电话:
+86 (0512) 65829739
传真:
+86 (010) 6788 5057
电子邮件:
orders@antibodies-online.cn

BCL2L1 抗体

(BCL2-Like 1 (BCL2L1))
The protein encoded by this gene belongs to the BCL-2 protein family. BCL-2 family members form hetero- or homodimers and act as anti- or pro-apoptotic regulators that are involved in a wide variety of cellular activities. The proteins encoded by this gene are located at the outer mitochondrial membrane, and have been shown to regulate outer mitochondrial membrane channel (VDAC) opening. VDAC regulates mitochondrial membrane potential, and thus controls the production of reactive oxygen species and release of cytochrome C by mitochondria, both of which are the potent inducers of cell apoptosis. Two alternatively spliced transcript variants, which encode distinct isoforms, have been reported. The longer isoform acts as an apoptotic inhibitor and the shorter form acts as an apoptotic activator. [provided by RefSeq, Jul 2008].

256 results

BCL2L1 适用: 人 WB, IF, IP, ICC, IHC (p) 宿主: 兔 Polyclonal unconjugated
Pubmed 1 reference
产品编号 ABIN2856151
100 μL
发货至: 中国
获取报价
 
BCL2L1 适用: 人 WB, IHC, IF, IP 宿主: 兔 Polyclonal unconjugated
Pubmed 1 reference
产品编号 ABIN1512625
100 μg (More quantities available)
发货至: 中国
获取报价
 
BCL2L1 适用: 人 WB, IF, ELISA, PLA 宿主: 小鼠 Monoclonal 3E2-2A5 unconjugated
Pubmed 1 reference
产品编号 ABIN560043
100 μg
发货至: 中国
获取报价
 
BCL2L1 适用: 大鼠 WB, IHC, IP, ICC 宿主: 兔 Polyclonal unconjugated
产品编号 ABIN7437179
100 μL (More quantities available)
发货至: 中国
获取报价
 
BCL2L1 适用: 人 WB, IHC, FACS, IP, ICC 宿主: 兔 Polyclonal unconjugated
产品编号 ABIN7437176
100 μL (More quantities available)
发货至: 中国
获取报价
 
BCL2L1 适用: 大鼠 WB, IHC, IP, ICC 宿主: 小鼠 Monoclonal C4 unconjugated
产品编号 ABIN7426781
100 μL (More quantities available)
发货至: 中国
获取报价
 
BCL2L1 适用: 人 WB, IF, PLA 宿主: 兔 Polyclonal unconjugated
产品编号 ABIN513678
100 μg
发货至: 中国
获取报价
 
BCL2L1 适用: 人, 小鼠, 大鼠 WB, IHC, IF, FACS, IP, ICC 宿主: 兔 Polyclonal unconjugated
Pubmed 4 references
产品编号 ABIN5518741
 
BCL2L1 适用: 人, 小鼠, 大鼠, Pig, 绵羊 WB, ELISA, FACS, ICC, IHC (p), IF (cc), IF (p), IHC (fro) 宿主: 兔 Polyclonal unconjugated
Pubmed 7 references
产品编号 ABIN675129
 
BCL2L1 适用: 人 WB, IHC, IF, ELISA 宿主: 兔 Polyclonal unconjugated
产品编号 ABIN7145294
100 μg (More quantities available)
发货至: 中国
获取报价
 
BCL2L1 适用: 人 WB, IHC, IF, ELISA 宿主: 兔 Polyclonal unconjugated
产品编号 ABIN7193159
100 μL
发货至: 中国
获取报价
 
BCL2L1 适用: 人, 小鼠, 大鼠 WB, IHC, IF, ELISA, ICC 宿主: 兔 Polyclonal unconjugated
产品编号 ABIN6255430
100 μL (More quantities available)
发货至: 中国
获取报价
 
BCL2L1 适用: 人, 小鼠, 大鼠 WB, IHC, IF, ELISA, ICC 宿主: 兔 Polyclonal unconjugated
产品编号 ABIN6260226
100 μL (More quantities available)
发货至: 中国
获取报价
 
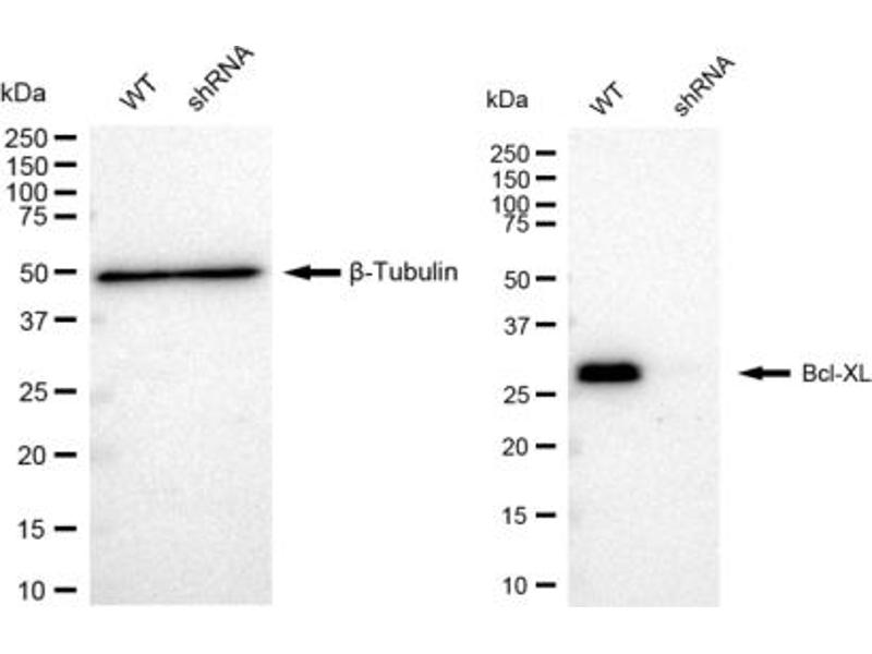
KD Validated BCL2L1 适用: 人 WB, FACS 宿主: 兔 Monoclonal 23GB3000 unconjugated Recombinant Antibody
产品编号 ABIN7797749
100 μL
发货至: 中国
获取报价
 
BCL2L1 适用: 人 WB, IHC, ELISA 宿主: 小鼠 Monoclonal 3D1C1 unconjugated
产品编号 ABIN7145293
100 μg (More quantities available)
发货至: 中国
获取报价
 
BCL2L1 适用: 人, 小鼠, 大鼠, Pig WB, IHC, StM 宿主: 小鼠 Monoclonal BX006 unconjugated
产品编号 ABIN6940509
100 μg (More quantities available)
发货至: 中国
获取报价
 
BCL2L1 适用: 人, 小鼠, 大鼠, Pig WB, IHC, IF, FACS, StM 宿主: 小鼠 Monoclonal 2H12 unconjugated
产品编号 ABIN6940510
100 μg (More quantities available)
发货至: 中国
获取报价
 
BCL2L1 适用: 人 ELISA, Coat 宿主: 小鼠 Monoclonal BCL2L1-2406 unconjugated
产品编号 ABIN6940516
100 μg (More quantities available)
发货至: 中国
获取报价
 
BCL2L1 适用: 人 WB, IHC, IHC (p) 宿主: 兔 Polyclonal unconjugated
产品编号 ABIN214407
50 μg
发货至: 中国
获取报价
 
KD Validated BCL2L1 适用: 人 WB, FACS 宿主: 兔 Monoclonal 24GB5350 unconjugated Recombinant Antibody
产品编号 ABIN7797750
100 μL
发货至: 中国
获取报价
 
  • 类型 Primary
    • Primary
  • 应用范围
    • Western Blotting (WB)
    • Immunohistochemistry (IHC)
    • Flow Cytometry (FACS)
    • Immunofluorescence (IF)
    • ELISA
    • Immunocytochemistry (ICC)
    • Immunoprecipitation (IP)
    • Immunofluorescence (Cultured Cells) (IF (cc))
    • Immunofluorescence (Paraffin-embedded Sections) (IF (p))
    • Immunohistochemistry (Paraffin-embedded Sections) (IHC (p))
    • Immunohistochemistry (Formalin-fixed Sections) (IHC (f))
    • Immunohistochemistry (Formalin-fixed Paraffin-embedded Sections) (IHC (fp))
    • Immunohistochemistry (Frozen Sections) (IHC (fro))
    • Enzyme Immunoassay (EIA)
    • Immunochromatography (IC)
    • Immunofluorescence (fixed cells) (IF/ICC)
    • Staining Methods (StM)
    • Coating (Coat)
    • Proximity Ligation Assay (PLA)
    • Radioimmunoassay (RIA)
  • 适用
    • Human
    • Mouse
    • Rat
    • Pig
    • Sheep
    • Dog
    • Cow
    • Rabbit
    • Horse
    • Monkey
    • Hamster
    • Bat
    • Guinea Pig
    • Chimpanzee
  • 论文引用
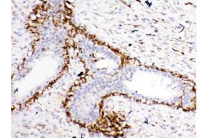
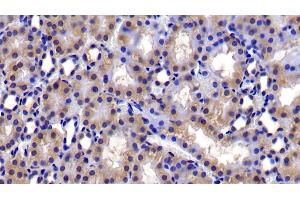
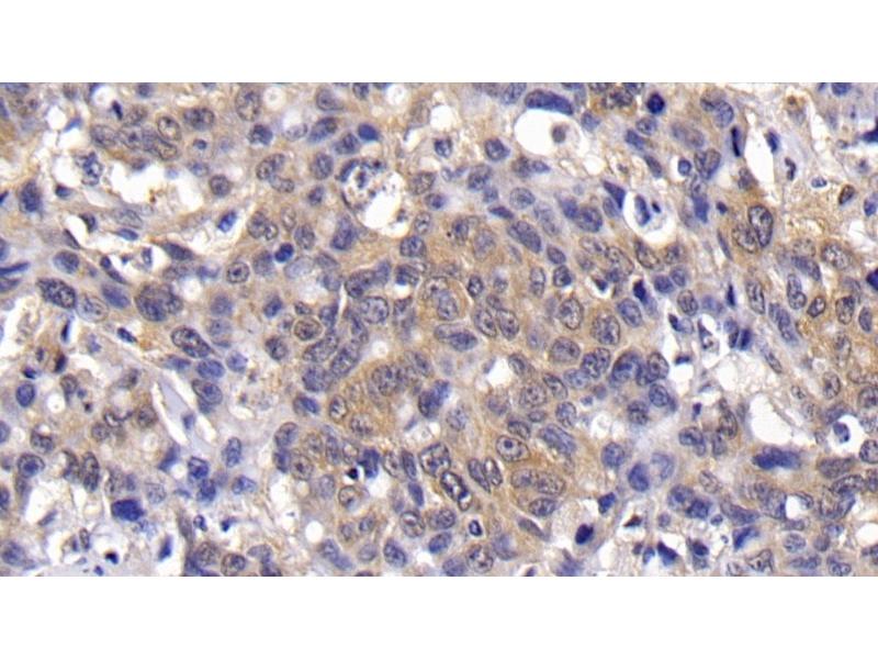
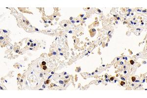
  • 图像
  • 仅无防腐剂
  • Carrier free only
  • 抗体来源
    • Rabbit
    • Mouse
    • Sheep
  • 克隆形成能力
    • Polyclonal
    • Monoclonal
  • 克隆
    • BCL2L1-1762
    • BX006
    • 7B2-5
    • BX006 2H12
    • BCL2L1-2406
    • 2H12
    • DM189
    • SPM519
    • 12C5
    • 13j15
    • 23GB3000
    • 24GB5350
    • 2A9
    • 3D1C1
    • 3E2-2A5
    • 4A9
    • 4C4
    • 5E9
    • AOD-2
    • BX006-2H12
    • C2
    • C4
    • G1-G1-4
    • PT0244R
    • R02-2D3
    • RB50807
  • 抗原表位
    • AA 3-14
    • AA 1-135
    • pThr115
    • AA 81-200
    • pSer62
    • AA 2-212
    • pThr47
    • AA 1-209
    • N-Term
    • AA 1-233
    • C-Term
    • Ser62
    • AA 1-100
    • AA 1-50
    • AA 195-229
    • AA 2-149
    • AA 60-64
    • Internal Region
    • Middle Region
    • Thr47
    • AA 1-120
    • AA 1-178
    • AA 1-208
    • AA 1-212
    • AA 1-219
    • AA 120-130
    • AA 13-62
    • AA 28-77
    • AA 75-105
    • AA 81-130
    • AA 89-151
    • Asp61
    • Ser174
    • Ser43
    • Ser56
    • Thr115
    • pSer37
  • 标记
    • 非结合性
    • Biotin
    • FITC
    • Alexa Fluor 488
    • Alexa Fluor 555
    • Alexa Fluor 594
    • Alexa Fluor 647
    • Alexa Fluor 680
    • Alexa Fluor 750
    • PE
    • CF®405S
    • CF®488A
    • CF®568
    • CF®594
    • CF®640R
    • CF®647
    • CF®740
    • HRP
    • AbBy Fluor® 350
    • AbBy Fluor® 488
    • AbBy Fluor® 555
    • AbBy Fluor® 594
    • AbBy Fluor® 647
    • AbBy Fluor® 680
    • AbBy Fluor® 750
    • Cy3
    • Cy5
    • Cy5.5
    • Cy7
    • APC
    • Alexa Fluor 350
    • Alexa Fluor 405
    • Magnetic Particles
    • PerCP
    • Sepharose
  • 抗体亚型
    • IgG
    • IgG2a
    • IgG3
    • kappa
    • IgG2b
    • IgG2a kappa
    • IgG1
    • IgG1 kappa
    • IgG2b kappa
    • Ig Fraction
  • 蛋白类型
    • Recombinant Antibody
  • Format
    • Liquid
    • Lyophilized
  • Grade
    • KD Validated
  • Supplier
    • antibodies-online
    • Signalway
    • Biotium
    • Acris
    • Assaypro
    • USBio
    • Abbexa
    • Boster Bio
    • Cohesion Biosciences
    • Assay Biotechnology Company, Inc.
    • Biomatik
    • Aviva Systems Biology
    • FabGennix
    • NSJ Bioreagents
    • ProSci
    • RayBiotech
    • CUSABIO
    • Cloud-Clone
    • Elabscience
    • Kamiya Biomedicals
    • ProteoGenix

Latest Publications for our BCL2L1 抗体

Han, Li, Liu, Zhang, Li, Dong, Xu, Yan, Sui, Kong: "O‑GlcNAc modification influences endometrial receptivity by promoting endometrial cell proliferation, migration and invasion." in: Oncology reports, Vol. 42, Issue 5, pp. 2065-2074, (2020) (PubMed).

Wu, Xiong, Li, Yang, Ge et al.: "Integrated Proteomic and Transcriptomic Analysis Reveals Long Noncoding RNA HOX Transcript Antisense Intergenic RNA (HOTAIR) Promotes Hepatocellular Carcinoma Cell Proliferation by Regulating Opioid ..." in: Molecular & cellular proteomics : MCP, Vol. 17, Issue 1, pp. 146-159, (2019) (PubMed).

Zhang, Zhao, Zhang, Hao, Yu, Min, Li, Ma, Chen, Yi, Tang, Meng, Liu, Wang, Shen, Zhang: "Decrease in male mouse fertility by hydrogen sulfide and/or ammonia can Be inheritable." in: Chemosphere, Vol. 194, pp. 147-157, (2018) (PubMed).

Guo, Guo, Zhao, Cai: "Active targeting co-delivery system based on hollow mesoporous silica nanoparticles for antitumor therapy in ovarian cancer stem-like cells." in: Oncology reports, Vol. 38, Issue 3, pp. 1442-1450, (2018) (PubMed).

Cui, Li, Xu, Zhang, Sun, Chen: "Emodin alleviates severe acute pancreatitis-associated acute lung injury by decreasing pre-B-cell colony-enhancing factor expression and promoting polymorphonuclear neutrophil apoptosis." in: Molecular medicine reports, Vol. 16, Issue 4, pp. 5121-5128, (2018) (PubMed).

Liu, Lin, Mi, Li, Zhang: "Grape Seed Proanthocyanidin Extract Prevents Ovarian Aging by Inhibiting Oxidative Stress in the Hens." in: Oxidative medicine and cellular longevity, Vol. 2018, pp. 9390810, (2018) (PubMed).

Abdel-Hamid, El-Azab, Moustafa: "Macrolide antibiotics differentially influence human HepG2 cytotoxicity and modulate intrinsic/extrinsic apoptotic pathways in rat hepatocellular carcinoma model." in: Naunyn-Schmiedeberg's archives of pharmacology, Vol. 390, Issue 4, pp. 379-395, (2017) (PubMed).

Hu, Kuo, Senadi, Chang, Wang: "Photodynamic Therapy Using Indolines-Fused-Triazoles Induces Mitochondrial Apoptosis in Human Non-Melanoma BCC Cells." in: Anticancer research, Vol. 37, Issue 10, pp. 5499-5505, (2017) (PubMed).

Zhang, Zhang, Yang, Chen: "Growth of tyrosine kinase inhibitor-resistant Philadelphia-positive acute lymphoblastic leukemia: Role of bone marrow stromal cells." in: Oncology letters, Vol. 13, Issue 4, pp. 2059-2070, (2017) (PubMed).

Punnoose, Leverson, Peale, Boghaert, Belmont, Tan, Young, Mitten, Ingalla, Darbonne, Oleksijew, Tapang, Yue, Oeh, Lee, Maiga, Fairbrother, Amiot, Souers, Sampath: "Expression Profile of BCL-2, BCL-XL, and MCL-1 Predicts Pharmacological Response to the BCL-2 Selective Antagonist Venetoclax in Multiple Myeloma Models." in: Molecular cancer therapeutics, Vol. 15, Issue 5, pp. 1132-44, (2016) (PubMed).

Aliases for BCL2L1 抗体

BCL2 like 1 (BCL2L1) 抗体
BCL2-like 1 (Bcl2l1) 抗体
Bcl2-like 1 (Bcl2l1) 抗体
BCL2 like 1 (bcl2l1) 抗体
BCL2-like 1 L homeolog (bcl2l1.L) 抗体
BCL2 like 1 (Bcl2l1) 抗体
bcl2-like 1 (bcl2l1) 抗体
Bcl(X)L 抗体
Bcl-X 抗体
bcl-x 抗体
bcl-X 抗体
bcl-x(l) 抗体
bcl-xL 抗体
Bcl-XL 抗体
Bcl-xl 抗体
Bcl-xL 抗体
BCL-XL 抗体
bcl-XL 抗体
bcl-xl 抗体
BCL-XL/S 抗体
bcl-xl/s 抗体
bcl-xS 抗体
Bcl-Xs 抗体
bcl-xs 抗体
BCL2L 抗体
Bcl2l 抗体
bcl2l 抗体
BCL2L1 抗体
BCLX 抗体
BclX 抗体
Bclx 抗体
bclx 抗体
BCLXL 抗体
bclxl 抗体
BCLXS 抗体
blp1 抗体
cb1021 抗体
PPP1R52 抗体
xR11 抗体
zfBLP1 抗体
You are here: