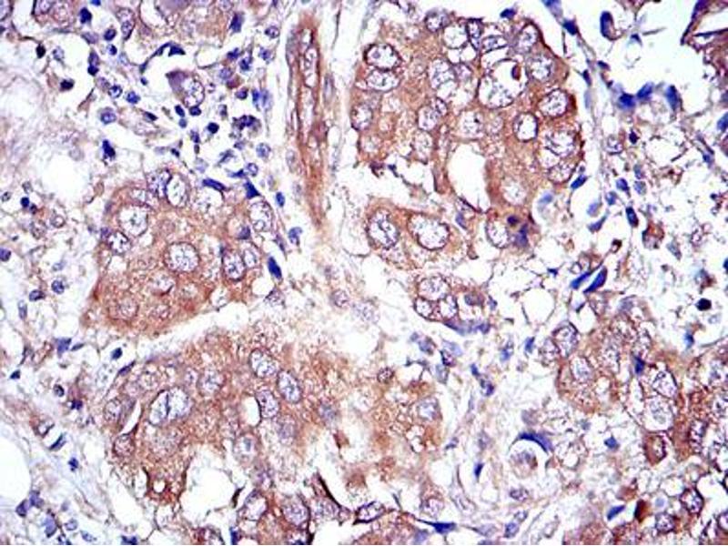
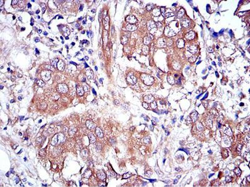
ERK1 抗体
Our Local Distributor
北京 101111
Quick Overview for ERK1 抗体 (ABIN969277)
抗原
See all ERK1 (MAPK3) 抗体适用
宿主
克隆类型
标记
应用范围
克隆位点
-
-
原理
- MAPK3 Antibody
-
纯化方法
- Ascitic fluid
-
免疫原
- Purified recombinant fragment of human MAPK3 expressed in E. Coli.
-
亚型
- IgG1
-
-
-
-
应用备注
-
ELISA: 1/10000
FCM: 1/200 - 1/400
ICC: 1/200 - 1/1000
-
限制
- 仅限研究用
-
-
-
状态
- Liquid
-
缓冲液
- Ascitic fluid containing 0.03 % sodium azide.
-
储存液
- Sodium azide
-
注意事项
- This product contains Sodium azide: a POISONOUS AND HAZARDOUS SUBSTANCE which should be handled by trained staff only.
-
储存条件
- 4 °C,-20 °C
-
储存方法
- Store at 4°C short term. Aliquot and store at -20°C long term. Avoid freeze/thaw cycles.
-
-
-
: "C-Raf inhibits MAPK activation and transformation by B-Raf(V600E)." in: Molecular cell, Vol. 36, Issue 3, pp. 477-86, (2009) (PubMed).
-
-
- ERK1 (MAPK3) (Mitogen-Activated Protein Kinase 3 (MAPK3))
-
别名
- MAPK3
-
背景
- The protein encoded by this gene is a member of the MAP kinase family. MAP kinases, also known as extracellular signal-regulated kinases (ERKs), act in a signaling cascade that regulates various cellular processes such as proliferation, differentiation, and cell cycle progression in response to a variety of extracellular signals. This kinase is activated by upstream kinases, resulting in its translocation to the nucleus where it phosphorylates nuclear targets. Alternatively spliced transcript variants encoding different protein isoforms have been described.
-
分子量
- 44 kDa
-
基因ID
- 5595
-
UniProt
- P27361
-
途径
- MAPK Pathway, RTK signaling, Interferon-gamma Pathway, Fc-epsilon Receptor Signaling Pathway, Neurotrophin Signaling Pathway, Response to Growth Hormone Stimulus, Activation of Innate immune Response, Cellular Response to Molecule of Bacterial Origin, Hepatitis C, Protein targeting to Nucleus, Toll-Like Receptors Cascades, Signaling Events mediated by VEGFR1 and VEGFR2, Signaling of Hepatocyte Growth Factor Receptor, VEGFR1 Specific Signals, S100 Proteins
抗原
-