电话:
+86 (0512) 65829739
传真:
+86 (010) 6788 5057
电子邮件:
orders@antibodies-online.cn

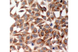
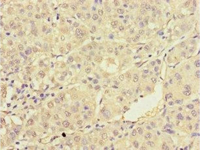
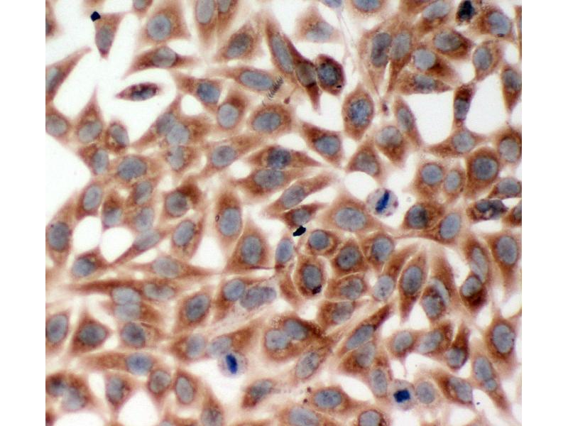
TRAF2 抗体

(TNF Receptor-Associated Factor 2 (TRAF2))
The protein encoded by this gene is a member of the TNF receptor associated factor (TRAF) protein family. TRAF proteins associate with, and mediate the signal transduction from members of the TNF receptor superfamily. This protein directly interacts with TNF receptors, and forms a heterodimeric complex with TRAF1. This protein is required for TNF-alpha-mediated activation of MAPK8/JNK and NF-kappaB. The protein complex formed by this protein and TRAF1 interacts with the inhibitor-of-apoptosis proteins (IAPs), and functions as a mediator of the anti-apoptotic signals from TNF receptors. The interaction of this protein with TRADD, a TNF receptor associated apoptotic signal transducer, ensures the recruitment of IAPs for the direct inhibition of caspase activation. BIRC2/c-IAP1, an apoptosis inhibitor possessing ubiquitin ligase activity, can unbiquitinate and induce the degradation of this protein, and thus potentiate TNF-induced apoptosis. Multiple alternatively spliced transcript variants have been found for this gene, but the biological validity of only one transcript has been determined. [provided by RefSeq, Jul 2008].

109 results

TRAF2 适用: 人 WB, IHC, IP 宿主: 兔 Polyclonal unconjugated
Pubmed 1 reference
产品编号 ABIN3021165
100 μL (More quantities available)
发货至: 中国
获取报价
 
TRAF2 适用: 小鼠 WB, IHC, IP, ICC 宿主: 兔 Polyclonal unconjugated
产品编号 ABIN7443455
100 μL (More quantities available)
发货至: 中国
获取报价
 
Verified TRAF2 适用: 人, 小鼠 WB, IHC, ELISA, IF, FACS 宿主: 山羊 Polyclonal unconjugated
产品编号 ABIN190911
100 μg
发货至: 中国
获取报价
 
TRAF2 适用: 人 IHC, ELISA, ICC, FACS 宿主: 小鼠 Monoclonal 5C2C3 unconjugated
产品编号 ABIN5542488
100 μL
发货至: 中国
获取报价
 
TRAF2 适用: 人 WB, IHC, ELISA, IP, FACS 宿主: 兔 Monoclonal 9A5 unconjugated Recombinant Antibody
产品编号 ABIN7127853
100 μL (More quantities available)
发货至: 中国
获取报价
 
TRAF2 适用: 人 WB, ELISA, FACS 宿主: 小鼠 Monoclonal 4A12D9 unconjugated
产品编号 ABIN5542489
100 μL
发货至: 中国
获取报价
 
TRAF2 适用: 人 WB, ELISA, FACS, IF (cc), IF (p), IHC (fro) 宿主: 兔 Polyclonal unconjugated
Pubmed 1 reference
产品编号 ABIN673479
 
TRAF2 适用: 人 WB, ELISA, PLA 宿主: 小鼠 Monoclonal 4C11 unconjugated
产品编号 ABIN521087
100 μg
发货至: 中国
获取报价
 
TRAF2 适用: 人 IHC, ELISA, IF 宿主: 兔 Polyclonal unconjugated
产品编号 ABIN7172232
100 μg (More quantities available)
发货至: 中国
获取报价
 
TRAF2 适用: 人, 大鼠 WB, IHC, ELISA, IF, ICC 宿主: 兔 Polyclonal unconjugated
产品编号 ABIN6257992
100 μL (More quantities available)
发货至: 中国
获取报价
 
TRAF2 适用: 人, 小鼠, 大鼠 WB, IHC, IHC (p) 宿主: 兔 Polyclonal unconjugated
产品编号 ABIN214009
50 μg
发货至: 中国
获取报价
 
TRAF2 适用: 人 WB, ELISA 宿主: 小鼠 Polyclonal unconjugated
产品编号 ABIN563253
50 μL
发货至: 中国
获取报价
 
TRAF2 适用: 人 WB, PLA 宿主: 兔 Polyclonal unconjugated
产品编号 ABIN521086
100 μg
发货至: 中国
获取报价
 
TRAF2 适用: 人 WB, IP 宿主: 兔 Polyclonal unconjugated
产品编号 ABIN948588
100 μL
发货至: 中国
获取报价
 
TRAF2 适用: 人 WB 宿主: 兔 Monoclonal unconjugated
产品编号 ABIN7270834
100 μL (More quantities available)
发货至: 中国
获取报价
 
TRAF2 适用: 人, 小鼠, 大鼠 WB, IHC, ELISA, IF, ICC 宿主: 兔 Polyclonal unconjugated
产品编号 ABIN6265703
100 μL (More quantities available)
发货至: 中国
获取报价
 
TRAF2 适用: 人 WB, FACS 宿主: 兔 Monoclonal 24GB2090 unconjugated Recombinant Antibody
产品编号 ABIN7800564
100 μL
发货至: 中国
获取报价
 
TRAF2 适用: 人 WB, FACS 宿主: 兔 Monoclonal 24GB1760 unconjugated Recombinant Antibody
产品编号 ABIN7800563
100 μL
发货至: 中国
获取报价
 
TRAF2 适用: 人, 小鼠, 大鼠 WB, IHC, ICC 宿主: 兔 Polyclonal unconjugated
产品编号 ABIN3044047
 
TRAF2 适用: 人, 小鼠, 大鼠 WB, IHC, IP 宿主: 兔 Polyclonal unconjugated
产品编号 ABIN7308436
100 μL (More quantities available)
发货至: 中国
获取报价
 
  • 类型 Primary
    • Primary
  • 应用范围
    • Western Blotting (WB)
    • Flow Cytometry (FACS)
    • Immunohistochemistry (IHC)
    • Immunoprecipitation (IP)
    • Immunofluorescence (IF)
    • ELISA
    • Immunocytochemistry (ICC)
    • Immunofluorescence (Cultured Cells) (IF (cc))
    • Immunofluorescence (Paraffin-embedded Sections) (IF (p))
    • Immunohistochemistry (Paraffin-embedded Sections) (IHC (p))
    • Enzyme Immunoassay (EIA)
    • Immunohistochemistry (Frozen Sections) (IHC (fro))
    • Proximity Ligation Assay (PLA)
    • Immunohistochemistry (Formalin-fixed Paraffin-embedded Sections) (IHC (fp))
    • Immunofluorescence (fixed cells) (IF/ICC)
  • 适用
    • Human
    • Mouse
    • Rat
    • Chicken
    • Guinea Pig
  • 论文引用
  • 图像
  • 仅无防腐剂
  • Carrier free only
  • 抗体来源
    • Rabbit
    • Mouse
    • Goat
    • Rat
  • 克隆形成能力
    • Polyclonal
    • Monoclonal
  • 克隆
    • 214CT16-3-4
    • 4C11
    • 24GB1760
    • 24GB2090
    • 25GB7495
    • 33A1293
    • 4A12D9
    • 4C4
    • 5C2C3
    • 6F8
    • 9A5
    • HOG-20
    • RB13076
  • 抗原表位
    • AA 401-501
    • AA 343-372
    • C-Term
    • AA 1-501
    • AA 147-281
    • AA 261-360
    • AA 39-188
    • N-Term
    • AA 175-225
    • AA 300-350
    • AA 1-300
    • AA 180-230
    • AA 205-222
    • AA 238-491
    • AA 250-271
    • AA 305-325
    • Middle Region
    • Ser11
  • 标记
    • 非结合性
    • Biotin
    • FITC
    • HRP
    • Alexa Fluor 488
    • Alexa Fluor 555
    • Alexa Fluor 594
    • Alexa Fluor 647
    • Alexa Fluor 680
    • Alexa Fluor 750
    • PE
    • APC
    • Alexa Fluor 350
    • Alexa Fluor 405
    • AbBy Fluor® 350
    • AbBy Fluor® 488
    • AbBy Fluor® 555
    • AbBy Fluor® 594
    • AbBy Fluor® 647
    • AbBy Fluor® 680
    • AbBy Fluor® 750
    • Cy3
    • Cy5
    • Cy5.5
    • Cy7
  • 抗体亚型
    • IgG
    • IgG1 kappa
    • Ig Fraction
    • IgG1
    • IgG2a
    • IgG2b
    • IgG2a kappa
  • 蛋白类型
    • Recombinant Antibody
  • Format
    • Liquid
    • Lyophilized
  • Grade
    • Verified
  • Supplier
    • antibodies-online
    • Signalway
    • Acris
    • Cohesion Biosciences
    • Abbexa
    • Boster Bio
    • USBio
    • Abcepta
    • Covalab
    • NSJ Bioreagents

Latest Publications for our TRAF2 抗体

Wang, Cheng, Peng, Gao, Xi, Rousseaux, Khochbin, Wang, Mi: "Combination of arsenic trioxide and Dasatinib: a new strategy to treat Philadelphia chromosome-positive acute lymphoblastic leukaemia." in: Journal of cellular and molecular medicine, Vol. 22, Issue 3, pp. 1614-1626, (2018) (PubMed).

Akhtar, Singh, Ahmed: "MicroRNA-17 Suppresses TNF-α Signaling by Interfering with TRAF2 and cIAP2 Association in Rheumatoid Arthritis Synovial Fibroblasts." in: Journal of immunology (Baltimore, Md. : 1950), Vol. 197, Issue 6, pp. 2219-28, (2017) (PubMed).

Döppler, Liou, Storz: "Downregulation of TRAF2 mediates NIK-induced pancreatic cancer cell proliferation and tumorigenicity." in: PLoS ONE, Vol. 8, Issue 1, pp. e53676, (2013) (PubMed).

Lei, Bai, Yang, Lai, Qiu, Yang, Lian: "Gsdma3 is a new factor needed for TNF-?-mediated apoptosis signal pathway in mouse skin keratinocytes." in: Histochemistry and cell biology, Vol. 138, Issue 3, pp. 385-96, (2012) (PubMed).

DAgostino, Giordano: "A novel dual signaling axis for NSP 5a3a induced apoptosis in head and neck carcinoma." in: Oncotarget, Vol. 2, Issue 12, pp. 1055-74, (2012) (PubMed).

Shanmugam, Kusumanchi, Cheng, Crooks, Neelakantan, Matthews, Nakshatri, Sweeney: "A water-soluble parthenolide analogue suppresses in vivo prostate cancer growth by targeting NFkappaB and generating reactive oxygen species." in: The Prostate, Vol. 70, Issue 10, pp. 1074-86, (2010) (PubMed).

van Galen, Muris, Giroth, Vos, Ossenkoppele, Meijer, Oudejans: "Expression of TNF-receptor associated factor 2 correlates with poor progression-free survival time in ABC-like primary nodal diffuse large B-cell lymphomas." in: Histopathology, Vol. 52, Issue 5, pp. 578-84, (2008) (PubMed).

Morrison, Bauer, Lupica, Tang, Schmidt, DiDonato, Lindner: "Effect of inositol hexakisphosphate kinase 2 on transforming growth factor beta-activated kinase 1 and NF-kappaB activation." in: The Journal of biological chemistry, Vol. 282, Issue 21, pp. 15349-56, (2007) (PubMed).

Merluzzi, DOrlando, Leonardi, Vitale, Pucillo: "TRAF2 and p38 are involved in B cells CD40-mediated APE/Ref-1 nuclear translocation: a novel pathway in B cell activation." in: Molecular immunology, Vol. 45, Issue 1, pp. 76-86, (2007) (PubMed).

Mainou, Everly, Raab-Traub: "Unique signaling properties of CTAR1 in LMP1-mediated transformation." in: Journal of virology, Vol. 81, Issue 18, pp. 9680-92, (2007) (PubMed).

Aliases for TRAF2 抗体

TNF-receptor-associated factor 2 (LOC661716) 抗体
conjugal transfer protein TraF (traF2) 抗体
TNF receptor associated factor 2 (TRAF2) 抗体
TNF receptor-associated factor 2 (Traf2) 抗体
Tnf receptor-associated factor 2 (Traf2) 抗体
AI325259 抗体
MGC:45012 抗体
TANK 抗体
TRAP 抗体
TRAP3 抗体
You are here: