电话:
+86 (0512) 65829739
传真:
+86 (010) 6788 5057
电子邮件:
orders@antibodies-online.cn

POU2AF1 抗体

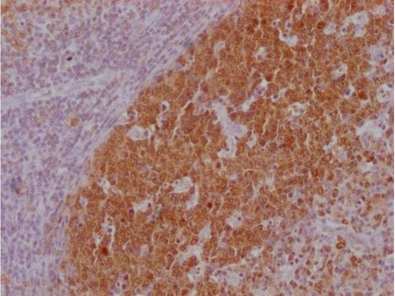
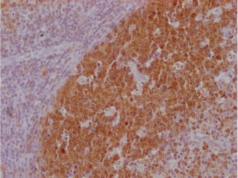
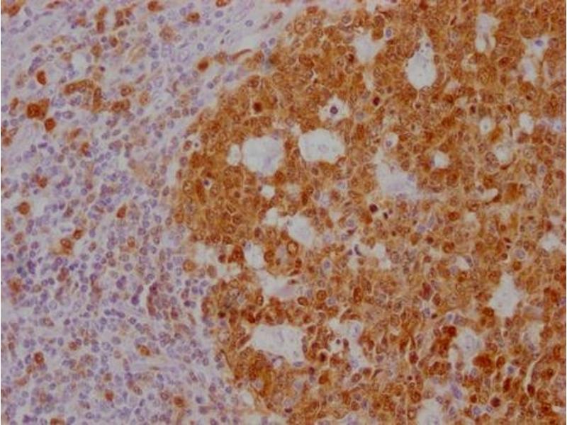
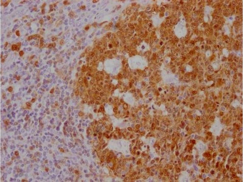
This 小鼠 单克隆 antibody specifically detects POU2AF1 in IHC 和 ELISA. It exhibits reactivity toward 人.
产品编号 ABIN7180562
发货至: 中国
Contact our Customer Service for availability and price in your country. Contact Info

Our Local Distributor

中国
北京 101111
No. 88 KeChuang 6th Street
Beijing Economic Technological Development Area
Room 801-803
4A Biotech Co.,Ltd.
Tel +86 (0512) 65829739 传真 +86 (010) 6788 5057

Quick Overview for POU2AF1 抗体 (ABIN7180562)

抗原

See all POU2AF1 抗体
POU2AF1 (POU Class 2 Associating Factor 1 (POU2AF1))

适用

  • 105
  • 21
  • 7

宿主

  • 89
  • 31
  • 2
小鼠

克隆类型

  • 65
  • 57
单克隆

标记

  • 43
  • 8
  • 6
  • 4
  • 3
  • 3
  • 3
  • 3
  • 3
  • 3
  • 2
  • 2
  • 2
  • 2
  • 2
  • 2
  • 2
  • 2
  • 2
  • 2
  • 2
  • 2
  • 2
  • 2
  • 2
  • 2
  • 2
  • 2
  • 2
  • 2
  • 2
  • 1
This POU2AF1 antibody is un-conjugated

应用范围

  • 92
  • 61
  • 48
  • 27
  • 26
  • 26
  • 20
  • 15
  • 14
  • 12
  • 12
  • 6
  • 2
  • 2
  • 2
Immunohistochemistry (IHC), ELISA
You are here: