电话:
+86 (0512) 65829739
传真:
+86 (010) 6788 5057
电子邮件:
orders@antibodies-online.cn

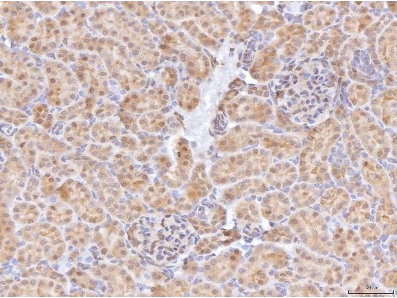
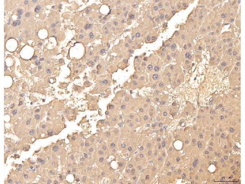
BHMT 抗体 (AA 13-386)

The 兔 多克隆 anti-BHMT antibody (ABIN7599940) specifically detects BHMT in WB, IHC, ELISA, IF, FACS 和 ICC. The antibody is reactive with 人, 小鼠 和 大鼠 samples.
产品编号 ABIN7599940
发货至: 中国
Contact our Customer Service for availability and price in your country. Contact Info

Our Local Distributor

中国
北京 101111
No. 88 KeChuang 6th Street
Beijing Economic Technological Development Area
Room 801-803
4A Biotech Co.,Ltd.
Tel +86 (0512) 65829739 传真 +86 (010) 6788 5057

Quick Overview for BHMT 抗体 (AA 13-386) (ABIN7599940)

抗原

See all BHMT 抗体
BHMT (Betaine--Homocysteine S-Methyltransferase (BHMT))

适用

  • 45
  • 12
  • 11
  • 7
  • 4
  • 4
  • 4
  • 3
  • 3
  • 3
  • 3
  • 2
  • 1
  • 1
  • 1
人, 小鼠, 大鼠

宿主

  • 39
  • 10
  • 1

克隆类型

  • 30
  • 20
多克隆

标记

  • 38
  • 2
  • 1
  • 1
  • 1
  • 1
  • 1
  • 1
  • 1
  • 1
  • 1
  • 1
This BHMT antibody is un-conjugated

应用范围

  • 47
  • 30
  • 16
  • 14
  • 8
  • 7
  • 7
  • 6
  • 1
  • 1
Western Blotting (WB), Immunohistochemistry (IHC), ELISA, Immunofluorescence (IF), Flow Cytometry (FACS), Immunocytochemistry (ICC)
  • 抗原表位

    • 4
    • 4
    • 2
    • 2
    • 2
    • 1
    • 1
    • 1
    • 1
    • 1
    • 1
    • 1
    AA 13-386

    原理

    Anti-BHMT Antibody

    交叉反应 (详细)

    No cross-reactivity with other proteins.

    产品特性

    Anti-BHMT Antibody (ABIN7599940). Tested in ELISA, Flow Cytometry, IF, IHC, ICC, WB applications. This antibody reacts with Human, Mouse, Rat. This is a premium antibody that guarantees superior quality, high affinity, and strong signals with minimal background in Western blot applications.

    纯化方法

    Immunogen affinity purified.

    免疫原

    E.coli-derived human BHMT recombinant protein (Position: I13-K386).

    亚型

    IgG
  • 应用备注

    Western blot, 0.25-0.5 μg/mL, Human, Mouse, Rat
    Immunohistochemistry(Paraffin-embedded Section), 2-5 μg/mL, Human, Mouse, Rat
    Immunocytochemistry/Immunofluorescence, 5 μg/mL, Human
    Flow Cytometry (Fixed), 1-3 μg/1x106 cells, Human
    ELISA, 0.1-0.5 μg/mL, -

    限制

    仅限研究用
  • 状态

    Lyophilized

    溶解方式

    Adding 0.2 mL of distilled water will yield a concentration of 500 μg/mL.

    浓度

    500 μg/mL

    缓冲液

    Each vial contains 4 mg Trehalose, 0.9 mg NaCl, 0.2 mg Na2HPO4.

    储存条件

    4 °C,-20 °C

    储存方法

    At -20°C for one year from date of receipt. After reconstitution, at 4°C for one month.
    It can also be aliquotted and stored frozen at -20°C for six months. Avoid repeated freezing and thawing.
  • 抗原

    BHMT (Betaine--Homocysteine S-Methyltransferase (BHMT))

    别名

    BHMT

    背景

    Synonyms: Neurocan core protein, Chondroitin sulfate proteoglycan 3, NCAN, CSPG3, NEUR,

    Tissue Specificity: Brain.

    Background: This gene encodes a cytosolic enzyme that catalyzes the conversion of betaine and homocysteine to dimethylglycine and methionine, respectively. Defects in this gene could lead to hyperhomocyst(e)inemia, but such a defect has not yet been observed.

    分子量

    50 kDa

    基因ID

    635

    UniProt

    Q93088

    途径

    Methionine Biosynthetic Process
You are here: