SIN3A 抗体
Our Local Distributor
北京 101111
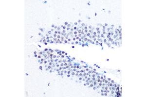
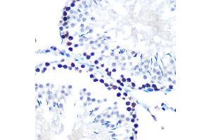
Quick Overview for SIN3A 抗体 (ABIN7270318)
抗原
See all SIN3A 抗体适用
宿主
克隆类型
标记
应用范围
-
-
原理
- mSin3A Rabbit mAb
-
交叉反应
- 人, 小鼠, 大鼠
-
产品特性
- Monoclonal Antibodies
-
纯化方法
- Affinity purification
-
免疫原
- A synthesized peptide derived from human mSin3A
-
亚型
- IgG
-
-
-
-
应用备注
- WB,1:500 - 1:2000,IHC,1:50 - 1:200,IF,1:50 - 1:200
-
限制
- 仅限研究用
-
-
-
状态
- Liquid
-
缓冲液
- PBS with 0.02 % sodium azide,0.05 % BSA,50 % glycerol, pH 7.3.
-
储存液
- Sodium azide
-
注意事项
- This product contains Sodium azide: a POISONOUS AND HAZARDOUS SUBSTANCE which should be handled by trained staff only.
-
储存条件
- -20 °C
-
储存方法
- Store at -20°C. Avoid freeze / thaw cycles.
-
-
- SIN3A (SIN3 homolog A, transcription regulator (SIN3A))
-
别名
- SIN3A
-
背景
- The protein encoded by this gene is a transcriptional regulatory protein. It contains paired amphipathic helix (PAH) domains, which are important for protein-protein interactions and may mediate repression by the Mad-Max complex. [provided by RefSeq, Jul 2008],WITKOS,Cancer,Endocrine & Metabolism,Epigenetics & Nuclear Signaling,Lipid Metabolism,Neurodegenerative Diseases,Neuroscience,SIN3A
-
分子量
- 150kDa
-
基因ID
- 25942
-
UniProt
- Q96ST3
-
途径
- Activation of Innate immune Response, Carbohydrate Homeostasis, Chromatin Binding, Regulation of Lipid Metabolism by PPARalpha
抗原
-