电话:
+86 (0512) 65829739
传真:
+86 (010) 6788 5057
电子邮件:
orders@antibodies-online.cn

BID 抗体

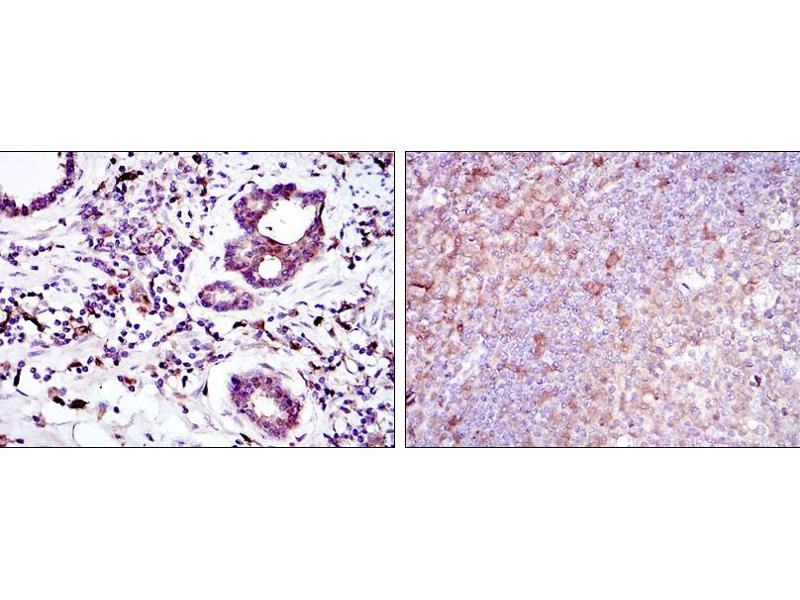
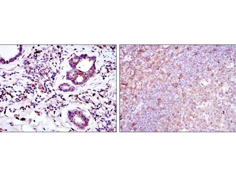
Cited in 2+ publications. The 小鼠 单克隆 anti-BID antibody (Clone 3C5) (ABIN968979) specifically detects BID in WB, IHC, ELISA, ICC 和 FACS. The antibody is reactive with 人 samples.
产品编号 ABIN968979
发货至: 中国
Contact our Customer Service for availability and price in your country. Contact Info

Our Local Distributor

中国
北京 101111
No. 88 KeChuang 6th Street
Beijing Economic Technological Development Area
Room 801-803
4A Biotech Co.,Ltd.
Tel +86 (0512) 65829739 传真 +86 (010) 6788 5057

Quick Overview for BID 抗体 (ABIN968979)

抗原

See all BID 抗体
BID (BH3 Interacting Domain Death Agonist (BID))

适用

  • 161
  • 76
  • 38
  • 2
  • 2
  • 1

宿主

  • 173
  • 22
  • 1
  • 1
小鼠

克隆类型

  • 143
  • 54
单克隆

标记

  • 96
  • 19
  • 12
  • 6
  • 5
  • 5
  • 5
  • 5
  • 5
  • 5
  • 5
  • 3
  • 2
  • 2
  • 2
  • 2
  • 2
  • 2
  • 2
  • 2
  • 2
  • 2
  • 2
  • 2
  • 2
This BID antibody is un-conjugated

应用范围

  • 167
  • 80
  • 57
  • 49
  • 31
  • 28
  • 27
  • 27
  • 26
  • 25
  • 7
  • 6
  • 4
  • 2
  • 1
  • 1
  • 1
  • 1
Western Blotting (WB), Immunohistochemistry (IHC), ELISA, Immunocytochemistry (ICC), Flow Cytometry (FACS)

克隆位点

3C5
  • 原理

    BID Antibody

    纯化方法

    Ascitic fluid

    免疫原

    Purified recombinant full length protein of human BID expressed in E. Coli

    亚型

    IgG1
  • 应用备注

    ELISA: 1/10000

    FCM: 1/200 - 1/400

    ICC: 1/200 - 1/1000

    限制

    仅限研究用
  • 状态

    Liquid

    缓冲液

    Ascitic fluid containing 0.03 % sodium azide.

    储存液

    Sodium azide

    注意事项

    This product contains Sodium azide: a POISONOUS AND HAZARDOUS SUBSTANCE which should be handled by trained staff only.

    储存条件

    4 °C,-20 °C

    储存方法

    Store at 4°C short term. Aliquot and store at -20°C long term. Avoid freeze/thaw cycles.
  • Wan, Liu, Xing, Chen: "Bid is required in NPe6-PDT-induced apoptosis." in: Photochemistry and photobiology, Vol. 84, Issue 1, pp. 250-7, (2008) (PubMed).

    Wu, Xing, Chen, Wang: "Bid is not required for Bax translocation during UV-induced apoptosis." in: Cellular signalling, Vol. 19, Issue 12, pp. 2468-78, (2007) (PubMed).

  • 抗原

    BID (BH3 Interacting Domain Death Agonist (BID))

    别名

    BID

    背景

    This gene encodes a death agonist that heterodimerizes with either agonist BAX or antagonist BCL2. The encoded protein is a member of the BCL-2 family of cell death regulators. It is a mediator of mitochondrial damage induced by caspase-8 (CASP8), CASP8 cleaves this encoded protein, and the COOH-terminal part translocates to mitochondria where it triggers cytochrome c release. Multiple alternatively spliced transcript variants have been found, but the full-length nature of some variants has not been defined.Tissue specificity: Isoform 2 and isoform 3 are expressed in spleen, bone marrow, cerebral and cerebellar cortex. Isoform 2 is expressed in spleen, pancreas and placenta (at protein level). Isoform 3 is expressed in lung, pancreas and spleen (at protein level). Isoform 4 is expressed in lung and pancreas (at protein level)

    分子量

    22 kDa

    基因ID

    637

    UniProt

    P55957

    途径

    Apoptosis, Caspase Cascade in Apoptosis, Positive Regulation of Endopeptidase Activity
You are here: