CREB1 抗体 (AA 101-150)
Our Local Distributor
北京 101111
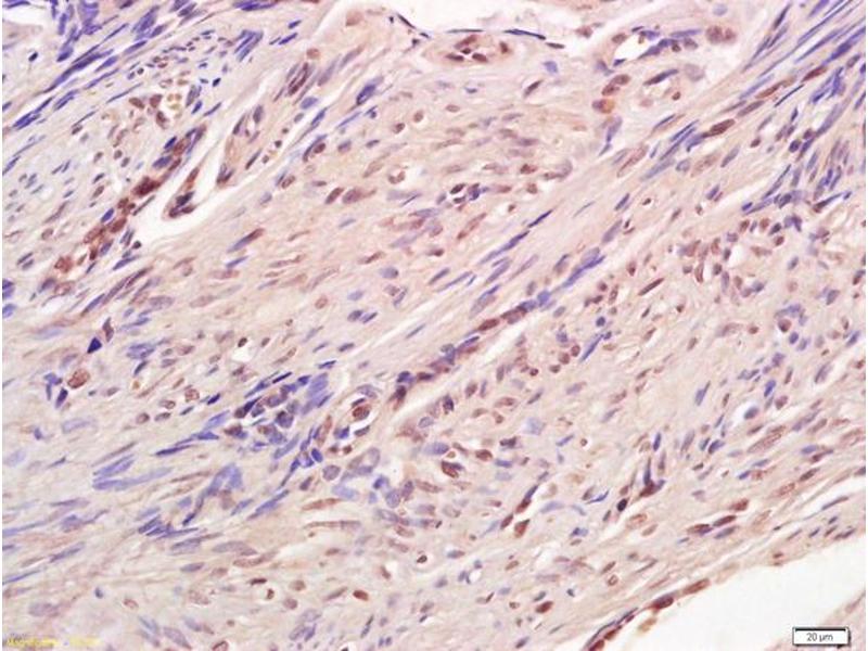
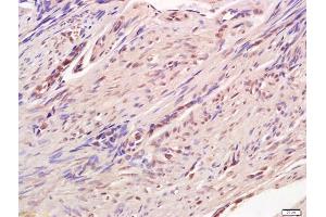
Quick Overview for CREB1 抗体 (AA 101-150) (ABIN723950)
抗原
See all CREB1 抗体适用
宿主
克隆类型
标记
应用范围
-
-
抗原表位
- AA 101-150
-
交叉反应
- 人, 小鼠
-
预测反应
- Rat,Dog,Cow,Sheep,Pig,Chicken
-
纯化方法
- Purified by Protein A.
-
免疫原
- KLH conjugated synthetic peptide derived from human CREB-1
-
亚型
- IgG
-
-
-
-
应用备注
-
WB 1:300-5000
ELISA 1:500-1000
IHC-P 1:200-400
IHC-F 1:100-500
IF(IHC-P) 1:50-200
IF(IHC-F) 1:50-200
IF(ICC) 1:50-200 -
限制
- 仅限研究用
-
-
-
状态
- Liquid
-
浓度
- 1 μg/μL
-
缓冲液
- 0.01M TBS( pH 7.4) with 1 % BSA, 0.02 % Proclin300 and 50 % Glycerol.
-
储存液
- ProClin
-
注意事项
- This product contains ProClin: a POISONOUS AND HAZARDOUS SUBSTANCE, which should be handled by trained staff only.
-
储存条件
- 4 °C,-20 °C
-
储存方法
- Shipped at 4°C. Store at -20°C for one year. Avoid repeated freeze/thaw cycles.
-
有效期
- 12 months
-
-
- CREB1 (cAMP Responsive Element Binding Protein 1 (CREB1))
-
别名
- CREB-1
-
背景
-
Synonyms: CREB, Cyclic AMP-responsive element-binding protein 1, CREB-1, cAMP-responsive element-binding protein 1, CREB1
Background: Phosphorylation-dependent transcription factor that stimulates transcription upon binding to the DNA cAMP response element (CRE), a sequence present in many viral and cellular promoters. Transcription activation is enhanced by the TORC coactivators which act independently of Ser-133 phosphorylation. Involved in different cellular processes including the synchronization of circadian rhythmicity and the differentiation of adipose cells.
-
基因ID
- 1385
-
UniProt
- P16220
-
途径
- TLR signaling, Fc-epsilon Receptor Signaling Pathway, EGFR Signaling Pathway, Neurotrophin Signaling Pathway, Thyroid Hormone Synthesis, Activation of Innate immune Response, Myometrial Relaxation and Contraction, Regulation of Cell Size, Toll-Like Receptors Cascades, G-protein mediated Events, Interaction of EGFR with phospholipase C-gamma, Positive Regulation of fat Cell Differentiation
抗原
-