电话:
+86 (0512) 65829739
传真:
+86 (010) 6788 5057
电子邮件:
orders@antibodies-online.cn

PIM1 抗体

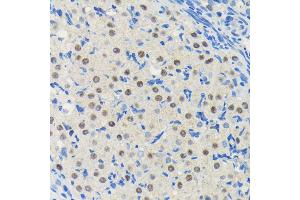
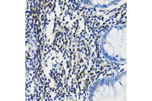
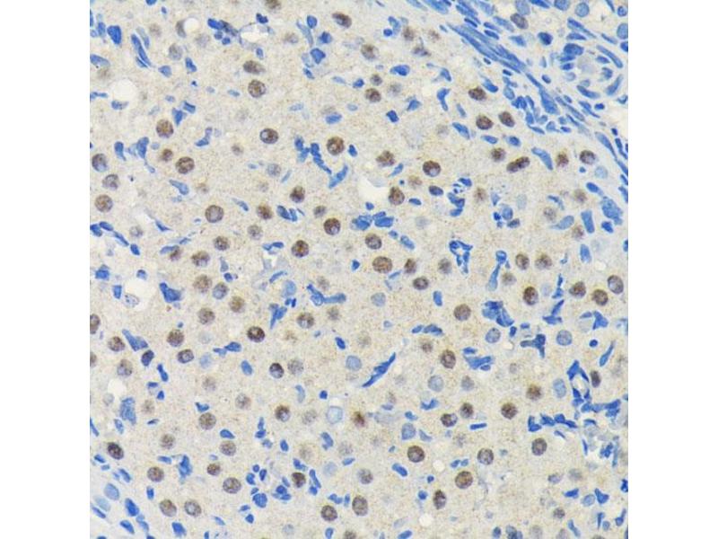
The 兔 单克隆 anti-PIM1 antibody (ABIN7269375) specifically detects PIM1 in WB 和 IHC. The antibody is reactive with 人 samples.
产品编号 ABIN7269375
发货至: 中国
Contact our Customer Service for availability and price in your country. Contact Info

Our Local Distributor

中国
北京 101111
No. 88 KeChuang 6th Street
Beijing Economic Technological Development Area
Room 801-803
4A Biotech Co.,Ltd.
Tel +86 (0512) 65829739 传真 +86 (010) 6788 5057

Quick Overview for PIM1 抗体 (ABIN7269375)

抗原

See all PIM1 抗体
PIM1 (Pim-1 Oncogene (PIM1))

适用

  • 124
  • 71
  • 54
  • 4
  • 4
  • 3
  • 3
  • 3
  • 2
  • 2
  • 2
  • 1
  • 1
  • 1

宿主

  • 123
  • 11

克隆类型

  • 94
  • 40
单克隆

标记

  • 50
  • 17
  • 6
  • 5
  • 4
  • 4
  • 4
  • 4
  • 4
  • 4
  • 3
  • 3
  • 2
  • 2
  • 2
  • 2
  • 2
  • 2
  • 2
  • 2
  • 2
  • 2
  • 2
  • 2
  • 2
This PIM1 antibody is un-conjugated

应用范围

  • 110
  • 49
  • 39
  • 30
  • 27
  • 26
  • 26
  • 16
  • 15
  • 8
  • 6
  • 4
  • 2
  • 1
  • 1
Western Blotting (WB), Immunohistochemistry (IHC)
  • 原理

    PIM1 Rabbit mAb

    交叉反应

    人, 小鼠, 大鼠

    产品特性

    Monoclonal Antibodies

    纯化方法

    Affinity purification

    免疫原

    A synthesized peptide derived from human PIM1.

    亚型

    IgG
  • 应用备注

    WB,1:500 - 1:2000,IHC,1:50 - 1:200

    限制

    仅限研究用
  • 状态

    Liquid

    缓冲液

    PBS with 0.02 % sodium azide,0.05 % BSA,50 % glycerol, pH 7.3.

    储存液

    Sodium azide

    注意事项

    This product contains Sodium azide: a POISONOUS AND HAZARDOUS SUBSTANCE which should be handled by trained staff only.

    储存条件

    -20 °C

    储存方法

    Store at -20°C. Avoid freeze / thaw cycles.
  • 抗原

    PIM1 (Pim-1 Oncogene (PIM1))

    别名

    PIM1

    背景

    The protein encoded by this gene belongs to the Ser/Thr protein kinase family, and PIM subfamily. This gene is expressed primarily in B-lymphoid and myeloid cell lines, and is overexpressed in hematopoietic malignancies and in prostate cancer. It plays a role in signal transduction in blood cells, contributing to both cell proliferation and survival, and thus provides a selective advantage in tumorigenesis. Both the human and orthologous mouse genes have been reported to encode two isoforms (with preferential cellular localization) resulting from the use of alternative in-frame translation initiation codons, the upstream non-AUG (CUG) and downstream AUG codons (PMIDs:16186805, 1825810).[provided by RefSeq, Aug 2011],PIM,PIM1,PIM1,Apoptosis,Cancer,Cell Biology & Developmental Biology,Chromatin Remodeling,Epigenetic writers and erasers of core Histones,Epigenetic writers and erasers of core Histones_Phosphorylation,Epigenetics & Nuclear Signaling,Hematopoietic Progenitors,IL-6 Receptor Signaling Pathway,Immunology & Inflammation,Kinase,Kinase_Serine/threonine kinases,Signal Transduction,Stem Cells,PIM1

    分子量

    35kDa/45kDa

    基因ID

    5292

    UniProt

    P11309

    途径

    Glycosaminoglycan Metabolic Process
You are here: