2.5 µL Proteinase K (20 mg/mL) to a final concentration of 0.25 mg/mL to each supernatant.
      • Gently vortex tubes at a low speed of approximately 1,100 rpm.
      • Incubate tubes at 50 °C for 1 h.
      • Add 200 µL PCI to tube.
      • Vortex tubes thoroughly at high speed until the liquid appears milky.
      • Centrifuge tubes in a tabletop centrifuge at 16,000 x g at RT for 5 min.
      • Carefully transfer to upper aqueous phase to a fresh 1.5 mL microcentrifuge tube containing 2 µL glycogen (diluted 1:10 to 2 mg/mL from the 20 mg/mL stock solution).
      • Add 20 µL 3 M NaOAc pH 5.2.
      • Add 400 µL 100% ethanol.
      • Place tubes for at -20 °C ON.
      • Centrifuge tubes in a tabletop centrifuge at 16,000 x g at 4 °C for 5min.
      • Remove the liquid carefully with a pipette.
      • Wash pellet with 1ml 70% ethanol.
      • Centrifuge tubes in a tabletop centrifuge at 16,000 x g at 4 °C for 1 min.
      • Remove the liquid carefully with a pipette.
      • Air-dry the pellet, then dissolve in 30 µL 1 mM Tris-HCl, 0.1 mM EDTA.
    • Library preparation and sequencing
      • Prepare Libraries using KAPA HyperPrep Kit using KAPA Dual-Indexed adapters according to protocol.
      • Sequence samples on an Illumina NextSeq 500 sequencer, using a NextSeq 500/550 High Output Kit v2.5 (75 Cycles), 36bp PE.
    • Peak calling
      • Trim reads using bbTools bbduk to remove adapters, artifacts and repeat sequences.
      • Aligned reads were mapped to the GRCh38 (hg38) human genome using bowtie2 with options --local --very-sensitive- local --no-unal --no-mixed --no-discordant - X 400.
      • Convert SAM files to BAM files and remove duplicates using SAMtools was used to convert SAM files to BAM files. Produce Bedgraph files with BEDtools genomecov.
      • Call peaks using SEACR against the IgG negative control with the options norm and relaxed.
    Experimental Notes

    The CUT&RUN alignment track was compared to a reference alignment track of ChIP-seq for H3K4me in HEK293 cells obtained from ENCODE (PMID 26527727), experiment ENCSR000FCG, track ENCFF274LAP.

  • 状态

    Liquid

    缓冲液

    PBS with 0.02 % sodium azide,50 % glycerol, pH 7.3.

    储存液

    Sodium azide

    注意事项

    This product contains Sodium azide: a POISONOUS AND HAZARDOUS SUBSTANCE which should be handled by trained staff only.

    注意事项

    Avoid freeze / thaw cycles

    储存条件

    -20 °C

    储存方法

    Store at -20°C. Avoid freeze / thaw cycles.
  • Nordin, Chakraborty, Jonasson, Dano, Zambanini, Pagella, Remeseiro, Cantù: "Wnt signaling activation induces CTCF binding and loop formation at cis-regulatory elements of target genes." in: Genome research, Vol. 35, Issue 8, pp. 1701-1716, (2025) (PubMed).

    Malla, Kumari, García-Prieto, Caroli, Nordin, Phan, Bhattarai, Martinez-Gamero, Dorafshan, Stransky, Álvarez-Errico, Saiki, Lai, Lyu, Lizana, Gilthorpe, Wang, Sidoli, Mateus, Lee, Cantù, Esteller, Mattevi, Roman, Aguilo: "The scaffolding function of LSD1 controls DNA methylation in mouse ESCs." in: Nature communications, Vol. 15, Issue 1, pp. 7758, (2024) (PubMed).

    Zambanini, Nordin, Jonasson, Pagella, Cantù: "A new cut&run low volume-urea (LoV-U) protocol optimized for transcriptional co-factors uncovers Wnt/b-catenin tissue-specific genomic targets." in: Development (Cambridge, England), (2022) (PubMed).

    Zhang, Zhang, Cheng, Liu, Lin, Wu, Zhang, Wang, Wang, Guo, Zhang, Lei, Zhao, Zhu, Wan: "Functional characterization of rice CW-domain containing zinc finger proteins involved in histone recognition." in: Plant science : an international journal of experimental plant biology, Vol. 263, pp. 168-176, (2018) (PubMed).

    Chen, Zhang, Li, Feng, Zhang, Yao, Zhang, Wan: "Celastrol attenuates incision-induced inflammation and pain associated with inhibition of the NF-κB signalling pathway via SARM." in: Life sciences, Vol. 205, pp. 136-144, (2018) (PubMed).

    Cao, Liu, Yue, Liu, Pei, Gu, Wang, Jia: "Iron chelation inhibits cancer cell growth and modulates global histone methylation status in colorectal cancer." in: Biometals : an international journal on the role of metal ions in biology, biochemistry, and medicine, Vol. 31, Issue 5, pp. 797-805, (2018) (PubMed).

  • 抗原

    Histone 3 (H3) (Histone H3 (H3))

    别名

    Histone H3

    背景

    Histones are basic nuclear proteins that are responsible for the nucleosome structure of the chromosomal fiber in eukaryotes. Nucleosomes consist of approximately 146 bp of DNA wrapped around a histone octamer composed of pairs of each of the four core histones (H2A, H2B, H3, and H4). The chromatin fiber is further compacted through the interaction of a linker histone, H1, with the DNA between the nucleosomes to form higher order chromatin structures. This gene is intronless and encodes a replication-dependent histone that is a member of the histone H3 family. Transcripts from this gene lack polyA tails, instead, they contain a palindromic termination element. This gene is located separately from the other H3 genes that are in the histone gene cluster on chromosome 6p22-p21.3.,H3.4,H3/g,H3FT,H3t,HIST3H3,Histone H3,HIST1H3A,Signal Transduction,MAPK-Erk Signaling Pathway,MAPK-P38 Signaling Pathway,Epigenetics & Nuclear Signaling,Epigenetic Modifications,Methylation,Histone H3

    分子量

    15 kDa

    基因ID

    8290

    UniProt

    Q16695
You are here: