电话:
+86 (0512) 65829739
传真:
+86 (010) 6788 5057
电子邮件:
orders@antibodies-online.cn

POU2AF1 抗体

(POU Class 2 Associating Factor 1 (POU2AF1))
Transcriptional coactivator that specifically associates with either OCT1 or OCT2. It boosts the OCT1 mediated promoter activity and to a lesser extent, that of OCT2. It has no intrinsic DNA-binding activity. It recognizes the POU domains of OCT1 and OCT2. It is essential for the response of B-cells to antigens and required for the formation of germinal centers.

123 results

POU2AF1 适用: 人 WB, IHC, FACS, IF, StM 宿主: 小鼠 Monoclonal BOB1-2424 unconjugated
产品编号 ABIN6940356
100 μg (More quantities available)
发货至: 中国
获取报价
 
POU2AF1 适用: 人 WB, IHC, FACS, StM 宿主: 小鼠 Monoclonal BOB1-2421 unconjugated
产品编号 ABIN6940353
100 μg (More quantities available)
发货至: 中国
获取报价
 
Verified POU2AF1 适用: 人, 大鼠, 小鼠 WB, ELISA 宿主: 山羊 Polyclonal unconjugated
产品编号 ABIN184851
100 μg
发货至: 中国
获取报价
 
POU2AF1 适用: 人 WB, IHC, ELISA 宿主: 兔 Monoclonal 4A5 unconjugated Recombinant Antibody
产品编号 ABIN7127370
100 μL (More quantities available)
发货至: 中国
获取报价
 
POU2AF1 适用: 人 WB, FACS, IHC (p) 宿主: 兔 Polyclonal RB22378 unconjugated
产品编号 ABIN653040
400 μL (More quantities available)
发货至: 中国
获取报价
 
Verified POU2AF1 适用: 人 WB, IHC, ELISA 宿主: 山羊 Polyclonal unconjugated
产品编号 ABIN768553
100 μg
发货至: 中国
获取报价
 
POU2AF1 适用: 人 IHC, ELISA 宿主: 小鼠 Monoclonal unconjugated
产品编号 ABIN7180562
100 μL (More quantities available)
发货至: 中国
获取报价
 
POU2AF1 适用: 人, 大鼠, 小鼠 WB, ELISA, IF, ICC 宿主: 兔 Polyclonal unconjugated
产品编号 ABIN6264360
100 μL (More quantities available)
发货至: 中国
获取报价
 
POU2AF1 适用: 人 WB, FACS 宿主: 兔 Monoclonal 25GB1715 unconjugated Recombinant Antibody
产品编号 ABIN7799887
100 μL
发货至: 中国
获取报价
 
POU2AF1 适用: 人 WB, FACS 宿主: 小鼠 Monoclonal 24GB13345 unconjugated
产品编号 ABIN7799886
100 μL
发货至: 中国
获取报价
 
POU2AF1 适用: 人 WB, FACS, IHC (p), EIA 宿主: 兔 Polyclonal unconjugated
产品编号 ABIN954253
0.4 mL
发货至: 中国
获取报价
 
POU2AF1 适用: 人 WB 宿主: 小鼠 Monoclonal 7C1 unconjugated
产品编号 ABIN4913162
 
POU2AF1 适用: 人 WB, ELISA 宿主: 小鼠 Polyclonal unconjugated
产品编号 ABIN562318
50 μL
发货至: 中国
获取报价
 
POU2AF1 适用: 人 WB 宿主: 兔 Polyclonal unconjugated
产品编号 ABIN6145978
100 μL (More quantities available)
发货至: 中国
获取报价
 
POU2AF1 适用: 大鼠, 小鼠 WB, IHC 宿主: 兔 Polyclonal unconjugated
产品编号 ABIN3044424
 
POU2AF1 适用: 人, 大鼠, 小鼠 WB 宿主: 兔 Polyclonal unconjugated
产品编号 ABIN7308200
100 μL (More quantities available)
发货至: 中国
获取报价
 
POU2AF1 适用: 人 WB, IF, IHC (p), ICC 宿主: 兔 Monoclonal B12H9 unconjugated
产品编号 ABIN7091536
 
POU2AF1 适用: 人 WB, IF (cc), IF (p) 宿主: 兔 Polyclonal AbBy Fluor® 750
产品编号 ABIN4997547
 
POU2AF1 适用: 人 WB, IF (cc), IF (p) 宿主: 兔 Polyclonal AbBy Fluor® 680
产品编号 ABIN4997546
 
