电话:
+86 (0512) 65829739
传真:
+86 (010) 6788 5057
电子邮件:
orders@antibodies-online.cn

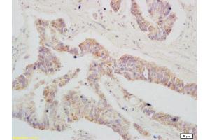
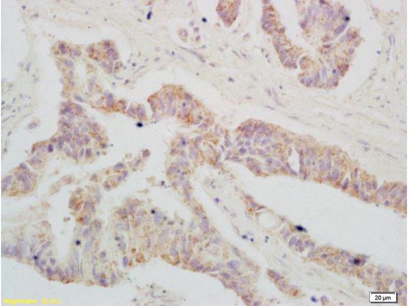
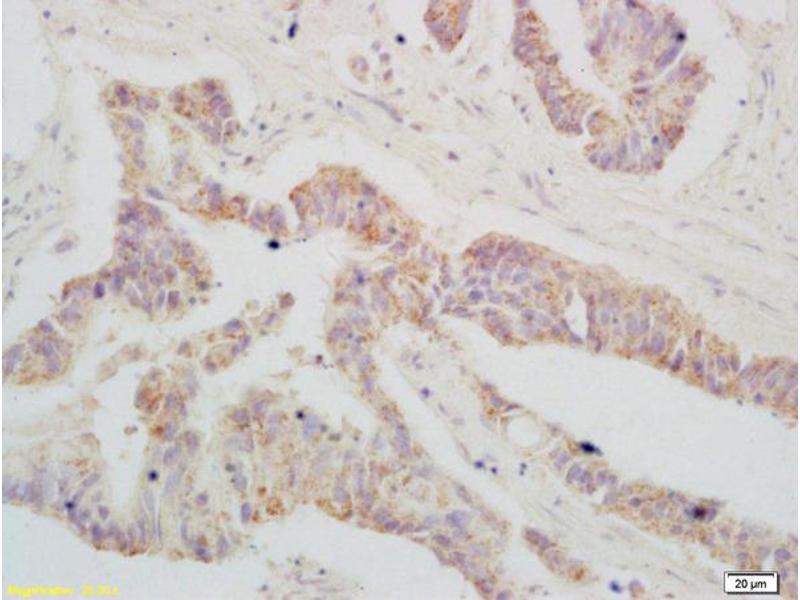
NOX1 抗体 (AA 425-515)

This 兔 多克隆 antibody specifically detects NOX1 in WB, ELISA, IHC (p), IF (cc), IF (p) 和 IHC (fro). It exhibits reactivity toward 人, 小鼠 和 大鼠. It has been mentioned in 2+ publications
产品编号 ABIN702580
发货至: 中国
Contact our Customer Service for availability and price in your country. Contact Info

Our Local Distributor

中国
北京 101111
No. 88 KeChuang 6th Street
Beijing Economic Technological Development Area
Room 801-803
4A Biotech Co.,Ltd.
Tel +86 (0512) 65829739 传真 +86 (010) 6788 5057

Quick Overview for NOX1 抗体 (AA 425-515) (ABIN702580)

抗原

See all NOX1 抗体
NOX1 (NADPH Oxidase 1 (NOX1))

适用

  • 43
  • 8
  • 6
  • 4
  • 2
  • 2
  • 2
  • 2
  • 2
  • 1
  • 1
  • 1
  • 1
人, 小鼠, 大鼠

宿主

  • 44
  • 2
  • 1

克隆类型

  • 46
  • 2
多克隆

标记

  • 32
  • 3
  • 2
  • 2
  • 2
  • 1
  • 1
  • 1
  • 1
  • 1
  • 1
  • 1
This NOX1 antibody is un-conjugated

应用范围

  • 34
  • 21
  • 14
  • 6
  • 5
  • 4
  • 4
  • 2
  • 1
Western Blotting (WB), ELISA, Immunohistochemistry (Paraffin-embedded Sections) (IHC (p)), Immunofluorescence (Cultured Cells) (IF (cc)), Immunofluorescence (Paraffin-embedded Sections) (IF (p)), Immunohistochemistry (Frozen Sections) (IHC (fro))
  • 抗原表位

    • 8
    • 6
    • 5
    • 4
    • 2
    • 2
    • 2
    • 2
    • 2
    • 2
    • 2
    • 1
    • 1
    • 1
    • 1
    • 1
    AA 425-515

    交叉反应

    人, 小鼠, 大鼠

    预测反应

    Dog,Cow,Horse,Rabbit

    纯化方法

    Purified by Protein A.

    免疫原

    KLH conjugated synthetic peptide derived from human Nox1

    亚型

    IgG
  • 应用备注

    WB 1:300-5000
    ELISA 1:500-1000
    IHC-P 1:200-400
    IHC-F 1:100-500
    IF(IHC-P) 1:50-200
    IF(IHC-F) 1:50-200
    IF(ICC) 1:50-200

    限制

    仅限研究用
  • 状态

    Liquid

    浓度

    1 μg/μL

    缓冲液

    0.01M TBS( pH 7.4) with 1 % BSA, 0.02 % Proclin300 and 50 % Glycerol.

    储存液

    ProClin

    注意事项

    This product contains ProClin: a POISONOUS AND HAZARDOUS SUBSTANCE, which should be handled by trained staff only.

    储存条件

    4 °C,-20 °C

    储存方法

    Shipped at 4°C. Store at -20°C for one year. Avoid repeated freeze/thaw cycles.

    有效期

    12 months
  • Yun, Gao, Yue, Guo, Li, Sang: "Sulfate Aerosols Promote Lung Cancer Metastasis by Epigenetically Regulating the Epithelial-to-Mesenchymal Transition (EMT)." in: Environmental science & technology, Vol. 51, Issue 19, pp. 11401-11411, (2018) (PubMed).

    Kashiwabara, Ambe, Nakagawa, Watanabe: "Immunohistochemical localization of Nox in mouse circumvallate papillae." in: Tissue & cell, Vol. 47, Issue 6, pp. 550-8, (2015) (PubMed).

  • 抗原

    NOX1 (NADPH Oxidase 1 (NOX1))

    别名

    Nox1/NADPH oxidase 1

    背景

    Synonyms: MOX1, NOH1, NOH-1, GP91-2, NADPH oxidase 1, NOX-1, Mitogenic oxidase 1, MOX-1, NADH/NADPH mitogenic oxidase subunit P65-MOX, NOX1

    Background: NOH-1S is a voltage-gated proton channel that mediates the H(+) currents of resting phagocytes and other tissues. It participates in the regulation of cellular pH and is blocked by zinc. NOH-1L is a pyridine nucleotide-dependent oxidoreductase that generates superoxide and might conduct H(+) ions as part of its electron transport mechanism, whereas NOH-1S does not contain an electron transport chain.

    基因ID

    27035

    UniProt

    Q9Y5S8

    途径

    Regulation of Systemic Arterial Blood Pressure by Hormones, Proton Transport
You are here: