TCF7L2 抗体 (N-Term)
Our Local Distributor
北京 101111
Quick Overview for TCF7L2 抗体 (N-Term) (ABIN959387)
抗原
See all TCF7L2 抗体适用
宿主
克隆类型
标记
应用范围
-
-
抗原表位
- N-Term
-
纯化方法
- Immunoaffinity purified
-
免疫原
-
Synthetic peptide
Type of Immunogen: Synthetic peptide -
亚型
- IgG
-
-
-
-
应用备注
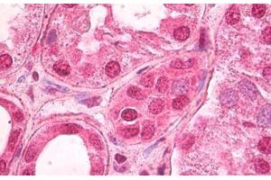
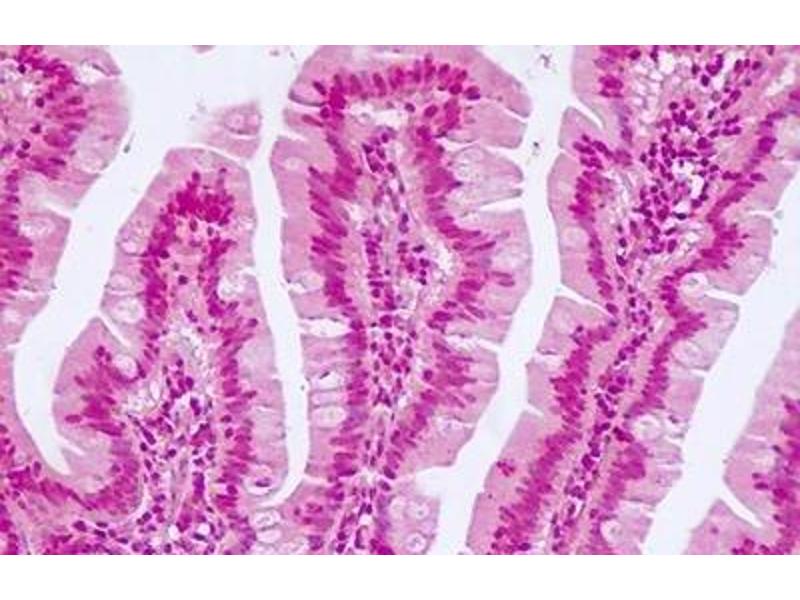
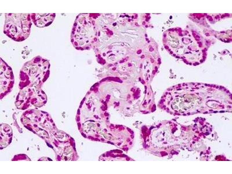
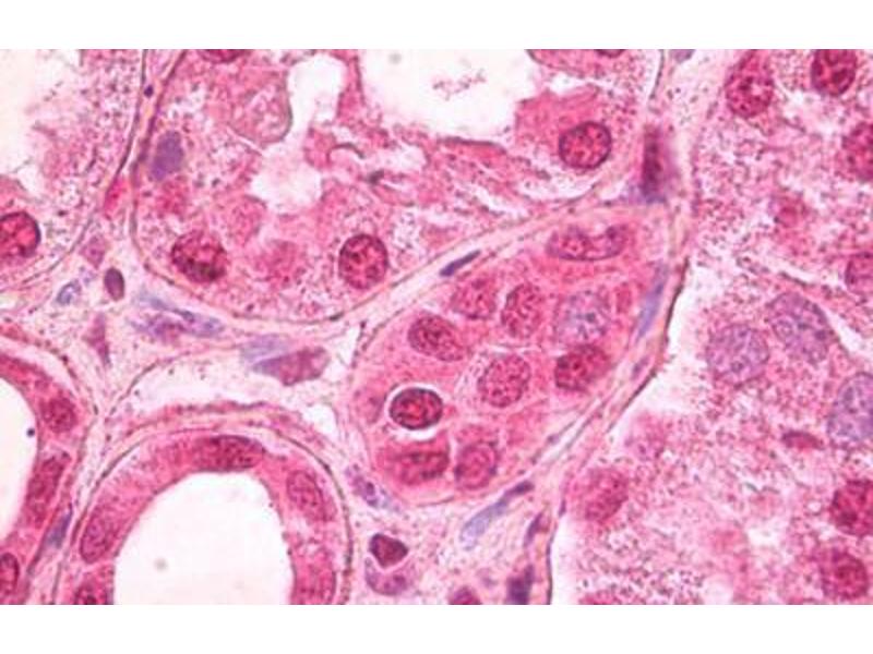
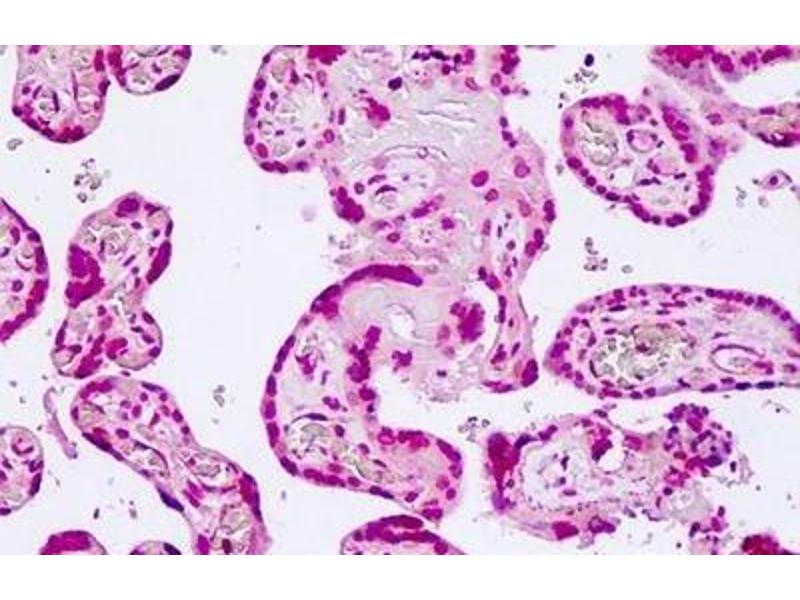
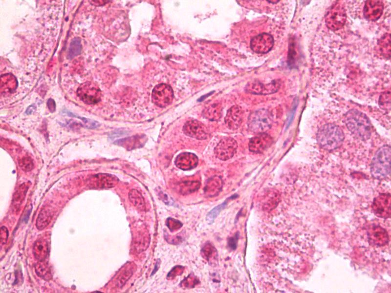
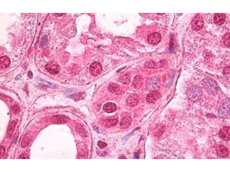
- Approved: ELISA (1:80000), IHC, IHC-P (5 μg/mL), WB (1:200 - 1:1000)
-
说明
-
Target Species of Antibody: Human
-
限制
- 仅限研究用
-
-
-
状态
- Liquid
-
浓度
- Lot specific
-
缓冲液
- PBS (without Mg2+, Ca2+), pH 7.4, 150 mM sodium chloride, 0.02 % sodium azide, 50 % glycerol
-
储存液
- Sodium azide
-
注意事项
- This product contains Sodium azide: a POISONOUS AND HAZARDOUS SUBSTANCE which should be handled by trained staff only.
-
注意事项
- avoid freeze thaw cycles.
-
储存条件
- 4 °C,-20 °C
-
储存方法
- Short term 4°C, long term aliquot and store at -20°C, avoid freeze-thaw cycles.
-
-
- TCF7L2 (Transcription Factor 7-Like 2 (T-Cell Specific, HMG-Box) (TCF7L2))
-
别名
- TCF7L2 / TCG4
-
背景
-
Name/Gene ID: TCF7L2
Family: Transcription factor
Synonyms: TCF7L2, HMG box transcription factor 4, HTCF-4, T-cell factor-4 variant X2, T-cell factor 4, Transcription factor 7-like 2, TCF-4 -
基因ID
- 6934
-
UniProt
- Q9NQB0
-
途径
- WNT signaling, Positive Regulation of Peptide Hormone Secretion, Peptide Hormone Metabolism, Regulation of Hormone Metabolic Process, Carbohydrate Homeostasis, Stem Cell Maintenance, Protein targeting to Nucleus
抗原
-