电话:
+86 (0512) 65829739
传真:
+86 (010) 6788 5057
电子邮件:
orders@antibodies-online.cn

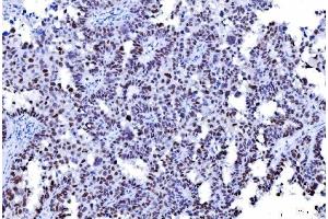
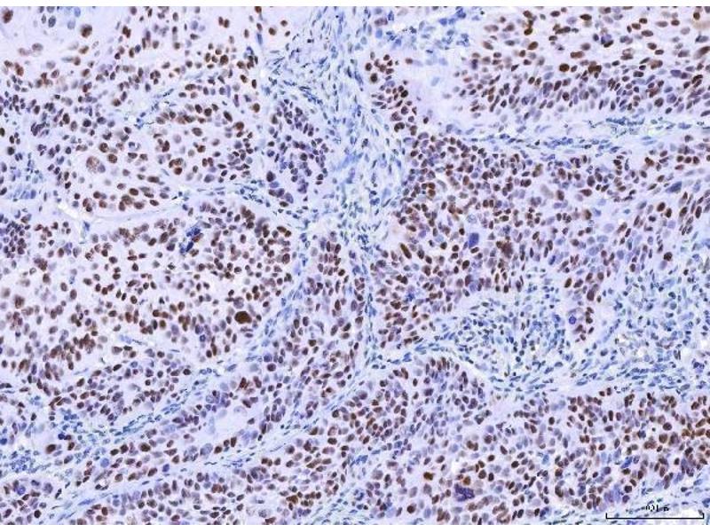
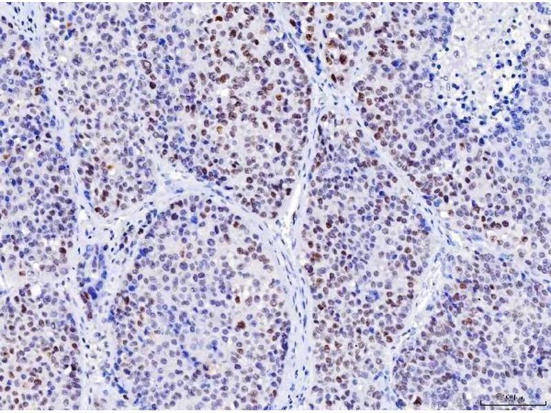
MSH2 抗体 (AA 337-583)

The 小鼠 单克隆 anti-MSH2 antibody (Clone 6B4F7) (ABIN7601369) specifically detects MSH2 in WB, IHC, IF 和 ICC. The antibody is reactive with 人 samples.
产品编号 ABIN7601369
发货至: 中国
Contact our Customer Service for availability and price in your country. Contact Info

Our Local Distributor

中国
北京 101111
No. 88 KeChuang 6th Street
Beijing Economic Technological Development Area
Room 801-803
4A Biotech Co.,Ltd.
Tel +86 (0512) 65829739 传真 +86 (010) 6788 5057

Quick Overview for MSH2 抗体 (AA 337-583) (ABIN7601369)

抗原

See all MSH2 抗体
MSH2 (Mismatch Repair Protein 2 (MSH2))

适用

  • 111
  • 45
  • 22
  • 8
  • 6
  • 6
  • 4
  • 3
  • 3
  • 3
  • 3
  • 2
  • 2
  • 1
  • 1
  • 1

宿主

  • 89
  • 36
  • 1
小鼠

克隆类型

  • 72
  • 54
  • 1
单克隆

标记

  • 78
  • 6
  • 4
  • 4
  • 2
  • 2
  • 2
  • 2
  • 2
  • 2
  • 2
  • 1
  • 1
  • 1
  • 1
  • 1
  • 1
  • 1
  • 1
  • 1
  • 1
  • 1
  • 1
  • 1
  • 1
  • 1
  • 1
  • 1
  • 1
  • 1
  • 1
  • 1
This MSH2 antibody is un-conjugated

应用范围

  • 87
  • 43
  • 42
  • 41
  • 38
  • 13
  • 13
  • 13
  • 11
  • 10
  • 9
  • 7
  • 4
  • 3
  • 2
  • 1
  • 1
Western Blotting (WB), Immunohistochemistry (IHC), Immunofluorescence (IF), Immunocytochemistry (ICC)

克隆位点

6B4F7
  • 抗原表位

    • 15
    • 12
    • 8
    • 8
    • 6
    • 4
    • 4
    • 4
    • 4
    • 3
    • 3
    • 2
    • 2
    • 2
    • 2
    • 1
    • 1
    • 1
    • 1
    • 1
    • 1
    • 1
    • 1
    • 1
    • 1
    • 1
    • 1
    • 1
    • 1
    • 1
    • 1
    AA 337-583

    原理

    Anti-MSH2 Antibody (monoclonal, 6B4F7)

    交叉反应 (详细)

    No cross-reactivity with other proteins.

    产品特性

    Anti-MSH2 Antibody (monoclonal, 6B4F7) (ABIN7601369). Tested in IF, IHC, ICC, WB applications. This antibody reacts with Human. This is a premium antibody that guarantees superior quality, high affinity, and strong signals with minimal background in Western blot applications.

    纯化方法

    Immunogen affinity purified.

    免疫原

    E.coli-derived human MSH2 recombinant protein (Position: Q337-N583). Human MSH2 shares 94% and 93% amino acid (aa) sequence identity with mouse and rat MSH2, respectively.

    亚型

    IgG2b
  • 应用备注

    Western blot, 0.25-0.5 μg/mL, Human
    Immunohistochemistry(Paraffin-embedded Section), 2-5 μg/mL, Human
    Immunocytochemistry/Immunofluorescence, 5 μg/mL, Human

    限制

    仅限研究用
  • 状态

    Lyophilized

    溶解方式

    Adding 0.2 mL of distilled water will yield a concentration of 500 μg/mL.

    浓度

    500 μg/mL

    缓冲液

    Each vial contains 4 mg Trehalose, 0.9 mg NaCl and 0.2 mg Na2HPO4.

    储存条件

    4 °C,-20 °C

    储存方法

    At -20°C for one year from date of receipt. After reconstitution, at 4°C for one month.
    It can also be aliquotted and stored frozen at -20°C for six months. Avoid repeated freezing and thawing.
  • 抗原

    MSH2 (Mismatch Repair Protein 2 (MSH2))

    别名

    MSH2

    背景

    Synonyms: Cytosolic NADP isocitrate dehydrogenase antibody|Cytosolic NADP-isocitrate dehydrogenase antibody|Epididymis luminal protein 216 antibody|Epididymis secretory protein Li 26 antibody|HEL-216 antibody|HEL-S-26 antibody|ICDH antibody|IDCD antibody|IDH antibody|IDH1 antibody|IDHC_HUMAN antibody|IDP antibody|IDPC antibody|Isocitrate dehydrogenase [NADP] cytoplasmic antibody|Isocitrate dehydrogenase 1 (NADP+) soluble antibody|NADP dependent isocitrate dehydrogenase cytosolic antibody|NADP dependent isocitrate dehydrogenase peroxisomal antibody|NADP (+)-specific ICDH antibody|Oxalosuccinate decarboxylase antibody|PICD antibody

    Tissue Specificity: Ubiquituous. Expressed in platelets.

    Background: DNA mismatch repair protein Msh2, also known as MutS protein homolog 2 or MSH2, is a protein that in humans is encoded by the MSH2 gene, which is located on chromosome 2. MSH2 is a tumor suppressor gene and more specifically a caretaker gene that codes for a DNA mismatch repair (MMR) protein, MSH2 which forms aheterodimer with MSH6 to make the human MutSα mismatch repair complex. It also dimerizes with MSH3 to form the MutSβ DNA repair complex. MSH2 is involved in many different forms of DNA repair, including transcription-coupled repair, homologous recombination, and base excision repair. It has been found that MSH2 may also be a coactivator of ESR1-dependent gene expression.

    分子量

    105 kDa

    基因ID

    4436

    UniProt

    P43246

    途径

    DNA Damage Repair, Production of Molecular Mediator of Immune Response
You are here: