CREB1 抗体 (AA 1-96)
Our Local Distributor
北京 101111
Quick Overview for CREB1 抗体 (AA 1-96) (ABIN790469)
抗原
See all CREB1 抗体适用
宿主
克隆类型
标记
应用范围
克隆位点
-
-
抗原表位
- AA 1-96
-
特异性
- Human CREB1
-
纯化方法
- Purified from ascites by Protein A
-
免疫原
-
CREB1 (NP_004370, 1 a.a. ~ 96 a.a) partial recombinant protein with GST tag. MW of the GST tag alone is 26 KDa.
Type of Immunogen: Recombinant protein -
亚型
- IgG2a kappa
-
-
-
-
应用备注
-
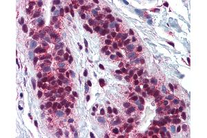
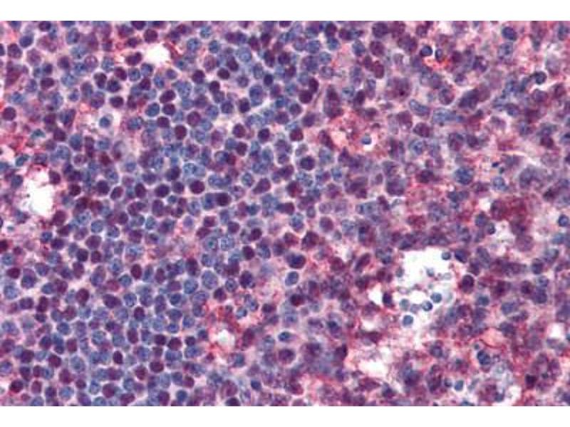
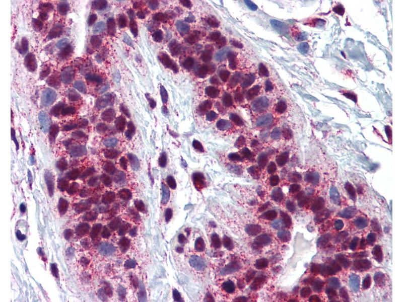
Approved: ELISA, IHC, IHC-P (5 μg/mL), WB (1:500 - 1:1000)
Usage: Immunohistochemistry: Formalin-fixed paraffin-embedded sections. Sandwich ELISA: Recombinant protein. Western Blot: Transfected lysate, Recombinant protein. -
说明
-
Target Species of Antibody: Human
-
限制
- 仅限研究用
-
-
-
状态
- Liquid
-
浓度
- Lot specific
-
缓冲液
- PBS, pH 7.4
-
注意事项
- Avoid freeze-thaw cycles.
-
储存条件
- -20 °C,-80 °C
-
储存方法
- Aliquot and store at -20°C or -80°C. Avoid freeze-thaw cycles.
-
-
- CREB1 (cAMP Responsive Element Binding Protein 1 (CREB1))
-
别名
- CREB1 / CREB
-
背景
-
Name/Gene ID: CREB1
Family: Transcription factor
Synonyms: CREB1, CREB-1, Transactivator protein, CREB -
基因ID
- 1385
-
NCBI登录号
- NP_004370
-
UniProt
- P16220
-
途径
- TLR signaling, Fc-epsilon Receptor Signaling Pathway, EGFR Signaling Pathway, Neurotrophin Signaling Pathway, Thyroid Hormone Synthesis, Activation of Innate immune Response, Myometrial Relaxation and Contraction, Regulation of Cell Size, Toll-Like Receptors Cascades, G-protein mediated Events, Interaction of EGFR with phospholipase C-gamma, Positive Regulation of fat Cell Differentiation
抗原
-