p21 抗体 (pThr145)
Our Local Distributor
北京 101111
Quick Overview for p21 抗体 (pThr145) (ABIN756862)
抗原
See all p21 (CDKN1A) 抗体适用
宿主
克隆类型
标记
应用范围
-
-
抗原表位
- pThr145
-
特异性
- This phosphorylation site is homologous to that of Thr140 in Mouse and Thr145 is Rat.
-
交叉反应
- 人, 小鼠, 大鼠
-
纯化方法
- Purified by Protein A.
-
免疫原
- KLH conjugated synthetic phosphopeptide derived from human CDKN1A around the phosphorylation site of Thr145 [RQ(p-T)S]
-
亚型
- IgG
-
-
-
-
应用备注
-
WB 1:300-5000
ELISA 1:500-1000
FCM 1:20-100
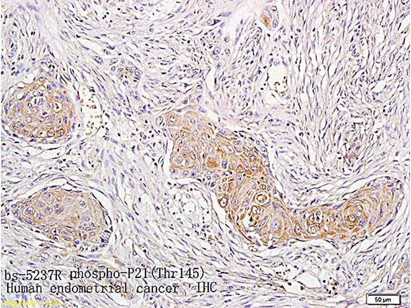
IHC-P 1:200-400
IHC-F 1:100-500
IF(IHC-P) 1:50-200
IF(IHC-F) 1:50-200
IF(ICC) 1:50-200 -
限制
- 仅限研究用
-
-
-
状态
- Liquid
-
浓度
- 1 μg/μL
-
缓冲液
- 0.01M TBS( pH 7.4) with 1 % BSA, 0.02 % Proclin300 and 50 % Glycerol.
-
储存液
- ProClin
-
注意事项
- This product contains ProClin: a POISONOUS AND HAZARDOUS SUBSTANCE, which should be handled by trained staff only.
-
储存条件
- 4 °C,-20 °C
-
储存方法
- Shipped at 4°C. Store at -20°C for one year. Avoid repeated freeze/thaw cycles.
-
有效期
- 12 months
-
-
- p21 (CDKN1A) (Cyclin-Dependent Kinase Inhibitor 1A (p21, Cip1) (CDKN1A))
-
别名
- CDKN1A
-
背景
-
Synonyms: P21, CIP1, SDI1, WAF1, CAP20, CDKN1, MDA-6, p21CIP1, Cyclin-dependent kinase inhibitor 1, CDK-interacting protein 1, Melanoma differentiation-associated protein 6, CDKN1A, MDA6, PIC1
Background: May be the important intermediate by which p53/TP53 mediates its role as an inhibitor of cellular proliferation in response to DNA damage. Binds to and inhibits cyclin-dependent kinase activity, preventing phosphorylation of critical cyclin-dependent kinase substrates and blocking cell cycle progression. Functions in the nuclear localization and assembly of cyclin D-CDK4 complex and promotes its kinase activity towards RB1. At higher stoichiometric ratios, inhibits the kinase activity of the cyclin D-CDK4 complex.
-
基因ID
- 1026
-
UniProt
- P38936
-
途径
- p53 Pathway, PI3K-Akt Signaling, Cell Division Cycle, AMPK Signaling, Fc-epsilon Receptor Signaling Pathway, EGFR Signaling Pathway, Neurotrophin Signaling Pathway, Mitotic G1-G1/S Phases, DNA Replication, Hepatitis C, Synthesis of DNA, Autophagy
抗原
-