电话:
+86 (0512) 65829739
传真:
+86 (010) 6788 5057
电子邮件:
orders@antibodies-online.cn

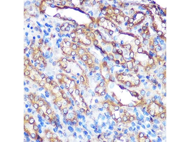
BCL2L1 抗体 (AA 1-120)

This 兔 多克隆 antibody specifically detects BCL2L1 in WB, IHC, IF 和 IP. It exhibits reactivity toward 人.It has been mentioned in 1 publication
产品编号 ABIN1512625
发货至: 中国
Contact our Customer Service for availability and price in your country. Contact Info

Our Local Distributor

中国
北京 101111
No. 88 KeChuang 6th Street
Beijing Economic Technological Development Area
Room 801-803
4A Biotech Co.,Ltd.
Tel +86 (0512) 65829739 传真 +86 (010) 6788 5057

Quick Overview for BCL2L1 抗体 (AA 1-120) (ABIN1512625)

抗原

See all BCL2L1 抗体
BCL2L1 (BCL2-Like 1 (BCL2L1))

适用

  • 230
  • 142
  • 126
  • 50
  • 25
  • 12
  • 10
  • 9
  • 5
  • 5
  • 4
  • 2
  • 2
  • 1

宿主

  • 164
  • 90
  • 1

克隆类型

  • 138
  • 117
多克隆

标记

  • 125
  • 26
  • 10
  • 5
  • 5
  • 5
  • 5
  • 5
  • 5
  • 5
  • 4
  • 4
  • 4
  • 4
  • 4
  • 4
  • 4
  • 3
  • 2
  • 2
  • 2
  • 2
  • 2
  • 2
  • 2
  • 2
  • 2
  • 2
  • 2
  • 1
  • 1
  • 1
  • 1
  • 1
  • 1
This BCL2L1 antibody is un-conjugated

应用范围

  • 176
  • 91
  • 64
  • 61
  • 53
  • 34
  • 33
  • 28
  • 28
  • 28
  • 21
  • 11
  • 10
  • 7
  • 4
  • 4
  • 3
  • 3
  • 2
  • 2
Western Blotting (WB), Immunohistochemistry (IHC), Immunofluorescence (IF), Immunoprecipitation (IP)
  • 抗原表位

    • 29
    • 23
    • 19
    • 16
    • 16
    • 13
    • 12
    • 11
    • 8
    • 5
    • 4
    • 3
    • 2
    • 2
    • 2
    • 2
    • 2
    • 2
    • 2
    • 2
    • 1
    • 1
    • 1
    • 1
    • 1
    • 1
    • 1
    • 1
    • 1
    • 1
    • 1
    • 1
    • 1
    • 1
    • 1
    • 1
    AA 1-120

    序列

    MSQSNRELVV DFLSYKLSQK GYSWSQFSDV EENRTEAPEG TESEMETPSA INGNPSWHLA DSPAVNGATG HSSSLDAREV IPMAAVKQAL REAGDEFELR YRRAFSDLTS QLHITPGTAY

    交叉反应

    人, 小鼠, 大鼠

    产品特性

    Polyclonal Antibodies

    纯化方法

    Affinity purification

    免疫原

    Recombinant fusion protein containing a sequence corresponding to amino acids 1-120 of human Bcl-XL (NP_612815.1).

    亚型

    IgG
  • 应用备注

    WB,1:500 - 1:2000,IHC,1:50 - 1:200,IF,1:50 - 1:200,IP,1:50 - 1:100

    限制

    仅限研究用
  • 状态

    Liquid

    缓冲液

    PBS with 0.02 % sodium azide,50 % glycerol, pH 7.3.

    储存液

    Sodium azide

    注意事项

    This product contains Sodium azide: a POISONOUS AND HAZARDOUS SUBSTANCE which should be handled by trained staff only.

    注意事项

    Avoid freeze / thaw cycles

    储存条件

    -20 °C

    储存方法

    Store at -20°C. Avoid freeze / thaw cycles.
  • Wu, Xiong, Li, Yang, Ge et al.: "Integrated Proteomic and Transcriptomic Analysis Reveals Long Noncoding RNA HOX Transcript Antisense Intergenic RNA (HOTAIR) Promotes Hepatocellular Carcinoma Cell Proliferation by Regulating Opioid ..." in: Molecular & cellular proteomics : MCP, Vol. 17, Issue 1, pp. 146-159, (2019) (PubMed).

  • 抗原

    BCL2L1 (BCL2-Like 1 (BCL2L1))

    别名

    BCL2L1

    背景

    The protein encoded by this gene belongs to the BCL-2 protein family. BCL-2 family members form hetero- or homodimers and act as anti- or pro-apoptotic regulators that are involved in a wide variety of cellular activities. The proteins encoded by this gene are located at the outer mitochondrial membrane, and have been shown to regulate outer mitochondrial membrane channel (VDAC) opening. VDAC regulates mitochondrial membrane potential, and thus controls the production of reactive oxygen species and release of cytochrome C by mitochondria, both of which are the potent inducers of cell apoptosis. Alternative splicing results in multiple transcript variants encoding two different isoforms. The longer isoform acts as an apoptotic inhibitor and the shorter isoform acts as an apoptotic activator.,BCL2L1,BCL-XL/S,BCL2L,BCLX,Bcl-X,PPP1R52,BCL2 like 1,Bcl-XL,Cancer,Invasion and Metastasis,Cell Biology & Developmental Biology,Apoptosis,Bcl 2 family,Mitochondrial Control of Apoptosis,Inhibition of Apoptosis,Autophagy,Cell Cycle,Centrosome,Endocrine & Metabolism,Immunology & Inflammation,B Cell Receptor Signaling Pathway,Neuroscience,Neurodegenerative Diseases,BCL2L1

    分子量

    18 kDa/25-26 kDa

    基因ID

    598

    UniProt

    Q07817

    途径

    Apoptosis, Negative Regulation of intrinsic apoptotic Signaling
You are here: