电话:
+86 (0512) 65829739
传真:
+86 (010) 6788 5057
电子邮件:
orders@antibodies-online.cn

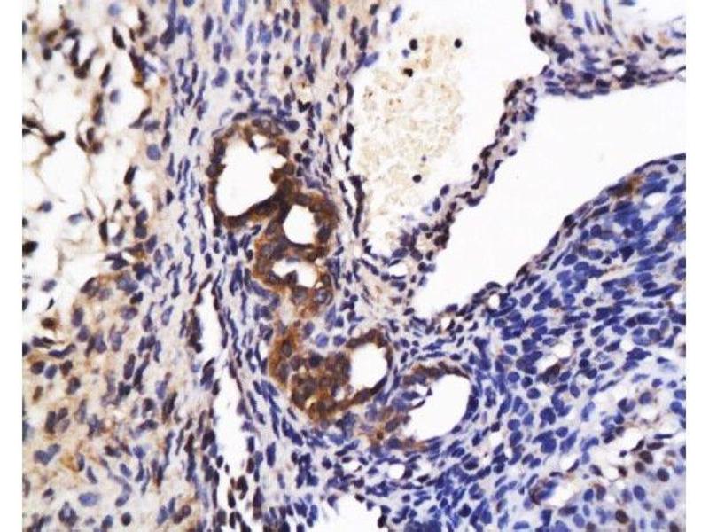
Apelin Receptor 抗体 (AA 52-66)

Cited in 2+ publications. The 兔 多克隆 anti-Apelin Receptor antibody (ABIN740160) specifically detects Apelin Receptor in WB, IF (p), IHC (p) 和 FACS. The antibody is reactive with 人, 大鼠 和 小鼠 samples.
产品编号 ABIN740160
发货至: 中国
Contact our Customer Service for availability and price in your country. Contact Info

Our Local Distributor

中国
北京 101111
No. 88 KeChuang 6th Street
Beijing Economic Technological Development Area
Room 801-803
4A Biotech Co.,Ltd.
Tel +86 (0512) 65829739 传真 +86 (010) 6788 5057

Quick Overview for Apelin Receptor 抗体 (AA 52-66) (ABIN740160)

抗原

See all Apelin Receptor (APLNR) 抗体
Apelin Receptor (APLNR)

适用

  • 80
  • 44
  • 41
  • 4
  • 3
  • 3
  • 2
  • 2
  • 2
  • 1
  • 1
人, 大鼠, 小鼠

宿主

  • 81
  • 2
  • 2
  • 1

克隆类型

  • 82
  • 3
多克隆

标记

  • 36
  • 7
  • 6
  • 4
  • 3
  • 2
  • 2
  • 2
  • 2
  • 2
  • 2
  • 2
  • 2
  • 2
  • 2
  • 2
  • 1
  • 1
  • 1
  • 1
  • 1
  • 1
  • 1
  • 1
This Apelin Receptor antibody is un-conjugated

应用范围

  • 61
  • 27
  • 25
  • 16
  • 15
  • 14
  • 13
  • 5
  • 4
  • 4
  • 2
  • 1
  • 1
  • 1
  • 1
  • 1
Western Blotting (WB), Immunofluorescence (Paraffin-embedded Sections) (IF (p)), Immunohistochemistry (Paraffin-embedded Sections) (IHC (p)), Flow Cytometry (FACS)
  • 抗原表位

    • 16
    • 15
    • 6
    • 5
    • 3
    • 3
    • 3
    • 3
    • 2
    • 1
    • 1
    • 1
    • 1
    • 1
    • 1
    • 1
    • 1
    • 1
    • 1
    • 1
    • 1
    • 1
    • 1
    • 1
    • 1
    AA 52-66

    交叉反应

    人, 小鼠, 大鼠

    纯化方法

    Purified by Protein A.

    免疫原

    KLH conjugated synthetic peptide derived from human Apelin receptor (cytoplasmic domain)

    亚型

    IgG
  • 应用备注

    WB 1:100-1000
    FCM 1:20-100
    IHC-P 1:100-500
    IF(IHC-P) 1:50-200

    限制

    仅限研究用
  • 状态

    Liquid

    浓度

    1 μg/μL

    缓冲液

    Aqueous buffered solution containing 1 % BSA, 50 % glycerol and 0.09 % sodium azide.

    储存液

    Sodium azide

    注意事项

    This product contains Sodium azide: a POISONOUS AND HAZARDOUS SUBSTANCE, which should be handled by trained staff only.

    储存条件

    -20 °C

    储存方法

    Store at -20°C for 12 months.

    有效期

    12 months
  • Izgüt-Uysal, Gemici, Birsen, Acar, Üstünel: "The effect of apelin on the functions of peritoneal macrophages." in: Physiological research, Vol. 66, Issue 3, pp. 489-496, (2017) (PubMed).

    Ustunel, Acar, Gemici, Ozbey, Edizer, Soylu, Tepekoy, Izgut-Uysal: "The effects of water immersion and restraint stress on the expressions of apelin, apelin receptor (APJR) and apoptosis rate in the rat heart." in: Acta histochemica, Vol. 116, Issue 5, pp. 675-81, (2014) (PubMed).

  • 抗原

    Apelin Receptor (APLNR)

    别名

    Apj Receptor

    背景

    Synonyms: APJ, APJR, HG11, AGTRL1, Apelin receptor, Angiotensin receptor-like 1, G-protein coupled receptor APJ, G-protein coupled receptor HG11, APLNR

    Background: Receptor for apelin coupled to G proteins that inhibit adenylate cyclase activity and plays a role in various processes in adults such as regulation of blood pressure, heart contractility, and heart failure. Also plays a key role in early development such as gastrulation and heart morphogenesis by acting as a receptor for APELA hormone. Alternative coreceptor with CD4 for HIV-1 infection, may be involved in the development of AIDS dementia.

    基因ID

    187

    UniProt

    P35414
You are here: