电话:
+86 (0512) 65829739
传真:
+86 (010) 6788 5057
电子邮件:
orders@antibodies-online.cn

YAP1 抗体

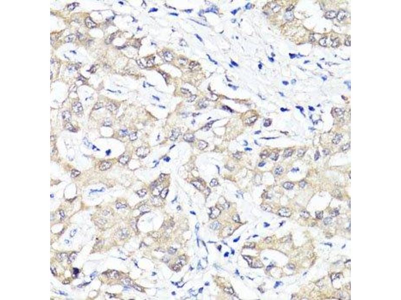
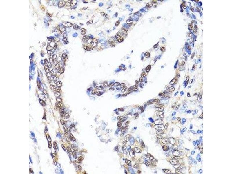
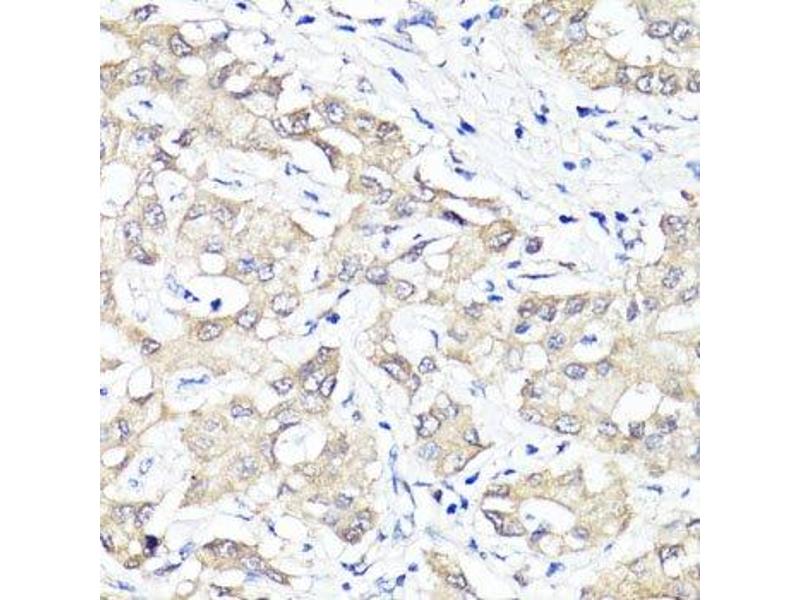
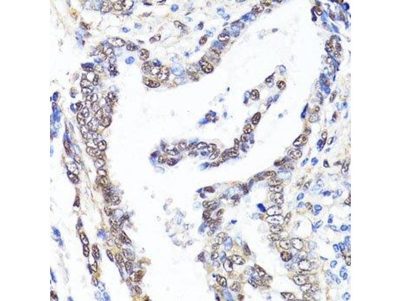
There are 4+ publications for this product available. The 兔 多克隆 anti-YAP1 antibody is suitable to detect YAP1 in samples from 人. It has been validated for WB, IHC 和 FACS.
产品编号 ABIN1683302
发货至: 中国
Contact our Customer Service for availability and price in your country. Contact Info

Our Local Distributor

中国
北京 101111
No. 88 KeChuang 6th Street
Beijing Economic Technological Development Area
Room 801-803
4A Biotech Co.,Ltd.
Tel +86 (0512) 65829739 传真 +86 (010) 6788 5057

Quick Overview for YAP1 抗体 (ABIN1683302)

抗原

See all YAP1 抗体
YAP1 (Yes-Associated Protein 1 (YAP1))

适用

  • 174
  • 98
  • 69
  • 6
  • 5
  • 5
  • 4
  • 3
  • 3
  • 3
  • 3
  • 3
  • 3
  • 1

宿主

  • 153
  • 21
  • 1
  • 1
  • 1

克隆类型

  • 106
  • 68
  • 2
多克隆

标记

  • 83
  • 11
  • 6
  • 6
  • 6
  • 6
  • 6
  • 6
  • 6
  • 4
  • 4
  • 4
  • 3
  • 3
  • 2
  • 2
  • 2
  • 2
  • 2
  • 2
  • 2
  • 2
  • 2
  • 2
  • 2
This YAP1 antibody is un-conjugated

应用范围

  • 146
  • 64
  • 57
  • 43
  • 28
  • 27
  • 27
  • 27
  • 27
  • 21
  • 7
  • 7
  • 3
  • 1
  • 1
Western Blotting (WB), Immunohistochemistry (IHC), Flow Cytometry (FACS)
  • 交叉反应

    小鼠, 大鼠

    免疫原

    Recombinant Protein
  • 限制

    仅限研究用
  • 储存条件

    -20 °C
  • Zhang, Pei, Wang, Xiang, Sun, Cheng, Qi, Marchetti, Xu, Sun, Edgar, Yuan: "A Balance of Yki/Sd Activator and E2F1/Sd Repressor Complexes Controls Cell Survival and Affects Organ Size." in: Developmental cell, Vol. 43, Issue 5, pp. 603-617.e5, (2018) (PubMed).

    Gao, Yang, Yuan, Huang, Xu, Mao, Yuan, Bi: "TNFα-YAP/p65-HK2 axis mediates breast cancer cell migration." in: Oncogenesis, Vol. 6, Issue 9, pp. e383, (2017) (PubMed).

    Wang, Wu, Huang, Wang, Xu, Jia, Han, Mao, Bi: "Hippo/YAP signaling pathway is involved in osteosarcoma chemoresistance." in: Chinese journal of cancer, Vol. 35, pp. 47, (2016) (PubMed).

    Li, Yu, Chen, Li, Lei, Chen, Bao, Luo, Lin, Pang, Tan: "The YAP1 oncogene contributes to bladder cancer cell proliferation and migration by regulating the H19 long noncoding RNA." in: Urologic oncology, Vol. 33, Issue 10, pp. 427.e1-10, (2016) (PubMed).

  • 抗原

    YAP1 (Yes-Associated Protein 1 (YAP1))

    别名

    YAP

    分子量

    504 kDa

    基因ID

    10413

    UniProt

    P46937

    途径

    MAPK Pathway, Stem Cell Maintenance, Regulation of Lipid Metabolism by PPARalpha
You are here: