电话:
+86 (0512) 65829739
传真:
+86 (010) 6788 5057
电子邮件:
orders@antibodies-online.cn

Recombinant G-CSF 抗体

This 小鼠 单克隆 antibody specifically detects G-CSF in IHC 和 StM. It exhibits reactivity toward 人 和 Macaque.
产品编号 ABIN6939193
发货至: 中国
Contact our Customer Service for availability and price in your country. Contact Info

Our Local Distributor

中国
北京 101111
No. 88 KeChuang 6th Street
Beijing Economic Technological Development Area
Room 801-803
4A Biotech Co.,Ltd.
Tel +86 (0512) 65829739 传真 +86 (010) 6788 5057

Quick Overview for Recombinant G-CSF 抗体 (ABIN6939193)

抗原

See all G-CSF (CSF3) 抗体
G-CSF (CSF3) (Colony Stimulating Factor 3 (Granulocyte) (CSF3))

抗体类型

Recombinant Antibody

适用

  • 129
  • 39
  • 31
  • 29
  • 3
  • 1
人, Macaque

宿主

  • 90
  • 45
  • 12
  • 2
  • 1
小鼠

克隆类型

  • 78
  • 72
单克隆

标记

  • 74
  • 13
  • 7
  • 4
  • 3
  • 3
  • 3
  • 3
  • 3
  • 3
  • 3
  • 3
  • 2
  • 2
  • 2
  • 2
  • 2
  • 2
  • 2
  • 1
  • 1
  • 1
  • 1
  • 1
  • 1
  • 1
  • 1
  • 1
  • 1
  • 1
  • 1
  • 1
  • 1
This G-CSF antibody is un-conjugated

应用范围

  • 88
  • 47
  • 44
  • 25
  • 25
  • 23
  • 20
  • 16
  • 13
  • 13
  • 10
  • 9
  • 7
  • 7
  • 5
  • 3
  • 2
  • 2
  • 2
  • 1
  • 1
  • 1
Immunohistochemistry (IHC), Staining Methods (StM)

克隆位点

RCSF3-900
  • 特异性

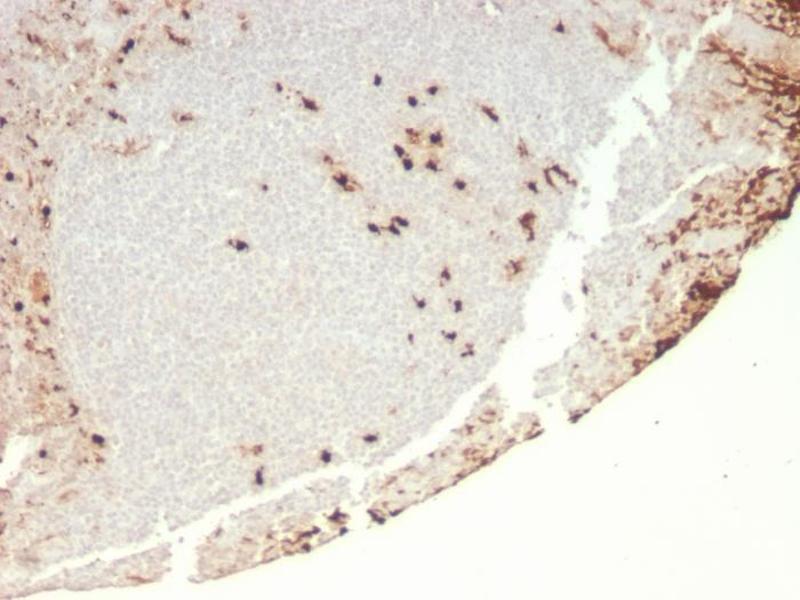
    This MAb recognizes granulocyte-colony stimulating factor (G-CSF) in the cytoplasm of mature granulocytes. It shows no reactivity with any other cell types. Markers of myeloid cells are useful in the identification of different levels of cellular differentiation. It reacts with early precursor and mature forms of myeloid cells. It is useful for the detection of myeloid leukemias and granulocytic sarcomas. It can be used as a marker of granulocytes in normal tissues or inflammatory processes. G-CSF is a pleiotropic cytokine that influences differentiation, proliferation and activation of the neutrophilic granulocyte lineage. The human G-CSF cDNA encodes a 207 amino acid precursor containing a 29 amino acid signal peptide that is proteolytically cleaved to form a 178 amino acid residue mature protein. Two G-CSF s, which are identical except for a three amino acid deletion in the amino-terminus of one form of the protein have been isolated from human cells. Murine and human G-CSF s share 73 % sequence identity at the amino acid level.

    纯化方法

    Purified by Protein A/G

    免疫原

    Recombinant full-length human CSF3 protein

    亚型

    IgG1 kappa
  • 应用备注

    Positive Control: Tonsil or lymph node (IHC).

    Known Application: Immunohistochemistry (Formalin-fixed) (1-2 μg/mL for 30 minutes at RT) ,(Staining of formalin-fixed tissues requires boiling tissue sections in 10 mM citrate buffer, pH 6.0, for 10-20 min followed by cooling at RT for 20 minutes),Optimal dilution for a specific application should be determined.

    限制

    仅限研究用
  • 浓度

    200 μg/mL

    缓冲液

    10 mM PBS with 0.05 % BSA & 0.05 % azide.

    储存液

    Sodium azide

    注意事项

    This product contains Sodium azide: a POISONOUS AND HAZARDOUS SUBSTANCE which should be handled by trained staff only.

    储存条件

    4 °C,-80 °C

    储存方法

    Antibody with azide - store at 2 to 8°C. Antibody without azide - store at -20 to -80°C. Antibody is stable for 24 months. Non-hazardous. No MSDS required.

    有效期

    24 months
  • 抗原

    G-CSF (CSF3) (Colony Stimulating Factor 3 (Granulocyte) (CSF3))

    别名

    CSF3

    分子量

    19kDa

    基因ID

    1440

    UniProt

    P09919

    途径

    Cellular Response to Molecule of Bacterial Origin, Regulation of Actin Filament Polymerization
You are here: