电话:
+86 (0512) 65829739
传真:
+86 (010) 6788 5057
电子邮件:
orders@antibodies-online.cn

BID 抗体

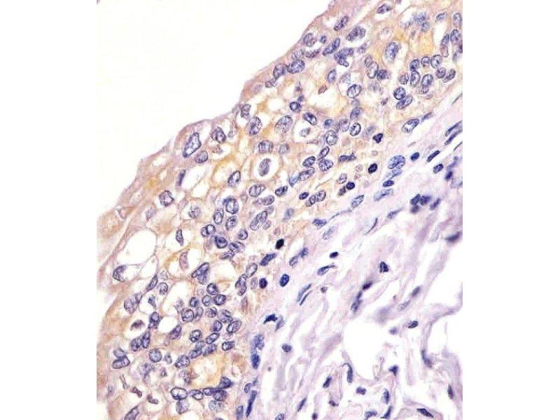
This 小鼠 单克隆 antibody specifically detects BID in WB, IF, IHC (p) 和 IF (cc). It exhibits reactivity toward 人.
产品编号 ABIN4906603
发货至: 中国
Contact our Customer Service for availability and price in your country. Contact Info

Our Local Distributor

中国
北京 101111
No. 88 KeChuang 6th Street
Beijing Economic Technological Development Area
Room 801-803
4A Biotech Co.,Ltd.
Tel +86 (0512) 65829739 传真 +86 (010) 6788 5057

Quick Overview for BID 抗体 (ABIN4906603)

抗原

See all BID 抗体
BID (BH3 Interacting Domain Death Agonist (BID))

适用

  • 161
  • 76
  • 39
  • 2
  • 2
  • 1

宿主

  • 173
  • 22
  • 1
  • 1
小鼠

克隆类型

  • 143
  • 54
单克隆

标记

  • 96
  • 19
  • 12
  • 6
  • 5
  • 5
  • 5
  • 5
  • 5
  • 5
  • 5
  • 3
  • 2
  • 2
  • 2
  • 2
  • 2
  • 2
  • 2
  • 2
  • 2
  • 2
  • 2
  • 2
  • 2
This BID antibody is un-conjugated

应用范围

  • 167
  • 83
  • 58
  • 50
  • 32
  • 29
  • 26
  • 26
  • 25
  • 24
  • 7
  • 6
  • 4
  • 2
  • 1
  • 1
  • 1
  • 1
Western Blotting (WB), Immunofluorescence (IF), Immunohistochemistry (Paraffin-embedded Sections) (IHC (p)), Immunofluorescence (Cultured Cells) (IF (cc))

克隆位点

9C7
You are here: