电话:
+86 (0512) 65829739
传真:
+86 (010) 6788 5057
电子邮件:
orders@antibodies-online.cn

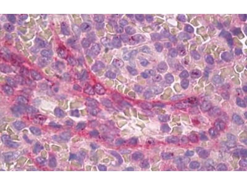
Apelin Receptor 抗体 (C-Term)

The 兔 多克隆 anti-Apelin Receptor antibody is suitable to detect Apelin Receptor in samples from 人, 小鼠, 兔, Hamster 和 猴. It has been validated for WB, IHC 和 IHC (p).
产品编号 ABIN1493132
发货至: 中国
Contact our Customer Service for availability and price in your country. Contact Info

Our Local Distributor

中国
北京 101111
No. 88 KeChuang 6th Street
Beijing Economic Technological Development Area
Room 801-803
4A Biotech Co.,Ltd.
Tel +86 (0512) 65829739 传真 +86 (010) 6788 5057

Quick Overview for Apelin Receptor 抗体 (C-Term) (ABIN1493132)

抗原

See all Apelin Receptor (APLNR) 抗体
Apelin Receptor (APLNR)

适用

  • 80
  • 45
  • 41
  • 4
  • 2
  • 2
  • 2
  • 2
  • 1
  • 1
  • 1
人, 小鼠, 兔, Hamster, 猴

宿主

  • 81
  • 2
  • 2
  • 1

克隆类型

  • 82
  • 3
多克隆

标记

  • 36
  • 7
  • 6
  • 4
  • 3
  • 2
  • 2
  • 2
  • 2
  • 2
  • 2
  • 2
  • 2
  • 2
  • 2
  • 2
  • 1
  • 1
  • 1
  • 1
  • 1
  • 1
  • 1
  • 1
This Apelin Receptor antibody is un-conjugated

应用范围

  • 61
  • 27
  • 26
  • 15
  • 15
  • 15
  • 13
  • 5
  • 4
  • 4
  • 2
  • 1
  • 1
  • 1
  • 1
  • 1
Western Blotting (WB), Immunohistochemistry (IHC), Immunohistochemistry (Paraffin-embedded Sections) (IHC (p))
  • 抗原表位

    • 16
    • 16
    • 6
    • 5
    • 3
    • 3
    • 3
    • 2
    • 2
    • 1
    • 1
    • 1
    • 1
    • 1
    • 1
    • 1
    • 1
    • 1
    • 1
    • 1
    • 1
    • 1
    • 1
    • 1
    • 1
    C-Term

    特异性

    Mouse Apelin Receptor

    预测反应

    Percent identity by BLAST analysis: Human, Mouse (100%) Rabbit (85%).

    纯化方法

    Immunoaffinity purified

    免疫原

    Synthetic peptide from C-Terminus of mouse Aplnr (Q9WV08, NP_035914). Percent identity by BLAST analysis: Human, Gorilla, Orangutan, Gibbon, Monkey, Marmoset, Mouse, Hamster (100%), Galago, Horse (92%), Rat, Panda, Rabbit (85%).

    Type of Immunogen: Synthetic peptide
  • 应用备注

    Approved: IHC, IHC-P (5 - 10 μg/mL), WB

    说明

    Target Species of Antibody: Mouse

    限制

    仅限研究用
  • 状态

    Liquid

    浓度

    Lot specific

    缓冲液

    PBS, 0.09% sodium azide, 2% sucrose

    储存液

    Sodium azide

    注意事项

    This product contains Sodium azide: a POISONOUS AND HAZARDOUS SUBSTANCE which should be handled by trained staff only.

    注意事项

    Avoid repeat freeze-thaw cycles.

    储存条件

    4 °C,-20 °C

    储存方法

    Long term: -20°C, the use of 50% glycerol is recommended if storing aliquots in -20°C for long term use (up to 1 year)
    Short term (less than 1 week): 4°C. Avoid freeze-thaw cycles.
  • 抗原

    Apelin Receptor (APLNR)

    别名

    APLNR/ Apelin Receptor / APJ

    背景

    Name/Gene ID: APLNR
    Subfamily: Apelin
    Family: GPCR

    Synonyms: APLNR, AGTRL1, Angiotensin receptor-like 1, Angiotensin II receptor-like 1, Apelin receptor, APJ, APJ (apelin) receptor, APJR, G protein-coupled receptor APJ, HG11 orphan receptor, HG11, APJ receptor, G-protein coupled receptor APJ

    基因ID

    187

    NCBI登录号

    NP_035914

    UniProt

    P35414
You are here: