电话:
+86 (0512) 65829739
传真:
+86 (010) 6788 5057
电子邮件:
orders@antibodies-online.cn

Retinoblastoma Binding Protein 8 抗体

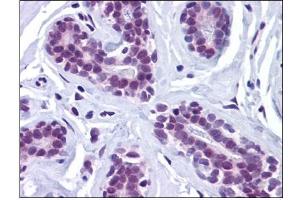
The 兔 多克隆 anti-Retinoblastoma Binding Protein 8 antibody is suitable to detect Retinoblastoma Binding Protein 8 in samples from 人, 小鼠 和 大鼠. It has been validated for WB, IHC (p), IHC (fro) 和 EIA.
产品编号 ABIN784052
发货至: 中国
Contact our Customer Service for availability and price in your country. Contact Info

Our Local Distributor

中国
北京 101111
No. 88 KeChuang 6th Street
Beijing Economic Technological Development Area
Room 801-803
4A Biotech Co.,Ltd.
Tel +86 (0512) 65829739 传真 +86 (010) 6788 5057

Quick Overview for Retinoblastoma Binding Protein 8 抗体 (ABIN784052)

抗原

See all Retinoblastoma Binding Protein 8 (RBBP8) 抗体
Retinoblastoma Binding Protein 8 (RBBP8)

适用

  • 53
  • 23
  • 3
  • 3
  • 2
  • 2
  • 2
  • 2
  • 1
  • 1
  • 1
  • 1
人, 小鼠, 大鼠

宿主

  • 52
  • 3

克隆类型

  • 52
  • 3
多克隆

标记

  • 39
  • 3
  • 3
  • 2
  • 1
  • 1
  • 1
  • 1
  • 1
  • 1
  • 1
  • 1
This Retinoblastoma Binding Protein 8 antibody is un-conjugated

应用范围

  • 33
  • 25
  • 12
  • 5
  • 5
  • 3
  • 2
  • 2
  • 1
  • 1
  • 1
  • 1
  • 1
  • 1
Western Blotting (WB), Immunohistochemistry (Paraffin-embedded Sections) (IHC (p)), Immunohistochemistry (Frozen Sections) (IHC (fro)), Enzyme Immunoassay (EIA)
You are here: