电话:
+86 (0512) 65829739
传真:
+86 (010) 6788 5057
电子邮件:
orders@antibodies-online.cn

BHMT 抗体 (C-Term)

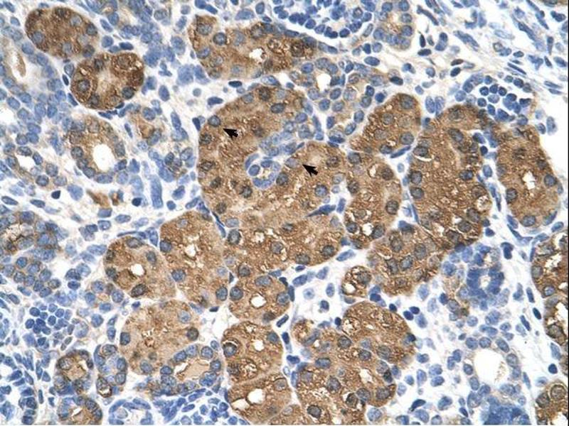
The 兔 多克隆 anti-BHMT antibody (ABIN629748) specifically detects BHMT in WB 和 IHC. The antibody is reactive with 人 和 犬 samples.
产品编号 ABIN629748
发货至: 中国
Contact our Customer Service for availability and price in your country. Contact Info

Our Local Distributor

中国
北京 101111
No. 88 KeChuang 6th Street
Beijing Economic Technological Development Area
Room 801-803
4A Biotech Co.,Ltd.
Tel +86 (0512) 65829739 传真 +86 (010) 6788 5057

Quick Overview for BHMT 抗体 (C-Term) (ABIN629748)

抗原

See all BHMT 抗体
BHMT (Betaine--Homocysteine S-Methyltransferase (BHMT))

适用

  • 45
  • 13
  • 12
  • 6
  • 4
  • 4
  • 4
  • 3
  • 3
  • 3
  • 3
  • 2
  • 1
  • 1
  • 1
人, 犬

宿主

  • 39
  • 10
  • 1

克隆类型

  • 30
  • 20
多克隆

标记

  • 38
  • 2
  • 1
  • 1
  • 1
  • 1
  • 1
  • 1
  • 1
  • 1
  • 1
  • 1
This BHMT antibody is un-conjugated

应用范围

  • 47
  • 30
  • 17
  • 14
  • 9
  • 8
  • 7
  • 7
  • 1
  • 1
Western Blotting (WB), Immunohistochemistry (IHC)
  • 抗原表位

    • 4
    • 3
    • 2
    • 2
    • 2
    • 1
    • 1
    • 1
    • 1
    • 1
    • 1
    • 1
    • 1
    C-Term

    特异性

    BHMT antibody was raised against the C terminal of BHMT

    纯化方法

    Purified

    免疫原

    BHMT antibody was raised using the C terminal of BHMT corresponding to a region with amino acids KHGSWGSGLDMHTKPWVRARARKEYWENLRIASGRPYNPSMSKPDGWGVT
  • 应用备注

    WB: 1.25 µg/mL, IHC: 4-8 µg/mL
    Optimal conditions should be determined by the investigator.

    说明

    BHMT Blocking Peptide, (ABIN939800), is also available for use as a blocking control in assays to test for specificity of this BHMT antibody

    限制

    仅限研究用
  • 状态

    Lyophilized

    溶解方式

    Lyophilized powder. Add distilled water for a 1 mg/mL concentration of BHMT antibody in PBS

    浓度

    Lot specific

    缓冲液

    PBS

    注意事项

    Avoid repeated freeze/thaw cycles.
    Dilute only prior to immediate use.

    储存条件

    4 °C/-20 °C

    储存方法

    Store at 2-8 °C for short periods. For longer periods of storage, store at -20 °C.
  • 抗原

    BHMT (Betaine--Homocysteine S-Methyltransferase (BHMT))

    别名

    BHMT

    背景

    BHMT is a cytosolic enzyme that catalyzes the conversion of betaine and homocysteine to dimethylglycine and methionine, respectively. Defects in its gene could lead to hyperhomocyst(e)inemia, but such a defect has not yet been observed.

    分子量

    45 kDa (MW of target protein)

    途径

    Methionine Biosynthetic Process
You are here: