电话:
+86 (0512) 65829739
传真:
+86 (010) 6788 5057
电子邮件:
orders@antibodies-online.cn

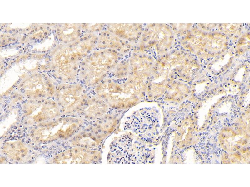
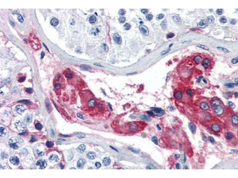
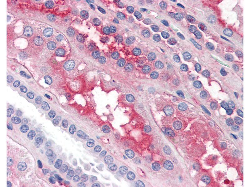
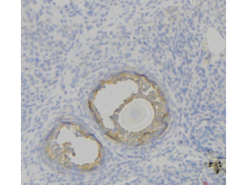
F12 抗体

(Coagulation Factor XII (F12))
This gene encodes coagulation factor XII which circulates in blood as a zymogen. This single chain zymogen is converted to a two-chain serine protease with an heavy chain (alpha-factor XIIa) and a light chain. The heavy chain contains two fibronectin-type domains, two epidermal growth factor (EGF)-like domains, a kringle domain and a proline-rich domain, whereas the light chain contains only a catalytic domain. On activation, further cleavages takes place in the heavy chain, resulting in the production of beta-factor XIIa light chain and the alpha-factor XIIa light chain becomes beta-factor XIIa heavy chain. Prekallikrein is cleaved by factor XII to form kallikrein, which then cleaves factor XII first to alpha-factor XIIa and then to beta-factor XIIa. The active factor XIIa participates in the initiation of blood coagulation, fibrinolysis, and the generation of bradykinin and angiotensin. It activates coagulation factors VII and XI. Defects in this gene do not cause any clinical symptoms and the sole effect is that whole-blood clotting time is prolonged. [provided by RefSeq, Jul 2008].

84 results

F12 适用: 人 WB, IHC, IP, ICC 宿主: 兔 Polyclonal unconjugated
产品编号 ABIN7432373
100 μL (More quantities available)
发货至: 中国
获取报价
 
F12 适用: 小鼠 WB, IHC, IP, ICC 宿主: 兔 Polyclonal unconjugated
产品编号 ABIN7432376
100 μL (More quantities available)
发货至: 中国
获取报价
 
F12 适用: 人 ELISA, IHC, IP, IHC (p), IEP 宿主: 山羊 Polyclonal unconjugated
产品编号 ABIN364435
50 μg
发货至: 中国
获取报价
 
F12 适用: 人, 大鼠 WB, ELISA, IHC, ICC, IF 宿主: 兔 Polyclonal unconjugated
产品编号 ABIN6261640
100 μL (More quantities available)
发货至: 中国
获取报价
 
F12 适用: 人 WB, ELISA, PLA 宿主: 小鼠 Monoclonal 3A3 unconjugated
产品编号 ABIN560829
100 μg
发货至: 中国
获取报价
 
F12 适用: 人, 小鼠 WB 宿主: 兔 Polyclonal unconjugated
产品编号 ABIN7259454
200 μL (More quantities available)
发货至: 中国
获取报价
 
F12 适用: 人 IP, IEP 宿主: 山羊 Polyclonal unconjugated
Pubmed 1 reference
产品编号 ABIN458009
1 mL
发货至: 中国
获取报价
 
F12 适用: 人 ELISA, IHC 宿主: 兔 Polyclonal unconjugated
产品编号 ABIN7147997
100 μg (More quantities available)
发货至: 中国
获取报价
 
F12 适用: 人 WB, ELISA 宿主: 兔 Polyclonal unconjugated
产品编号 ABIN7186683
100 μg (More quantities available)
发货至: 中国
获取报价
 
F12 适用: 人, 猴 WB 宿主: 兔 Polyclonal unconjugated
产品编号 ABIN6741747
100 μL
发货至: 中国
获取报价
 
F12 适用: 人 WB, ELISA, IHC 宿主: 兔 Polyclonal unconjugated
产品编号 ABIN1853534
100 μL (More quantities available)
发货至: 中国
获取报价
 
F12 适用: 人 ELISA, IP, IHC (p) 宿主: 山羊 Polyclonal unconjugated
产品编号 ABIN1734212
50 μg
发货至: 中国
获取报价
 
F12 适用: 人 IP, IHC (p), EIA 宿主: 山羊 Polyclonal unconjugated
产品编号 ABIN614924
50 μg
发货至: 中国
获取报价
 
F12 适用: 人, 小鼠 WB, IHC 宿主: 兔 Polyclonal unconjugated
产品编号 ABIN7303398
100 μL (More quantities available)
发货至: 中国
获取报价
 
F12 适用: 人, 小鼠, 大鼠 WB, IF (p) 宿主: 兔 Polyclonal AbBy Fluor® 594
产品编号 ABIN2813028
 
F12 适用: 人 ELISA 宿主: 小鼠 Monoclonal 802 unconjugated
产品编号 ABIN235131
0.25 mg
发货至: 中国
获取报价
 
F12 适用: 人 WB, ELISA, IP, IEP, Neut, IDe 宿主: 山羊 Polyclonal unconjugated
产品编号 ABIN7536714
5 mg
发货至: 中国
获取报价
 
F12 适用: 人 WB, ELISA, FACS, IA 宿主: 山羊 Polyclonal HRP
产品编号 ABIN7536716
0.2 mg
发货至: 中国
获取报价
 
F12 适用: 大鼠 WB, IHC, IP, ICC 宿主: 兔 Polyclonal unconjugated
产品编号 ABIN7637115
100 μL (More quantities available)
发货至: 中国
获取报价
 
F12 适用: 人 WB, ELISA, IHC 宿主: 兔 Polyclonal unconjugated
产品编号 ABIN7568764
100 μg
发货至: 中国
获取报价
 
  • 类型 Primary
    • Primary
  • 应用范围
    • ELISA
    • Western Blotting (WB)
    • Immunohistochemistry (IHC)
    • Immunoprecipitation (IP)
    • Enzyme Immunoassay (EIA)
    • Immunocytochemistry (ICC)
    • Immunoelectrophoresis (IEP)
    • Immunohistochemistry (Paraffin-embedded Sections) (IHC (p))
    • Functional Studies (Func)
    • Immunodiffusion (ID)
    • Immunofluorescence (IF)
    • Neutralization (Neut)
    • Radioimmunoassay (RIA)
    • Flow Cytometry (FACS)
    • Immunoassay (IA)
    • Immunochromatography (IC)
    • Immunodepletion (IDe)
    • Immunofluorescence (Paraffin-embedded Sections) (IF (p))
    • Proximity Ligation Assay (PLA)
    • Immunofluorescence (fixed cells) (IF/ICC)
  • 适用
    • Human
    • Mouse
    • Rat
    • Pig
    • Monkey
  • 论文引用
  • 图像
  • 仅无防腐剂
  • Carrier free only
  • 抗体来源
    • Rabbit
    • Mouse
    • Goat
    • Sheep
  • 克隆形成能力
    • Polyclonal
    • Monoclonal
  • 克隆
    • 802
    • 1-B-694
    • 3A3
    • 4E7
    • OTI1H5
    • OTI2D12
    • OTI5A6
    • RB24396
  • 抗原表位
    • AA 9-38
    • N-Term
    • AA 7-34
    • Light Chain
    • AA 20-371
    • AA 486-600
    • Heavy Chain
    • AA 73-372
    • AA 400-615
    • Center
    • Cleaved-Ile20
    • cleaved
    • AA 1-50
    • AA 13-43
    • AA 191-300
    • AA 20-353
    • AA 316-615
    • AA 320-615
    • AA 323-372
    • AA 352-587
    • C-Term
    • Cleaved-Arg372
    • Internal Region
    • full length
  • 标记
    • 非结合性
    • Biotin
    • FITC
    • HRP
    • APC
    • PE
    • AbBy Fluor® 594
    • Alexa Fluor 488
    • Alexa Fluor 555
    • Alexa Fluor 594
    • Alexa Fluor 647
    • Alexa Fluor 680
    • Alexa Fluor 750
  • 抗体亚型
    • IgG
    • IgG1
    • Ig Fraction
    • IgG2a
    • IgG2b
  • Format
    • Liquid
    • Lyophilized
  • Supplier
    • antibodies-online
    • Signalway
    • USBio
    • Abbexa
    • Acris
    • Cohesion Biosciences
    • OriGene
    • Assay Biotechnology Company, Inc.
    • Assaypro
    • QED Bioscience
    • Abcepta
    • Biomatik
    • Covalab
    • ProSci
    • ProteoGenix
    • RayBiotech

Latest Publications for our F12 抗体

Labberton, Kenne, Long, Nickel, Di Gennaro, Rigg, Hernandez, Butler, Maas, Stavrou, Renné: "Neutralizing blood-borne polyphosphate in vivo provides safe thromboprotection." in: Nature communications, Vol. 7, pp. 12616, (2018) (PubMed).

Kato, Nicholson, Neiman, Rantalainen, Holmes, Barrett, Uhlén, Nilsson, Spector, Schwenk: "Variance decomposition of protein profiles from antibody arrays using a longitudinal twin model." in: Proteome science, Vol. 9, pp. 73, (2011) (PubMed).

Aliases for F12 抗体

coagulation factor XII (F12) 抗体
coagulation factor XII (Hageman factor) (F12) 抗体
FXII 抗体
HAE3 抗体
HAEX 抗体
HAF 抗体
You are here: