TRAF6 抗体 (C-Term)
Our Local Distributor
北京 101111
Quick Overview for TRAF6 抗体 (C-Term) (ABIN962140)
抗原
See all TRAF6 抗体适用
宿主
克隆类型
标记
应用范围
-
-
抗原表位
- C-Term
-
特异性
- Recognizes human TRAF6 proteins. On Western blots, it identifies a band at ~55kD and a band at ~60kD. The two bands may represent the two reported forms of this protein (522 and 530 amino acids).
-
纯化方法
- Immunoaffinity purified
-
免疫原
-
Synthetic peptide derived from the C-terminal region of the human and mouse TRAF6 (TNF receptor-associated factor 6) protein.
Type of Immunogen: Synthetic peptide -
亚型
- IgG
-
-
-
-
应用备注
-
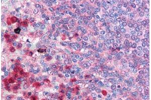
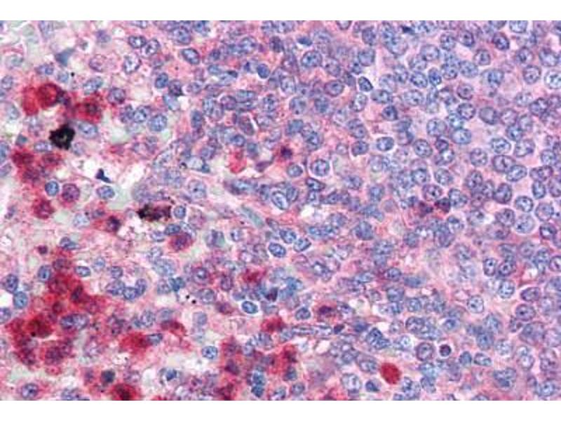
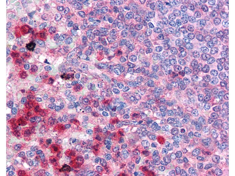
Approved: IHC, IHC-P (1:200 - 1:400), IP, WB (1 - 3 μg/mL)
Usage: Immunohistochemistry: This antibody was validated for use in immunohistochemistry on a panel of 21 formalin-fixed, paraffin-embedded (FFPE) human tissues after heat induced antigen retrieval in pH 6.0 citrate buffer. After incubation with the primary antibody, slides were incubated with biotinylated secondary antibody, followed by alkaline phosphatase-streptavidin and chromogen. The stained slides were evaluated by a pathologist to confirm staining specificity. The optimal working concentration for this antibody was determined to be 2.5 μg/mL. Immunoprecipitation: 7 μg/reaction. Positive control: Human Hela, HEK293, Jurkat, and mouse NIH3T3 cell lysates. Please note that cross-reactivity of this antibody with mouse has been confirmed only in WB. The antibody has not been evaluated for use in IHC with mouse samples at this time and suitability cannot be guaranteed. -
说明
-
Target Species of Antibody: Human
-
限制
- 仅限研究用
-
-
-
状态
- Liquid
-
浓度
- Lot specific
-
缓冲液
- PBS, pH 7.4, 0.09 % sodium azide.
-
储存液
- Sodium azide
-
注意事项
- This product contains Sodium azide: a POISONOUS AND HAZARDOUS SUBSTANCE which should be handled by trained staff only.
-
注意事项
- avoid freeze thaw cycles.
-
储存条件
- 4 °C,-20 °C
-
储存方法
- Short term 4°C, long term aliquot and store at -20°C, avoid freeze-thaw cycles.
-
-
- TRAF6 (TNF Receptor-Associated Factor 6 (TRAF6))
-
别名
- TRAF6
-
背景
-
Name/Gene ID: TRAF6
Synonyms: TRAF6, RING finger protein 85, MGC:3310, RNF85 -
基因ID
- 7189
-
UniProt
- Q9Y4K3
-
途径
- NF-kappaB Signaling, TCR Signaling, TLR signaling, Fc-epsilon Receptor Signaling Pathway, Neurotrophin Signaling Pathway, Activation of Innate immune Response, Regulation of Leukocyte Mediated Immunity, Positive Regulation of Immune Effector Process, Production of Molecular Mediator of Immune Response, Tube Formation, Hepatitis C, Toll-Like Receptors Cascades, Ubiquitin Proteasome Pathway
抗原
-