电话:
+86 (0512) 65829739
传真:
+86 (010) 6788 5057
电子邮件:
orders@antibodies-online.cn

CTNND1 抗体

(Catenin (Cadherin-Associated Protein), delta 1 (CTNND1))
This gene encodes a member of the Armadillo protein family, which function in adhesion between cells and signal transduction. Multiple translation initiation codons and alternative splicing result in many different isoforms being translated. Not all of the full-length natures of the described transcript variants have been determined. Read-through transcription also exists between this gene and the neighboring upstream thioredoxin-related transmembrane protein 2 (TMX2) gene. [provided by RefSeq, Dec 2010].

164 results

CTNND1 适用: 人 WB, IHC, IP 宿主: 兔 Monoclonal unconjugated
产品编号 ABIN7266144
100 μL (More quantities available)
发货至: 中国
获取报价
 
CTNND1 适用: 人 WB, IHC 宿主: 兔 Polyclonal unconjugated
产品编号 ABIN3022309
100 μL (More quantities available)
发货至: 中国
获取报价
 
KD Validated CTNND1 适用: 人 WB, IF (p), FACS 宿主: 兔 Monoclonal 23GB3025 unconjugated Recombinant Antibody
产品编号 ABIN7797934
100 μL
发货至: 中国
获取报价
 
KD Validated CTNND1 适用: 人 WB, FACS 宿主: 小鼠 Monoclonal 24GB5775 unconjugated
产品编号 ABIN7797933
100 μL
发货至: 中国
获取报价
 
CTNND1 适用: 人 WB, ELISA 宿主: 兔 Polyclonal unconjugated
产品编号 ABIN7189533
100 μg (More quantities available)
发货至: 中国
获取报价
 
CTNND1 适用: 人, 小鼠, 大鼠 WB, ELISA, IHC, IF, FACS, ICC 宿主: 兔 Polyclonal unconjugated
产品编号 ABIN7602221
 
CTNND1 适用: 人, 小鼠, 大鼠 WB, IHC, IF, ICC 宿主: 小鼠 Monoclonal 8G7E4 unconjugated
产品编号 ABIN7602220
 
CTNND1 适用: 人 WB, ELISA, IHC 宿主: 兔 Polyclonal unconjugated
产品编号 ABIN7179986
100 μL
发货至: 中国
获取报价
 
CTNND1 适用: 人 ELISA, IHC, IF 宿主: 兔 Polyclonal unconjugated
产品编号 ABIN7146988
100 μg (More quantities available)
发货至: 中国
获取报价
 
CTNND1 适用: 人, 小鼠, 大鼠 WB, ELISA, IHC, IF, ICC 宿主: 兔 Polyclonal unconjugated
产品编号 ABIN6261096
100 μL (More quantities available)
发货至: 中国
获取报价
 
CTNND1 适用: 人, 小鼠, 大鼠 WB, ELISA, IHC, IF 宿主: 兔 Polyclonal unconjugated
产品编号 ABIN3182796
100 μL (More quantities available)
发货至: 中国
获取报价
 
CTNND1 适用: 人 WB, IF 宿主: 兔 Polyclonal unconjugated
产品编号 ABIN947753
100 μg
发货至: 中国
获取报价
 
CTNND1 适用: 人 WB, ELISA, IHC, IF 宿主: 兔 Polyclonal unconjugated
产品编号 ABIN7182204
100 μg (More quantities available)
发货至: 中国
获取报价
 
CTNND1 适用: 人 WB, FACS 宿主: 兔 Monoclonal 23GB3880 unconjugated Recombinant Antibody
产品编号 ABIN7797935
100 μL
发货至: 中国
获取报价
 
CTNND1 适用: 人, 小鼠, 大鼠 WB, ELISA, IHC, IF 宿主: 兔 Polyclonal unconjugated
产品编号 ABIN1531570
100 μL (More quantities available)
发货至: 中国
获取报价
 
CTNND1 适用: 人, 小鼠, 大鼠, 豚鼠, 犬, 兔, 马, Pig, Cow WB 宿主: 兔 Polyclonal unconjugated
Pubmed 1 reference
产品编号 ABIN2784675
100 μL (More quantities available)
发货至: 中国
获取报价
 
CTNND1 适用: 人, 小鼠 WB, ELISA, IF (p), IF (cc), IHC (p), FACS, ICC, IHC (fro) 宿主: 兔 Polyclonal unconjugated
产品编号 ABIN1386132
 
CTNND1 适用: 人 WB, ELISA, IHC, IF, IP 宿主: 兔 Polyclonal unconjugated
产品编号 ABIN3183653
100 μL (More quantities available)
发货至: 中国
获取报价
 
CTNND1 适用: 人, 小鼠, 大鼠 WB, ELISA, IHC 宿主: 兔 Polyclonal unconjugated
产品编号 ABIN3186233
100 μL (More quantities available)
发货至: 中国
获取报价
 
CTNND1 适用: 人, 小鼠, 大鼠 ELISA, IF, FACS, Coat 宿主: 小鼠 Monoclonal 25a unconjugated
产品编号 ABIN6939213
100 μg (More quantities available)
发货至: 中国
获取报价
 
  • 类型 Primary
    • Primary
  • 应用范围
    • Western Blotting (WB)
    • Immunofluorescence (Paraffin-embedded Sections) (IF (p))
    • Immunofluorescence (Cultured Cells) (IF (cc))
    • ELISA
    • Immunofluorescence (IF)
    • Immunohistochemistry (IHC)
    • Flow Cytometry (FACS)
    • Immunohistochemistry (Paraffin-embedded Sections) (IHC (p))
    • Immunocytochemistry (ICC)
    • Immunohistochemistry (Frozen Sections) (IHC (fro))
    • Immunoprecipitation (IP)
    • Immunohistochemistry (Formalin-fixed Sections) (IHC (f))
    • Immunohistochemistry (Formalin-fixed Paraffin-embedded Sections) (IHC (fp))
    • Immunochromatography (IC)
    • Coating (Coat)
  • 适用
    • Human
    • Mouse
    • Rat
    • Guinea Pig
    • Horse
    • Pig
    • Rabbit
    • Cow
    • Dog
    • Monkey
    • Bat
    • Drosophila melanogaster
  • 论文引用
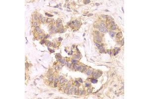
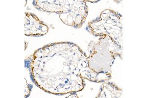
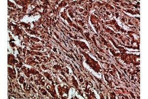
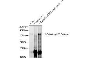
  • 图像
  • 仅无防腐剂
  • Carrier free only
  • 抗体来源
    • Rabbit
    • Mouse
  • 克隆形成能力
    • Polyclonal
    • Monoclonal
  • 克隆
    • 25a
    • 15D2
    • 23GB3025
    • 23GB3880
    • 24GB5775
    • 32C33
    • 3F8
    • 5F3
    • 8C56
    • 8G7E4
    • G9H8
    • GI-3
    • PT0385R
    • R01-4G3
    • RM353
  • 抗原表位
    • pTyr228
    • AA 651-750
    • pThr310
    • pTyr280
    • pTyr96
    • pTyr257
    • AA 387-416
    • AA 482-605
    • C-Term
    • N-Term
    • AA 75-125
    • AA 1-610
    • AA 625-675
    • AA 64-930
    • Tyr228
    • AA 1-80
    • AA 100-300
    • AA 107-156
    • AA 138-276
    • AA 201-250
    • AA 31-875
    • AA 367-601
    • AA 470-712
    • AA 573-832
    • AA 827-876
    • AA 841-890
    • AA 868-968
    • AA 900-1000
    • Gly224
    • Ser294
    • Tyr174
    • pSer268
    • pThr916
    • pTyr165
    • pTyr249
  • 标记
    • 非结合性
    • Biotin
    • FITC
    • HRP
    • AbBy Fluor® 350
    • AbBy Fluor® 488
    • AbBy Fluor® 555
    • AbBy Fluor® 594
    • AbBy Fluor® 647
    • AbBy Fluor® 680
    • AbBy Fluor® 750
    • Cy3
    • Cy5
    • Cy5.5
    • Cy7
    • Alexa Fluor 488
    • Alexa Fluor 555
    • Alexa Fluor 594
    • Alexa Fluor 647
    • Alexa Fluor 680
    • Alexa Fluor 750
    • PE
    • APC
    • CF®405S
    • CF®488A
    • CF®568
    • CF®594
    • CF®640R
    • CF®647
    • CF®740
  • 抗体亚型
    • IgG
    • IgG1 kappa
    • IgG1
    • IgG2b
    • kappa
  • 蛋白类型
    • Recombinant Antibody
  • Format
    • Liquid
    • Lyophilized
  • Grade
    • KD Validated
    • KO Validated
  • Supplier
    • antibodies-online
    • Signalway
    • Biotium
    • Boster Bio
    • Abbexa
    • Cohesion Biosciences
    • Aviva Systems Biology
    • USBio
    • Assay Biotechnology Company, Inc.
    • Biomatik
    • ProteoGenix
    • RevMAb Biosciences

Latest Publications for our CTNND1 抗体

Ghoumid, Stichelbout, Jourdain, Frenois, Lejeune-Dumoulin, Alex-Cordier, Lebrun, Guerreschi, Duquennoy-Martinot, Vinchon, Ferri, Jung, Vicaire, Vanlerberghe, Escande, Petit, Manouvrier-Hanu: "Blepharocheilodontic syndrome is a CDH1 pathway-related disorder due to mutations in CDH1 and CTNND1." in: Genetics in medicine : official journal of the American College of Medical Genetics, (2017) (PubMed).

Zhang, Han, Zhang, Hu, Ke, Zhou, Lu: "[Perforin and granzyme B as an early indicator for acute rejection of pancreatic transplantation]." in: Sichuan da xue xue bao. Yi xue ban = Journal of Sichuan University. Medical science edition, Vol. 39, Issue 6, pp. 957-61, (2009) (PubMed).

Akins, Greer: "Axon behavior in the olfactory nerve reflects the involvement of catenin-cadherin mediated adhesion." in: The Journal of comparative neurology, Vol. 499, Issue 6, pp. 979-89, (2007) (PubMed).

Xia, Brooks, Campos-González, Reynolds: "Serine and threonine phospho-specific antibodies to p120-catenin." in: Hybridoma and hybridomics, Vol. 23, Issue 6, pp. 343-51, (2005) (PubMed).

Reynolds, Roczniak-Ferguson: "Emerging roles for p120-catenin in cell adhesion and cancer." in: Oncogene, Vol. 23, Issue 48, pp. 7947-56, (2004) (PubMed).

Lampugnani, Zanetti, Breviario, Balconi, Orsenigo, Corada, Spagnuolo, Betson, Braga, Dejana: "VE-cadherin regulates endothelial actin activating Rac and increasing membrane association of Tiam." in: Molecular biology of the cell, Vol. 13, Issue 4, pp. 1175-89, (2002) (PubMed).

Laura, Witt, Held, Gerstner, Deshayes, Koehler, Kosik, Sidhu, Lasky: "The Erbin PDZ domain binds with high affinity and specificity to the carboxyl termini of delta-catenin and ARVCF." in: The Journal of biological chemistry, Vol. 277, Issue 15, pp. 12906-14, (2002) (PubMed).

Mariner, Anastasiadis, Keilhack, Böhmer, Wang, Reynolds: "Identification of Src phosphorylation sites in the catenin p120ctn." in: The Journal of biological chemistry, Vol. 276, Issue 30, pp. 28006-13, (2001) (PubMed).

Aliases for CTNND1 抗体

catenin delta 1 (CTNND1) 抗体
catenin (cadherin-associated protein), delta 1 (CTNND1) 抗体
catenin delta 1 (Ctnnd1) 抗体
catenin delta 1 (ctnnd1) 抗体
catenin (cadherin-associated protein), delta 1 (ctnnd1) 抗体
catenin (cadherin associated protein), delta 1 (Ctnnd1) 抗体
catenin delta 1 L homeolog (ctnnd1.L) 抗体
AA409437 抗体
AU019353 抗体
CAS 抗体
cas 抗体
Catns 抗体
CTNND 抗体
ctnnd 抗体
Ctnnd 抗体
CTNND1 抗体
mKIAA0384 抗体
p120 抗体
P120 抗体
p120(CAS) 抗体
p120(CTN) 抗体
p120(ctn) 抗体
p120-catenin 抗体
P120CAS 抗体
p120cas 抗体
P120CTN 抗体
p120ctn 抗体
Xp120 抗体
Xp120(ctn) 抗体
You are here: