电话:
+86 (0512) 65829739
传真:
+86 (010) 6788 5057
电子邮件:
orders@antibodies-online.cn

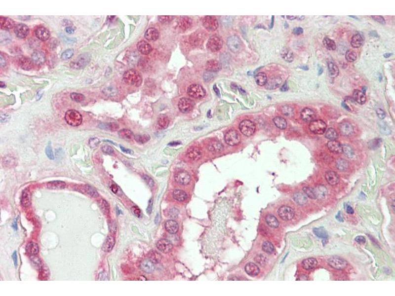
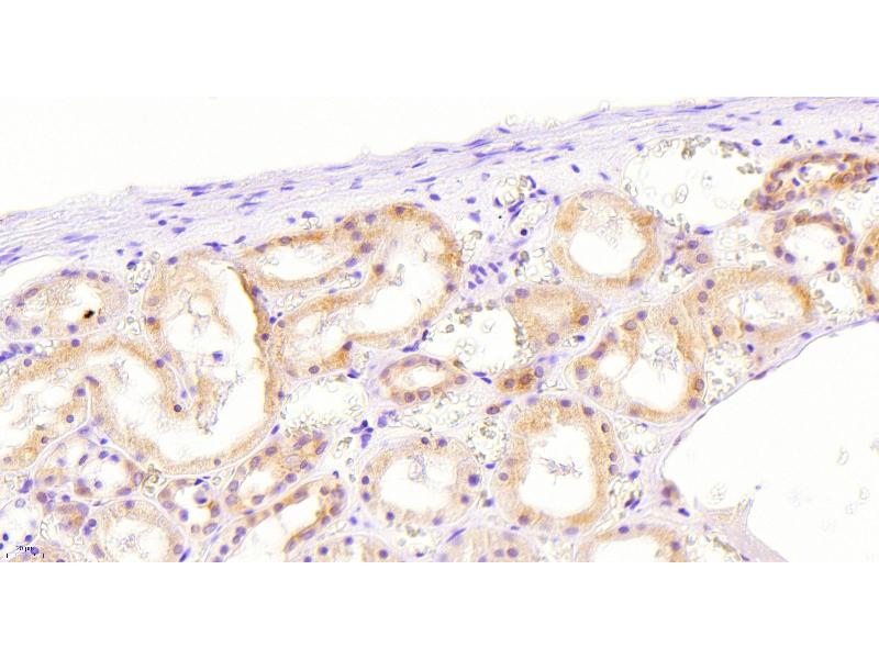
NOX1 抗体 (Internal Region)

This 山羊 多克隆 antibody specifically detects NOX1 in WB 和 ELISA. It exhibits reactivity toward 人.
产品编号 ABIN768583
发货至: 中国
Contact our Customer Service for availability and price in your country. Contact Info

Our Local Distributor

中国
北京 101111
No. 88 KeChuang 6th Street
Beijing Economic Technological Development Area
Room 801-803
4A Biotech Co.,Ltd.
Tel +86 (0512) 65829739 传真 +86 (010) 6788 5057

Quick Overview for NOX1 抗体 (Internal Region) (ABIN768583)

抗原

See all NOX1 抗体
NOX1 (NADPH Oxidase 1 (NOX1))

适用

  • 43
  • 9
  • 7
  • 4
  • 2
  • 2
  • 2
  • 2
  • 2
  • 1
  • 1
  • 1
  • 1

宿主

  • 45
  • 2
山羊

克隆类型

  • 46
  • 2
多克隆

标记

  • 32
  • 3
  • 2
  • 2
  • 2
  • 1
  • 1
  • 1
  • 1
  • 1
  • 1
  • 1
This NOX1 antibody is un-conjugated

应用范围

  • 34
  • 21
  • 14
  • 7
  • 5
  • 4
  • 4
  • 2
  • 1
  • 1
  • 1
  • 1
Western Blotting (WB), ELISA

质量等级

Verified
  • 抗原表位

    • 8
    • 6
    • 5
    • 3
    • 2
    • 2
    • 2
    • 2
    • 2
    • 2
    • 2
    • 1
    • 1
    • 1
    • 1
    • 1
    • 1
    Internal Region

    原理

    NOX1

    序列

    DKATDIVTGL KQK

    特异性

    This antibody is expected to recognize both reported isoforms (NP_008983.2, NP_39249.1).

    交叉反应

    纯化方法

    Purified from goat serum by ammonium sulphate precipitation followed by antigen affinity chromatography using the immunizing peptide.

    免疫原

    Peptide with sequence C-DKATDIVTGLKQK, from the internal region of the protein sequence according to NP_008983.2, NP_39249.1.

    亚型

    IgG
  • 应用备注

    Western Blot: Approx 70-72 kDa band observed in lysates of cell lines A549, CaCo-2, HeLa and U937, (calculated MW of 64.9 kDa according to NP_008983.2,). This molecular weight is routinely observed by other sources and was successfully blocked by incubatio

    Peptide ELISA: antibody detection limit dilution 1:32000.

    限制

    仅限研究用
  • 状态

    Liquid

    浓度

    0.5 mg/mL

    缓冲液

    Supplied at 0.5 mg/mL in Tris saline, 0.02 % sodium azide, pH 7.3 with 0.5 % bovine serum albumin.

    储存液

    Sodium azide

    注意事项

    This product contains Sodium azide: a POISONOUS AND HAZARDOUS SUBSTANCE which should be handled by trained staff only.

    注意事项

    Minimize freezing and thawing.

    储存条件

    -20 °C

    储存方法

    Aliquot and store at -20°C, with minimal freeze/thawing. A working aliquot may be refrigerated at 4°C for a few weeks and still remain viable.
  • 抗原

    NOX1 (NADPH Oxidase 1 (NOX1))

    别名

    NOX1

    背景

    NOX1, NADPH oxidase 1, GP91-2, MOX1, NOH-1, NOH1, MOX-1, NADH/NADPH mitogenic oxidase subunit P65-MOX, NADPH oxidase 1 variant NOH-1L, NADPH oxidase homolog-1, NOX-1, mitogenic oxidase (pyridine nucleotide-dependent superoxide-generating), mitogenic oxida

    分子量

    64.9kDa according to NP_008983.2

    基因ID

    27035, 237038

    NCBI登录号

    NP_008983, NP_39249

    途径

    Regulation of Systemic Arterial Blood Pressure by Hormones, Proton Transport
You are here: