电话:
+86 (0512) 65829739
传真:
+86 (010) 6788 5057
电子邮件:
orders@antibodies-online.cn

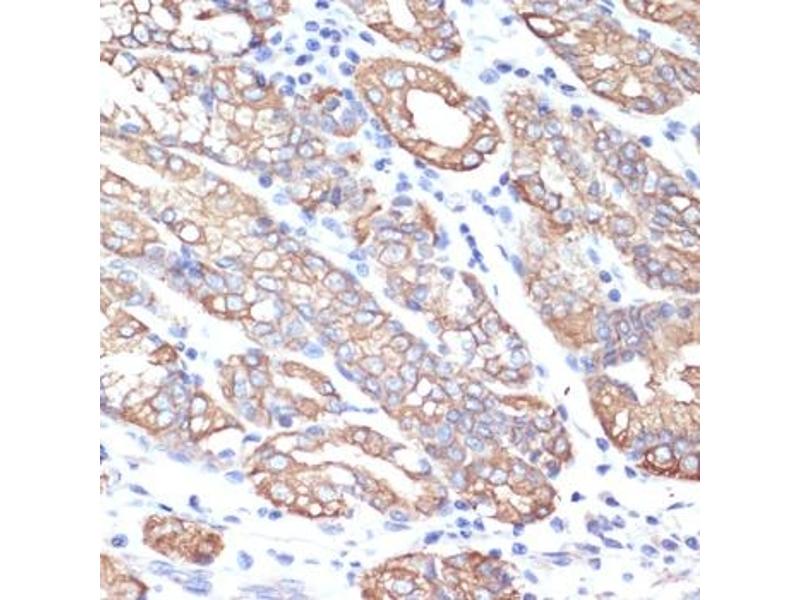
Cytokeratin 18 抗体 (AA 127-430)

This 兔 多克隆 antibody specifically detects Cytokeratin 18 in WB, IHC 和 IF. It exhibits reactivity toward 人.
产品编号 ABIN7268098
发货至: 中国
Contact our Customer Service for availability and price in your country. Contact Info

Our Local Distributor

中国
北京 101111
No. 88 KeChuang 6th Street
Beijing Economic Technological Development Area
Room 801-803
4A Biotech Co.,Ltd.
Tel +86 (0512) 65829739 传真 +86 (010) 6788 5057

Quick Overview for Cytokeratin 18 抗体 (AA 127-430) (ABIN7268098)

抗原

See all Cytokeratin 18 (KRT18) 抗体
Cytokeratin 18 (KRT18) (Keratin 18 (KRT18))

适用

  • 331
  • 165
  • 139
  • 74
  • 65
  • 57
  • 53
  • 49
  • 39
  • 38
  • 34
  • 34
  • 34
  • 19
  • 11
  • 9
  • 7
  • 7
  • 4
  • 3
  • 2
  • 1

宿主

  • 197
  • 171
  • 3
  • 1
  • 1
  • 1

克隆类型

  • 231
  • 140
  • 3
多克隆

标记

  • 184
  • 32
  • 22
  • 10
  • 6
  • 6
  • 6
  • 6
  • 6
  • 6
  • 5
  • 5
  • 5
  • 5
  • 5
  • 5
  • 5
  • 4
  • 4
  • 4
  • 4
  • 4
  • 4
  • 4
  • 4
  • 4
  • 4
  • 4
  • 2
  • 2
  • 2
  • 1
  • 1
  • 1
  • 1
  • 1
  • 1
This Cytokeratin 18 antibody is un-conjugated

应用范围

  • 312
  • 193
  • 128
  • 127
  • 81
  • 79
  • 60
  • 54
  • 47
  • 43
  • 33
  • 31
  • 13
  • 8
  • 7
  • 6
  • 5
  • 4
  • 2
  • 1
  • 1
Western Blotting (WB), Immunohistochemistry (IHC), Immunofluorescence (IF)
  • 抗原表位

    • 26
    • 16
    • 15
    • 14
    • 13
    • 13
    • 8
    • 6
    • 6
    • 5
    • 4
    • 2
    • 2
    • 2
    • 2
    • 2
    • 2
    • 2
    • 2
    • 2
    • 2
    • 1
    • 1
    • 1
    • 1
    • 1
    • 1
    • 1
    • 1
    • 1
    • 1
    • 1
    • 1
    • 1
    • 1
    • 1
    • 1
    • 1
    • 1
    • 1
    • 1
    • 1
    • 1
    AA 127-430

    原理

    Cytokeratin 18 (KRT18) Rabbit pAb

    序列

    SHYFKIIEDL RAQIFANTVD NARIVLQIDN ARLAADDFRV KYETELAMRQ SVENDIHGLR KVIDDTNITR LQLETEIEAL KEELLFMKKN HEEEVKGLQA QIASSGLTVE VDAPKSQDLA KIMADIRAQY DELARKNREE LDKYWSQQIE ESTTVVTTQS AEVGAAETTL TELRRTVQSL EIDLDSMRNL KASLENSLRE VEARYALQME QLNGILLHLE SELAQTRAEG QRQAQEYEAL LNIKVKLEAE IATYRRLLED GEDFNLGDAL DSSNSMQTIQ KTTTRRIVDG KVVSETNDTK VLRH

    交叉反应

    人, 小鼠, 大鼠

    产品特性

    Polyclonal Antibodies

    纯化方法

    Affinity purification

    免疫原

    Recombinant fusion protein containing a sequence corresponding to amino acids 127-430 of human Cytokeratin 18 (KRT18) (NP_000215.1).

    亚型

    IgG
  • 应用备注

    WB,1:500 - 1:2000,IHC,1:50 - 1:100,IF,1:50 - 1:100

    限制

    仅限研究用
  • 状态

    Liquid

    缓冲液

    PBS with 0.02 % sodium azide,50 % glycerol, pH 7.3.

    储存液

    Sodium azide

    注意事项

    This product contains Sodium azide: a POISONOUS AND HAZARDOUS SUBSTANCE which should be handled by trained staff only.

    储存条件

    -20 °C

    储存方法

    Store at -20°C. Avoid freeze / thaw cycles.
  • 抗原

    Cytokeratin 18 (KRT18) (Keratin 18 (KRT18))

    别名

    KRT18

    背景

    KRT18 encodes the type I intermediate filament chain keratin 18. Keratin 18, together with its filament partner keratin 8, are perhaps the most commonly found members of the intermediate filament gene family. They are expressed in single layer epithelial tissues of the body. Mutations in this gene have been linked to cryptogenic cirrhosis. Two transcript variants encoding the same protein have been found for this gene.,KRT18,CK-18,CYK18,K18,keratin 18,Epigenetics & Nuclear Signaling,RNA Binding,Signal Transduction,Cell Biology & Developmental Biology,Apoptosis,Cytoskeleton,Intermediate Filaments,Extracellular Matrix,Cytokeratin,Keratin,KRT18

    分子量

    48kDa

    基因ID

    3875

    UniProt

    P05783

    途径

    Apoptosis, Caspase Cascade in Apoptosis
You are here: