电话:
+86 (0512) 65829739
传真:
+86 (010) 6788 5057
电子邮件:
orders@antibodies-online.cn

HYAL1 抗体 (C-Term)

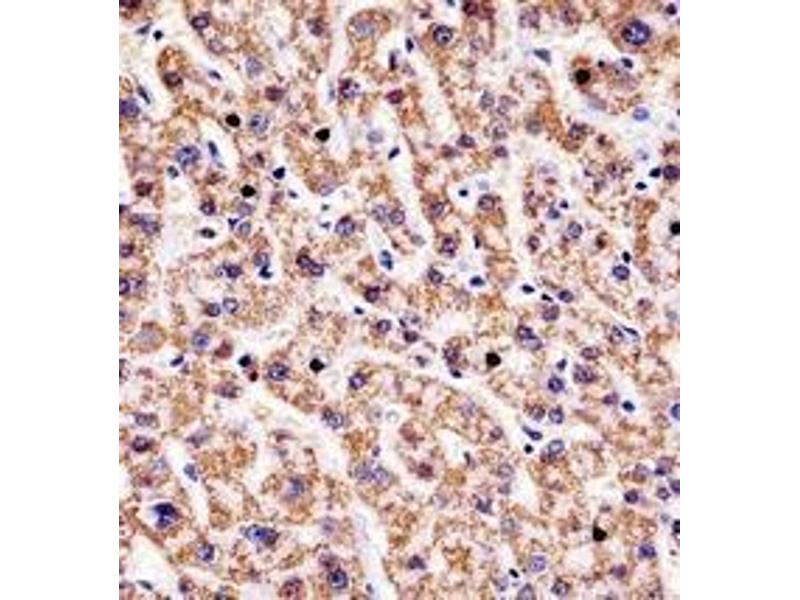
This 兔 多克隆 antibody specifically detects HYAL1 in WB, IHC (p) 和 EIA. It exhibits reactivity toward 人.
产品编号 ABIN952807
发货至: 中国
Contact our Customer Service for availability and price in your country. Contact Info

Our Local Distributor

中国
北京 101111
No. 88 KeChuang 6th Street
Beijing Economic Technological Development Area
Room 801-803
4A Biotech Co.,Ltd.
Tel +86 (0512) 65829739 传真 +86 (010) 6788 5057

Quick Overview for HYAL1 抗体 (C-Term) (ABIN952807)

抗原

See all HYAL1 抗体
HYAL1 (Hyaluronidase-1 (HYAL1))

适用

  • 61
  • 11
  • 10
  • 5
  • 4
  • 4
  • 3
  • 2
  • 2
  • 2
  • 2
  • 1
  • 1

宿主

  • 61
  • 6
  • 1

克隆类型

  • 65
  • 3
多克隆

标记

  • 38
  • 5
  • 4
  • 2
  • 1
  • 1
  • 1
  • 1
  • 1
  • 1
  • 1
  • 1
  • 1
  • 1
  • 1
  • 1
  • 1
  • 1
  • 1
  • 1
  • 1
  • 1
  • 1
This HYAL1 antibody is un-conjugated

应用范围

  • 42
  • 31
  • 17
  • 13
  • 13
  • 10
  • 9
  • 8
  • 4
  • 3
  • 2
  • 1
  • 1
Western Blotting (WB), Immunohistochemistry (Paraffin-embedded Sections) (IHC (p)), Enzyme Immunoassay (EIA)
  • 抗原表位

    • 15
    • 9
    • 5
    • 4
    • 4
    • 4
    • 2
    • 2
    • 2
    • 2
    • 1
    • 1
    • 1
    • 1
    • 1
    • 1
    AA 279-309, C-Term

    特异性

    This antibody recognizes Human HYAL1 / Hyaluronidase-1 (C-term).

    纯化方法

    Protein A column, followed by peptide affinity purification

    免疫原

    KLH conjugated synthetic peptide between 279-309 amino acids from the C-terminal region of Human HYAL1 / Hyaluronidase-1

    亚型

    Ig Fraction
  • 应用备注

    Optimal working dilution should be determined by the investigator.

    限制

    仅限研究用
  • 状态

    Liquid

    浓度

    0.25 mg/mL

    缓冲液

    PBS containing 0.09 % (W/V) Sodium Azide as preservative

    储存液

    Sodium azide

    注意事项

    This product contains sodium azide: a POISONOUS AND HAZARDOUS SUBSTANCE which should be handled by trained staff only.

    注意事项

    Avoid repeated freezing and thawing.

    储存条件

    4 °C/-20 °C

    储存方法

    Store undiluted at 2-8 °C for one month or (in aliquots) at -20 °C for longer.
  • 抗原

    HYAL1 (Hyaluronidase-1 (HYAL1))

    别名

    HYAL1 / Hyaluronidase-1

    背景

    This gene encodes a lysosomal hyaluronidase. Hyaluronidases intracellularly degrade hyaluronan, one of the major glycosaminoglycans of the extracellular matrix. Hyaluronan is thought to be involved in cell proliferation, migration and differentiation. This enzyme is active at an acidic pH and is the major hyaluronidase in plasma. Mutations in this gene are associated with mucopolysaccharidosis type IX, or hyaluronidase deficiency. The gene is one of several related genes in a region of chromosome 3p21.3 associated with tumor suppression. Multiple transcript variants encoding different isoforms have been found for this gene.Synonyms: Hyal-1, Hyaluronoglucosaminidase-1, LUCA1, Lung carcinoma protein 1

    分子量

    48368 Da

    基因ID

    3373

    NCBI登录号

    NP_695013

    途径

    Glycosaminoglycan Metabolic Process
You are here: