RHOA 抗体 (AA 1-194)
Our Local Distributor
北京 101111
Quick Overview for RHOA 抗体 (AA 1-194) (ABIN790447)
抗原
See all RHOA 抗体适用
宿主
克隆类型
标记
应用范围
克隆位点
-
-
抗原表位
- AA 1-194
-
特异性
- Human RHOA
-
纯化方法
- Purified from ascites by Protein A
-
免疫原
-
RHOA (AAH01360, 1 a.a. ~ 194 a.a) full length recombinant protein with GST tag. MW of the GST tag alone is 26 KDa.
Type of Immunogen: Recombinant protein -
亚型
- IgG1 lambda
-
-
-
-
应用备注
-
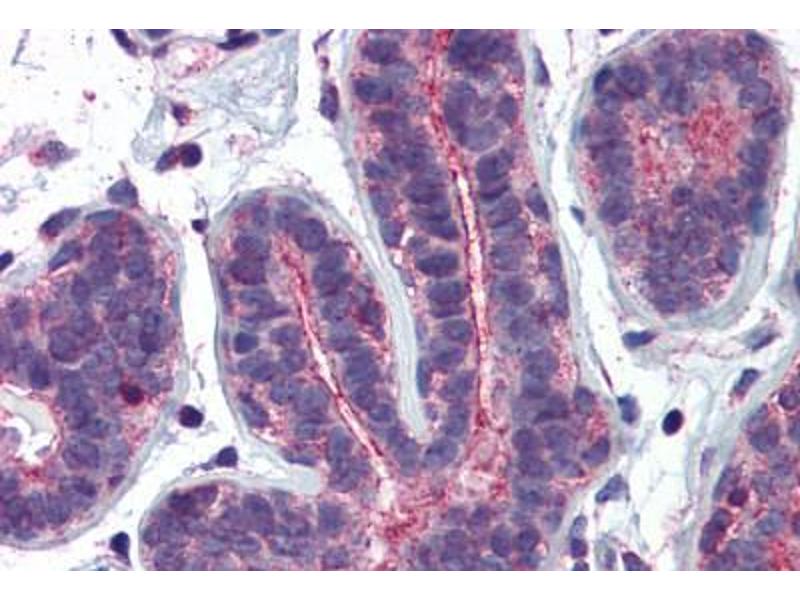
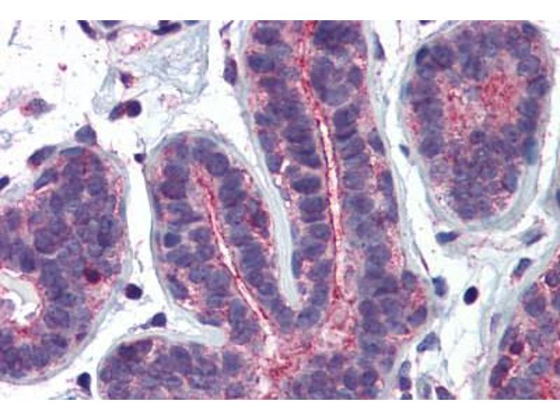
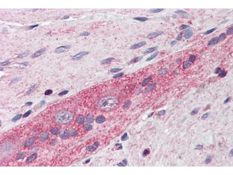
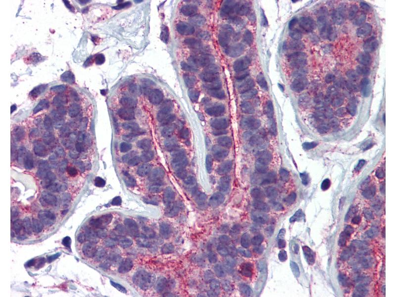
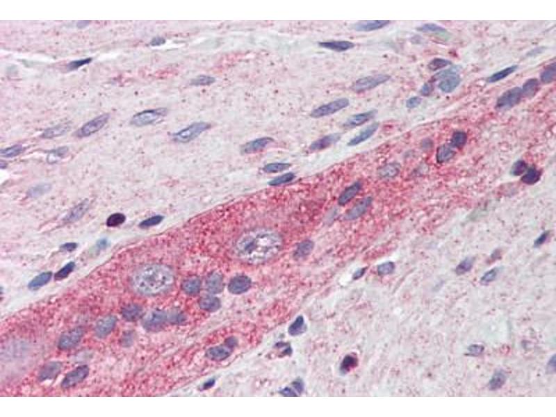
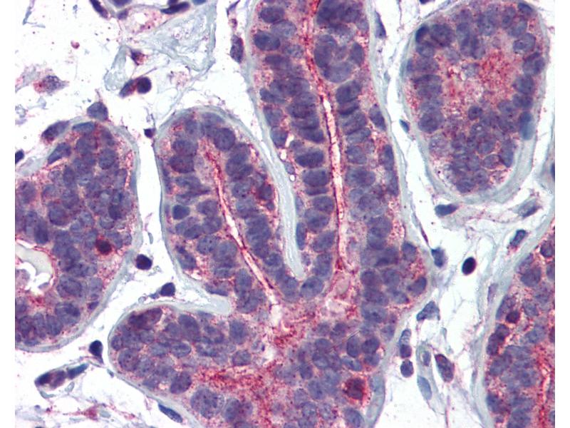
Approved: ELISA, IF (10 μg/mL), IHC, IHC-P (5 μg/mL), WB (1:500 - 1:1000)
Usage: Immunohistochemistry: Formalin-fixed paraffin-embedded sections. Sandwich ELISA: Recombinant protein. Western Blot: Cell lysate, Transfected lysate, Recombinant protein. -
说明
-
Target Species of Antibody: Human
-
限制
- 仅限研究用
-
-
-
状态
- Liquid
-
浓度
- Lot specific
-
缓冲液
- PBS, pH 7.4.
-
注意事项
- Avoid freeze-thaw cycles.
-
储存条件
- -20 °C,-80 °C
-
储存方法
- Aliquot and store at -20°C or -80°C. Avoid freeze-thaw cycles.
-
-
- RHOA (Ras Homolog Gene Family, Member A (RHOA))
-
别名
- RHOA
-
背景
-
Name/Gene ID: RHOA
Family: Ras GTPase superfamily IPR001806
Synonyms: RHOA, ARH12, ARHA, Aplysia ras-related homolog 12, H12, Oncogene RHO H12, Rho cDNA clone 12, RHO12, RHOH12, Ras homolog family member A, Small GTP binding protein RhoA, Transforming protein RhoA -
基因ID
- 387
-
UniProt
- P61586
-
途径
- Microtubule Dynamics, WNT signaling, Neurotrophin Signaling Pathway, Intracellular Steroid Hormone Receptor Signaling Pathway, Regulation of Intracellular Steroid Hormone Receptor Signaling, Regulation of Actin Filament Polymerization, Cell-Cell Junction Organization, Positive Regulation of Endopeptidase Activity, Signaling Events mediated by VEGFR1 and VEGFR2, Thromboxane A2 Receptor Signaling, SARS-CoV-2 Protein Interactome
抗原
-