G-CSF 抗体 (AA 155-198)
Our Local Distributor
北京 101111
Quick Overview for G-CSF 抗体 (AA 155-198) (ABIN736521)
抗原
See all G-CSF (CSF3) 抗体适用
宿主
克隆类型
标记
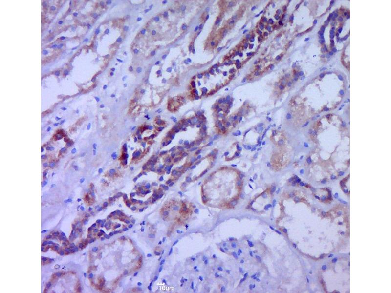
应用范围
-
-
抗原表位
- AA 155-198
-
交叉反应
- 人, 小鼠, 大鼠
-
预测反应
- Cow,Sheep,Pig
-
纯化方法
- Purified by Protein A.
-
免疫原
- KLH conjugated synthetic peptide derived from human CSF3
-
亚型
- IgG
-
-
-
-
应用备注
-
WB 1:300-5000
ELISA 1:500-1000
IHC-P 1:200-400
IHC-F 1:100-500
IF(IHC-P) 1:50-200
IF(IHC-F) 1:50-200
IF(ICC) 1:50-200 -
限制
- 仅限研究用
-
-
-
状态
- Liquid
-
浓度
- 1 μg/μL
-
缓冲液
- 0.01M TBS( pH 7.4) with 1 % BSA, 0.02 % Proclin300 and 50 % Glycerol.
-
储存液
- ProClin
-
注意事项
- This product contains ProClin: a POISONOUS AND HAZARDOUS SUBSTANCE, which should be handled by trained staff only.
-
储存条件
- 4 °C,-20 °C
-
储存方法
- Shipped at 4°C. Store at -20°C for one year. Avoid repeated freeze/thaw cycles.
-
有效期
- 12 months
-
-
-
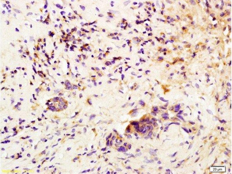
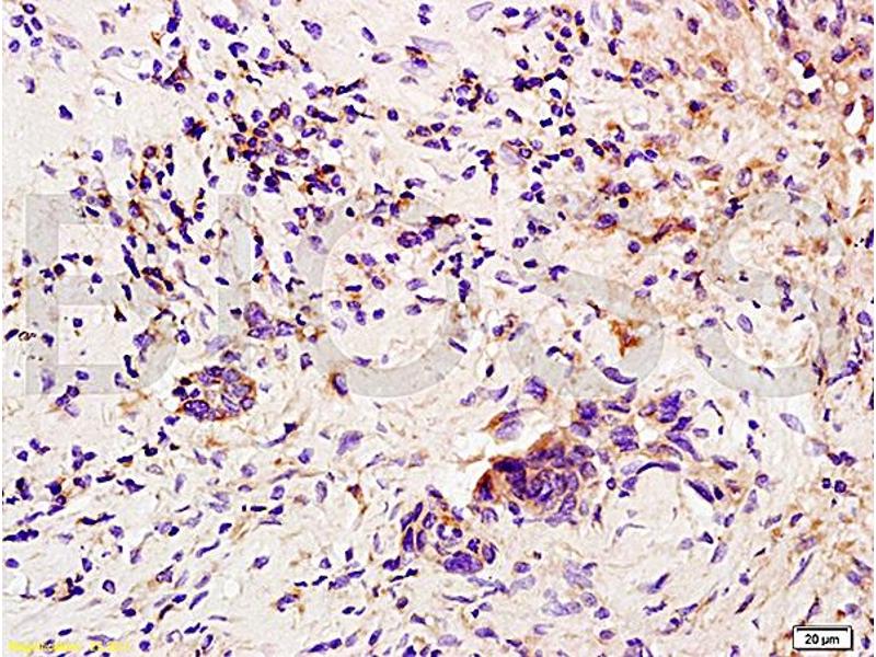
: "The mRNA expressions and immunohistochemistry of factors involved in angiogenesis and lymphangiogenesis in the early stage of rat skin incision wounds." in: Legal medicine (Tokyo, Japan), Vol. 17, Issue 4, pp. 255-60, (2015) (PubMed).
-
-
- G-CSF (CSF3) (Colony Stimulating Factor 3 (Granulocyte) (CSF3))
-
别名
- CSF3
-
背景
-
Synonyms: GCSF, CSF3OS, C17orf33, Granulocyte colony-stimulating factor, G-CSF, Pluripoietin, CSF3
Background: Granulocyte/macrophage colony-stimulating factors are cytokines that act in hematopoiesis by controlling the production, differentiation, and function of 2 related white cell populations of the blood, the granulocytes and the monocytes-macrophages. This CSF induces granulocytes.
-
基因ID
- 1440
-
UniProt
- P09919
-
途径
- Cellular Response to Molecule of Bacterial Origin, Regulation of Actin Filament Polymerization
抗原
-