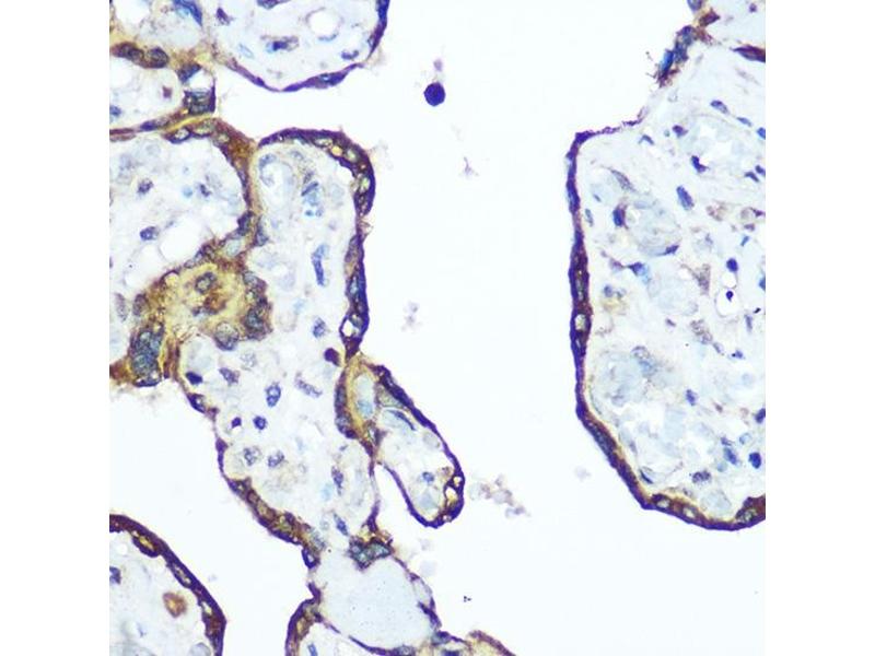
RHOA 抗体 (C-Term)
Our Local Distributor
北京 101111
Quick Overview for RHOA 抗体 (C-Term) (ABIN6146932)
抗原
See all RHOA 抗体适用
宿主
克隆类型
标记
应用范围
-
-
抗原表位
- C-Term
-
序列
- KPEEGRDMAN RIGAFGYMEC SAKTKDGVRE VFEMATRAAL QARRGKKKSG CLVL
-
交叉反应
- 人, 小鼠, 大鼠
-
产品特性
- Polyclonal Antibodies
-
纯化方法
- Affinity purification
-
免疫原
- A synthetic peptide corresponding to a sequence within amino acids 140 to the C-terminus of human RhoA (NP_001655.1).
-
亚型
- IgG
-
-
-
-
应用备注
- WB,1:500 - 1:2000,IHC,1:50 - 1:200,IP,1:50 - 1:200
-
限制
- 仅限研究用
-
-
-
状态
- Liquid
-
缓冲液
- PBS with 0.02 % sodium azide,50 % glycerol, pH 7.3.
-
储存液
- Sodium azide
-
注意事项
- This product contains Sodium azide: a POISONOUS AND HAZARDOUS SUBSTANCE which should be handled by trained staff only.
-
储存条件
- -20 °C
-
储存方法
- Store at -20°C. Avoid freeze / thaw cycles.
-
-
- RHOA (Ras Homolog Gene Family, Member A (RHOA))
-
别名
- RHOA
-
背景
- This gene encodes a member of the Rho family of small GTPases, which cycle between inactive GDP-bound and active GTP-bound states and function as molecular switches in signal transduction cascades. Rho proteins promote reorganization of the actin cytoskeleton and regulate cell shape, attachment, and motility. Overexpression of this gene is associated with tumor cell proliferation and metastasis. Multiple alternatively spliced variants have been identified.,ARH12,ARHA,RHO12,RHOH12,Rho,RHOA,RhoA,Cancer,Signal Transduction,G protein signaling,Signal Transduction,MAPK-JNK Signaling Pathway,Cell Biology & Developmental Biology,Cell Adhesion,Cytoskeleton,Microfilaments,Microtubules,Actins,TGF-b-Smad Signaling Pathway,Immunology & Inflammation,B Cell Receptor Signaling Pathway,RHOA
-
分子量
- 21 kDa
-
基因ID
- 387
-
UniProt
- P61586
-
途径
- Microtubule Dynamics, WNT signaling, Neurotrophin Signaling Pathway, Intracellular Steroid Hormone Receptor Signaling Pathway, Regulation of Intracellular Steroid Hormone Receptor Signaling, Regulation of Actin Filament Polymerization, Cell-Cell Junction Organization, Positive Regulation of Endopeptidase Activity, Signaling Events mediated by VEGFR1 and VEGFR2, Thromboxane A2 Receptor Signaling, SARS-CoV-2 Protein Interactome
抗原
-