POU2AF1 适用: 大鼠 IF (cc), IF (p) 宿主: 兔 Polyclonal AbBy Fluor® 750
产品编号 ABIN4997545
 
  • 类型 Primary
    • Primary
  • 应用范围
    • Western Blotting (WB)
    • Immunohistochemistry (IHC)
    • Flow Cytometry (FACS)
    • ELISA
    • Immunofluorescence (Cultured Cells) (IF (cc))
    • Immunofluorescence (Paraffin-embedded Sections) (IF (p))
    • Immunohistochemistry (Formalin-fixed Paraffin-embedded Sections) (IHC (fp))
    • Immunofluorescence (IF)
    • Immunohistochemistry (Paraffin-embedded Sections) (IHC (p))
    • Immunocytochemistry (ICC)
    • Immunoprecipitation (IP)
    • Immunohistochemistry (Frozen Sections) (IHC (fro))
    • Enzyme Immunoassay (EIA)
    • Immunohistochemistry (Formalin-fixed Sections) (IHC (f))
    • Staining Methods (StM)
  • 适用
    • Human
    • Rat
    • Mouse
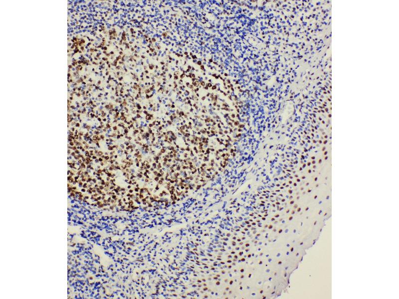
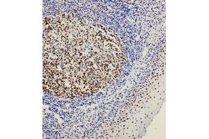
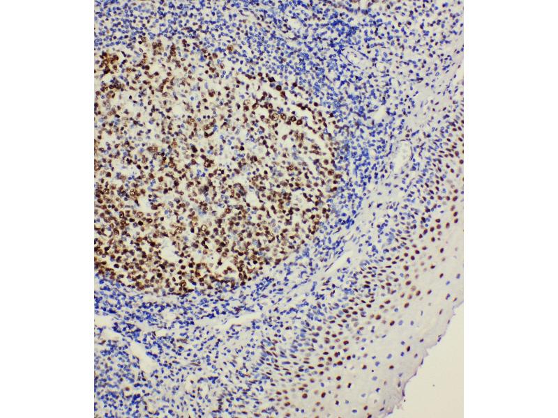
  • 图像
  • 仅无防腐剂
  • Carrier free only
  • 抗体来源
    • Rabbit
    • Mouse
    • Goat
  • 克隆形成能力
    • Polyclonal
    • Monoclonal
  • 克隆
    • BOB1-2421
    • BOB1-2424
    • 24GB13345
    • 25GB1715
    • 4A5
    • 4B8
    • 7C1
    • A144
    • A428
    • ADEH-16
    • B12H9
    • OTI3B9
    • RB22378
    • RM378
  • 抗原表位
    • AA 148-255
    • AA 1-100
    • AA 21-130
    • AA 1-27
    • AA 1-256
    • C-Term
    • N-Term
    • AA 201-250
    • AA 238-256
    • AA 159-255
    • AA 7-36
  • 标记
    • 非结合性
    • Biotin
    • FITC
    • HRP
    • Alexa Fluor 488
    • Alexa Fluor 555
    • Alexa Fluor 594
    • Alexa Fluor 647
    • Alexa Fluor 680
    • Alexa Fluor 750
    • APC
    • AbBy Fluor® 350
    • AbBy Fluor® 488
    • AbBy Fluor® 555
    • AbBy Fluor® 594
    • AbBy Fluor® 647
    • AbBy Fluor® 680
    • AbBy Fluor® 750
    • Alexa Fluor 350
    • Alexa Fluor 405
    • CF®405S
    • CF®488A
    • CF®568
    • CF®594
    • CF®640R
    • CF®647
    • CF®740
    • Cy3
    • Cy5
    • Cy5.5
    • Cy7
    • PE
  • 抗体亚型
    • IgG
    • kappa
    • IgG2b
    • IgG2b kappa
    • IgG1
    • Ig Fraction
    • IgG2a
  • 蛋白类型
    • Recombinant Antibody
  • Format
    • Liquid
    • Lyophilized
  • Grade
    • Verified
  • Supplier
    • antibodies-online
    • Signalway
    • Biotium
    • Cohesion Biosciences
    • USBio
    • Boster Bio
    • OriGene
    • Abbexa
    • Abcepta
    • Acris
    • Assay Biotechnology Company, Inc.
    • RevMAb Biosciences

Latest Publications for our POU2AF1 抗体

Galiègue-Zouitina, Quief, Hildebrand, Denis, Lecocq, Collyn-dHooghe, Bastard, Yuille, Dyer, Kerckaert: "Fusion of the LAZ3/BCL6 and BOB1/OBF1 genes by t(3; 11) (q27; q23) chromosomal translocation." in: Comptes rendus de l'Académie des sciences. Série III, Sciences de la vie, Vol. 318, Issue 11, pp. 1125-31, (1996) (PubMed).

Luo, Roeder: "Cloning, functional characterization, and mechanism of action of the B-cell-specific transcriptional coactivator OCA-B." in: Molecular and cellular biology, Vol. 15, Issue 8, pp. 4115-24, (1995) (PubMed).

Strubin, Newell, Matthias: "OBF-1, a novel B cell-specific coactivator that stimulates immunoglobulin promoter activity through association with octamer-binding proteins." in: Cell, Vol. 80, Issue 3, pp. 497-506, (1995) (PubMed).

Aliases for POU2AF1 抗体

POU class 2 associating factor 1 (POU2AF1) 抗体
POU class 2 associating factor 1 (Pou2af1) 抗体
POU domain, class 2, associating factor 1 (Pou2af1) 抗体
BOB-1 抗体
Bob-1 抗体
BOB.1 抗体
BOB1 抗体
Bob1 抗体
OBF-1 抗体
OBF.1 抗体
OBF1 抗体
OCA-B 抗体
OCAB 抗体
You are here: