电话:
+86 (0512) 65829739
传真:
+86 (010) 6788 5057
电子邮件:
orders@antibodies-online.cn

SIN3A 抗体 (AA 8-918)

This 兔 多克隆 antibody specifically detects SIN3A in WB, ELISA, IHC, IF, ICC 和 FACS. It exhibits reactivity toward 人 和 大鼠.
产品编号 ABIN7602504
发货至: 中国
Contact our Customer Service for availability and price in your country. Contact Info

Our Local Distributor

中国
北京 101111
No. 88 KeChuang 6th Street
Beijing Economic Technological Development Area
Room 801-803
4A Biotech Co.,Ltd.
Tel +86 (0512) 65829739 传真 +86 (010) 6788 5057

Quick Overview for SIN3A 抗体 (AA 8-918) (ABIN7602504)

抗原

See all SIN3A 抗体
SIN3A (SIN3 homolog A, transcription regulator (SIN3A))

适用

  • 50
  • 47
  • 34
  • 4
  • 4
  • 3
  • 2
  • 2
  • 2
  • 1
  • 1
  • 1
  • 1
人, 大鼠

宿主

  • 58
  • 2
  • 1

克隆类型

  • 38
  • 23
多克隆

标记

  • 29
  • 5
  • 3
  • 3
  • 3
  • 3
  • 3
  • 3
  • 3
  • 2
  • 1
  • 1
  • 1
  • 1
This SIN3A antibody is un-conjugated

应用范围

  • 41
  • 21
  • 18
  • 16
  • 11
  • 11
  • 9
  • 3
  • 3
  • 1
  • 1
Western Blotting (WB), ELISA, Immunohistochemistry (IHC), Immunofluorescence (IF), Immunocytochemistry (ICC), Flow Cytometry (FACS)
  • 抗原表位

    • 8
    • 5
    • 5
    • 3
    • 2
    • 2
    • 1
    • 1
    • 1
    • 1
    • 1
    AA 8-918

    原理

    Anti-mSin3A/SIN3A Antibody

    交叉反应 (详细)

    No cross-reactivity with other proteins.

    产品特性

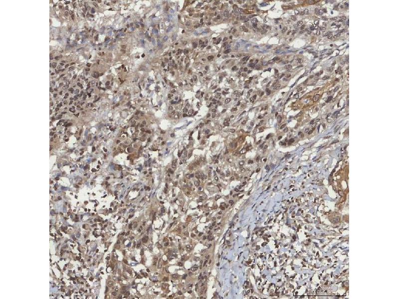
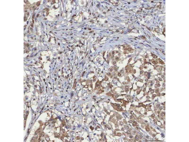
    Anti-mSin3A/SIN3A Antibody (ABIN7602504). Tested in ELISA, Flow Cytometry, IF, IHC, ICC, WB applications. This antibody reacts with Human, Rat. This is a premium antibody that guarantees superior quality, high affinity, and strong signals with minimal background in Western blot applications.

    纯化方法

    Immunogen affinity purified.

    免疫原

    E.coli-derived human mSin3A/SIN3A recombinant protein (Position: Q8-E918).

    亚型

    IgG
  • 应用备注

    Western blot, 0.25-0.5 μg/mL, Human, Rat
    Immunohistochemistry(Paraffin-embedded Section), 2-5 μg/mL, Human
    Immunocytochemistry/Immunofluorescence, 5 μg/mL, Human
    Immunofluorescence, 5 μg/mL, Human
    Flow Cytometry (Fixed), 1-3 μg/1x106 cells, Human
    ELISA, 0.1-0.5 μg/mL, -

    限制

    仅限研究用
  • 状态

    Lyophilized

    溶解方式

    Adding 0.2 mL of distilled water will yield a concentration of 500 μg/mL.

    浓度

    500 μg/mL

    缓冲液

    Each vial contains 4 mg Trehalose, 0.9 mg NaCl, 0.2 mg Na2HPO4.

    储存条件

    4 °C,-20 °C

    储存方法

    At -20°C for one year from date of receipt. After reconstitution, at 4°C for one month.
    It can also be aliquotted and stored frozen at -20°C for six months. Avoid repeated freezing and thawing.
  • 抗原

    SIN3A (SIN3 homolog A, transcription regulator (SIN3A))

    别名

    SIN3A

    背景

    Synonyms: Microtubule-associated protein 2, MAP-2, MAP2

    Background: Paired amphipathic helix protein Sin3a is a protein that in humans is encoded by the SIN3A gene. The protein encoded by this gene is a transcriptional regulatory protein. It contains paired amphipathic helix (PAH) domains, which are important for protein-protein interactions and may mediate repression by the Mad-Max complex.

    分子量

    150 kDa

    基因ID

    25942

    途径

    Activation of Innate immune Response, Carbohydrate Homeostasis, Chromatin Binding, Regulation of Lipid Metabolism by PPARalpha
You are here: