电话:
+86 (0512) 65829739
传真:
+86 (010) 6788 5057
电子邮件:
orders@antibodies-online.cn

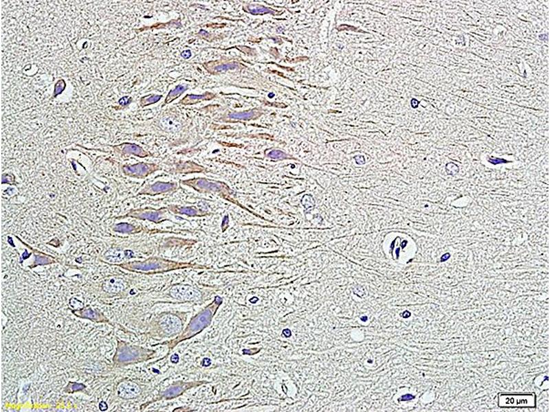
Neuregulin 1 抗体 (AA 221-320)

The 兔 多克隆 anti-Neuregulin 1 antibody is suitable to detect Neuregulin 1 in samples from 人, 大鼠 和 小鼠. It has been validated for WB, ELISA, FACS, IF (p), IF (cc), IHC (p) 和 IHC (fro).
产品编号 ABIN734873
发货至: 中国
Contact our Customer Service for availability and price in your country. Contact Info

Our Local Distributor

中国
北京 101111
No. 88 KeChuang 6th Street
Beijing Economic Technological Development Area
Room 801-803
4A Biotech Co.,Ltd.
Tel +86 (0512) 65829739 传真 +86 (010) 6788 5057

Quick Overview for Neuregulin 1 抗体 (AA 221-320) (ABIN734873)

抗原

See all Neuregulin 1 (NRG1) 抗体
Neuregulin 1 (NRG1)

适用

  • 107
  • 73
  • 49
  • 15
  • 3
  • 2
  • 1
  • 1
  • 1
  • 1
  • 1
  • 1
人, 大鼠, 小鼠

宿主

  • 119
  • 15
  • 1

克隆类型

  • 118
  • 17
多克隆

标记

  • 61
  • 14
  • 8
  • 6
  • 4
  • 3
  • 3
  • 3
  • 3
  • 3
  • 3
  • 3
  • 3
  • 3
  • 3
  • 3
  • 2
  • 1
  • 1
  • 1
  • 1
  • 1
  • 1
  • 1
This Neuregulin 1 antibody is un-conjugated

应用范围

  • 92
  • 45
  • 41
  • 38
  • 38
  • 37
  • 21
  • 18
  • 12
  • 11
  • 9
  • 7
  • 2
  • 2
  • 2
  • 2
  • 1
  • 1
Western Blotting (WB), ELISA, Flow Cytometry (FACS), Immunofluorescence (Paraffin-embedded Sections) (IF (p)), Immunofluorescence (Cultured Cells) (IF (cc)), Immunohistochemistry (Paraffin-embedded Sections) (IHC (p)), Immunohistochemistry (Frozen Sections) (IHC (fro))
  • 抗原表位

    • 16
    • 15
    • 15
    • 9
    • 9
    • 6
    • 6
    • 6
    • 5
    • 4
    • 3
    • 3
    • 3
    • 2
    • 2
    • 2
    • 2
    • 1
    • 1
    • 1
    • 1
    • 1
    • 1
    • 1
    • 1
    • 1
    • 1
    • 1
    • 1
    • 1
    AA 221-320

    交叉反应

    人, 小鼠, 大鼠

    预测反应

    Dog,Chicken,Rabbit

    纯化方法

    Purified by Protein A.

    免疫原

    KLH conjugated synthetic peptide derived from mouse Pro-NRG1

    亚型

    IgG
  • 应用备注

    WB 1:300-5000
    ELISA 1:500-1000
    FCM 1:20-100
    IHC-P 1:200-400
    IHC-F 1:100-500
    IF(IHC-P) 1:50-200
    IF(IHC-F) 1:50-200
    IF(ICC) 1:50-200

    限制

    仅限研究用
  • 状态

    Liquid

    浓度

    1 μg/μL

    缓冲液

    0.01M TBS( pH 7.4) with 1 % BSA, 0.02 % Proclin300 and 50 % Glycerol.

    储存液

    ProClin

    注意事项

    This product contains ProClin: a POISONOUS AND HAZARDOUS SUBSTANCE, which should be handled by trained staff only.

    储存条件

    4 °C,-20 °C

    储存方法

    Shipped at 4°C. Store at -20°C for one year. Avoid repeated freeze/thaw cycles.

    有效期

    12 months
  • 抗原

    Neuregulin 1 (NRG1)

    别名

    Pro-NRG1

    背景

    Synonyms: GGF, HGL, HRG, NDF, ARIA, GGF2, HRG1, HRGA, SMDF, MST131, MSTP131, NRG1-IT2, Pro-neuregulin-1, membrane-bound isoform, Pro-NRG1, NRG1

    Background: Direct ligand for ERBB3 and ERBB4 tyrosine kinase receptors. Concomitantly recruits ERBB1 and ERBB2 coreceptors, resulting in ligand-stimulated tyrosine phosphorylation and activation of the ERBB receptors. The multiple isoforms perform diverse functions such as inducing growth and differentiation of epithelial, glial, neuronal, and skeletal muscle cells, inducing expression of acetylcholine receptor in synaptic vesicles during the formation of the neuromuscular junction, stimulating lobuloalveolar budding and milk production in the mammary gland and inducing differentiation of mammary tumor cells, stimulating Schwann cell proliferation, implication in the development of the myocardium such as trabeculation of the developing heart. Isoform 10 may play a role in motor and sensory neuron development.

    基因ID

    211323

    UniProt

    Q6DR98

    途径

    RTK signaling, Fc-epsilon Receptor Signaling Pathway, EGFR Signaling Pathway, Neurotrophin Signaling Pathway, Regulation of Muscle Cell Differentiation
You are here: