电话:
+86 (0512) 65829739
传真:
+86 (010) 6788 5057
电子邮件:
orders@antibodies-online.cn

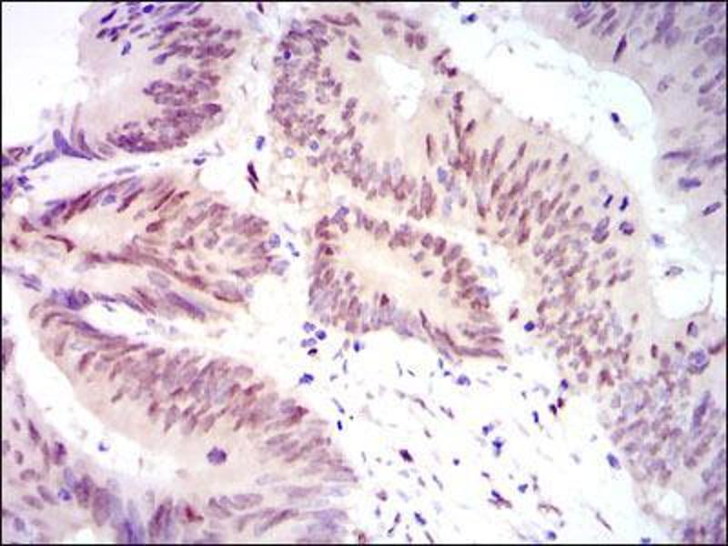
YAP1 抗体

This 小鼠 单克隆 antibody specifically detects YAP1 in WB, IHC, ELISA 和 FACS. It exhibits reactivity toward 人. It has been mentioned in 2+ publications
产品编号 ABIN969574
发货至: 中国
Contact our Customer Service for availability and price in your country. Contact Info

Our Local Distributor

中国
北京 101111
No. 88 KeChuang 6th Street
Beijing Economic Technological Development Area
Room 801-803
4A Biotech Co.,Ltd.
Tel +86 (0512) 65829739 传真 +86 (010) 6788 5057

Quick Overview for YAP1 抗体 (ABIN969574)

抗原

See all YAP1 抗体
YAP1 (Yes-Associated Protein 1 (YAP1))

适用

  • 176
  • 100
  • 70
  • 7
  • 5
  • 5
  • 4
  • 3
  • 3
  • 3
  • 3
  • 3
  • 3
  • 1

宿主

  • 156
  • 20
  • 1
  • 1
  • 1
小鼠

克隆类型

  • 109
  • 67
  • 2
单克隆

标记

  • 85
  • 11
  • 6
  • 6
  • 6
  • 6
  • 6
  • 6
  • 6
  • 4
  • 4
  • 4
  • 3
  • 3
  • 2
  • 2
  • 2
  • 2
  • 2
  • 2
  • 2
  • 2
  • 2
  • 2
  • 2
This YAP1 antibody is un-conjugated

应用范围

  • 148
  • 63
  • 58
  • 42
  • 28
  • 27
  • 27
  • 27
  • 27
  • 22
  • 7
  • 7
  • 3
  • 1
  • 1
Western Blotting (WB), Immunohistochemistry (IHC), ELISA, Flow Cytometry (FACS)

克隆位点

1A12
  • 原理

    YAP1 Antibody

    纯化方法

    Purified antibody

    免疫原

    Purified recombinant fragment of human YAP1 expressed in E. Coli.

    亚型

    IgG1
  • 应用备注

    ELISA: 1/10000

    FCM: 1/200 - 1/400

    限制

    仅限研究用
  • 状态

    Liquid

    缓冲液

    Purified antibody in PBS with 0.05 % sodium azide.

    储存液

    Sodium azide

    注意事项

    This product contains Sodium azide: a POISONOUS AND HAZARDOUS SUBSTANCE which should be handled by trained staff only.

    储存条件

    4 °C,-20 °C

    储存方法

    Store at 4°C short term. Aliquot and store at -20°C long term. Avoid freeze/thaw cycles.
  • Fernandez-L, Northcott, Dalton, Fraga, Ellison, Angers, Taylor, Kenney: "YAP1 is amplified and up-regulated in hedgehog-associated medulloblastomas and mediates Sonic hedgehog-driven neural precursor proliferation." in: Genes & development, Vol. 23, Issue 23, pp. 2729-41, (2009) (PubMed).

    Zhang, Ji, Yu, Overholtzer, Smolen, Wang, Brugge, Dyson, Haber: "YAP-dependent induction of amphiregulin identifies a non-cell-autonomous component of the Hippo pathway." in: Nature cell biology, Vol. 11, Issue 12, pp. 1444-50, (2009) (PubMed).

  • 抗原

    YAP1 (Yes-Associated Protein 1 (YAP1))

    别名

    YAP1

    背景

    This gene encodes the human ortholog of chicken YAP protein which binds to the SH3 domain of the Yes proto-oncogene product. This protein contains a WW domain that is found in various structural, regulatory and signaling molecules in yeast, nematode, and mammals, and may be involved in protein-protein interaction.

    UniProt

    P46937

    途径

    MAPK Pathway, Stem Cell Maintenance, Regulation of Lipid Metabolism by PPARalpha
You are here: